X Jornadas de Actualización en Medicina de Urgencias y VI Jornadas de Ecografía de la semFYC
6-7-8 de febrero de 2025
Antecedentes personales relevantes, anamnesis, exploración física y lugar que ocupa en ella la ecografía
Antecedentes personales:
Fumador 8 cigarrillos/día.
Dorsalgias de repetición a tratamiento con Zaldiar y Diclofenaco.
Anamnesis:
Hombre de 53 años que acude por dorsalgia con irradiación a ambos miembros superiores de 3 días de evolución. Instauración en últimas 24 h de sensación distérmica y fiebre termometrada de 38 ºC.
No otra clínica asociada. Asocia disnea de esfuerzos y tos seca.
Extracción dental hace 2 semanas.
Exploración física:
Buen estado general. Eupneico en reposo.
Auscultación cardíaca: rítmico. Soplo sistólico aórtico II/IV y escape aórtico III/IV
Auscultación pulmonar: crepitantes bibasales.
Abdomen: blando y depresible sin masas ni megalias. No doloroso a la palpación. No signos de peritonismo.
Miembros inferiores: no edemas ni signos de trombosis venosa profunda.
Nódulos eritematosos en pulpejos y cara palmar y plantar de manos y pies.
Dolor a la palpación de la musculatura paravertebral dorsal sin apofisalgia.
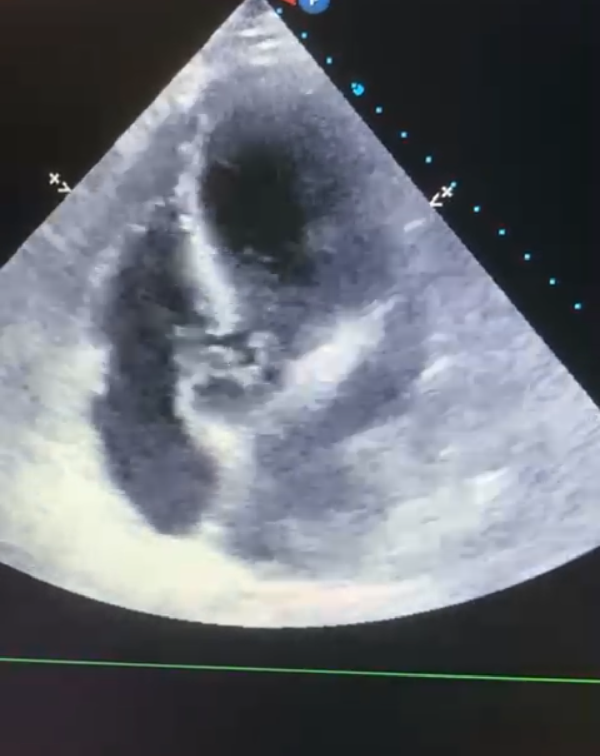
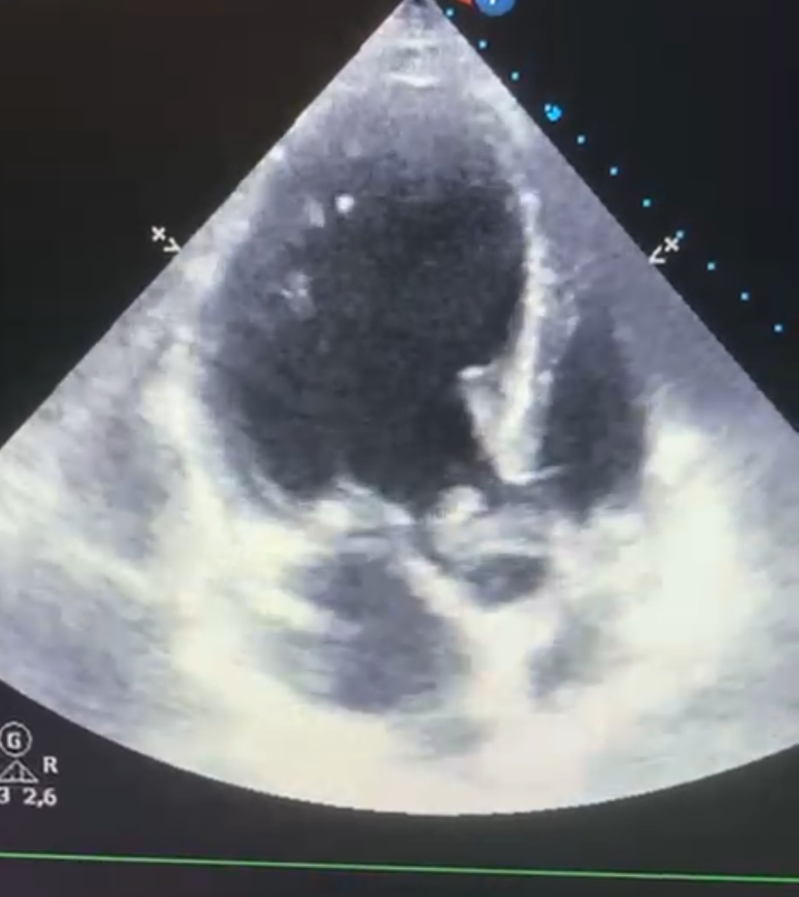
Tras realización de analítica con leucocitosis con desviación izquierda, radiografía de tórax anodina y sin otro foco infeccioso aparente se decide ecocardiografía a pie de cama.
Descripción de los hallazgos ecográficos y las imágenes más relevantes para la resolución del caso
Otras pruebas complementarias realizadas (si existen)
Analítica:
Radiografía de tórax: índice cardiotorácico normal. Signos de redistribución vascular.
Radiografía de columna dorsal: no signos de patología ósea aguda ni pérdida de altura de cuerpos vertebrales.
Electrocardiograma: ritmo sinusal. PR largo.
Juicio clínico, diagnóstico diferencial, concordancia con el hospital (en su caso)
Decisiones adoptadas: tratamiento, planes de actuación
Ante sospecha de endocarditis infecciosa se habla con servicio de cardiología que ingresa al paciente e inicia antibioterapia empírica intravenosa ajustada a fracaso renal y diuréticos intravenosos. Se solicitan hemocultivos. Se deja al paciente en ayunas para realización de ecografía transesofágica y bodyTC para descartar embolismos sistémicos.
Evolución y seguimiento
En hemocultivos se detecta Streptococcus anginosus que inicialmente se trata con antibioterapia intravenosa. En TC se visualiza gran verruga en válvula aórtica con insuficiencia severa asociada, por lo que se decide cirugía preferente para recambio valvular.
Ante la presencia de un paciente con clínica inespecífica sin foco infeccioso claro la ecocardiografía a pie de cama ha resultado de gran utilidad para fundamentar la sospecha diagnóstica.


