Comunicaciones: Casos clínicos

En nuestra consulta, el ecógrafo no «está de adorno» (póster)

Ámbito del caso

Atención Primaria.

Motivos de consulta

Dolor en Fosa Iliaca Izquierda (FII).

Historia clínica

Enfoque individual

Mujer, 66 años, acude por dolor en FII desde hace un mes. No vómitos, diarreas ni síndrome constitucional. Padece hipertensión arterial e hipotiroidismo. Niega hábitos tóxicos.

A la exploración, presenta abdomen blando, depresible, doloroso a la palpación en FII, sin peritonismo. No se palpa masa. Blumberg y Murphy negativos. Se decide realizar ecografía clínica.

Hallazgos ecográficos

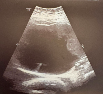
Realizamos ecografía abdominal clínica donde apreciamos en zona referida imagen quística, de contenido mixto de 11 centímetros, sin poder precisar si depende de útero u ovarios. Resto sin alteraciones reseñables. Derivamos a hospital de referencia para completar estudio. 

Pruebas complementarias

En hospital de referencia, se realizan ecografía vaginal observando imagen quística en ovario izquierdo de gran tamaño.
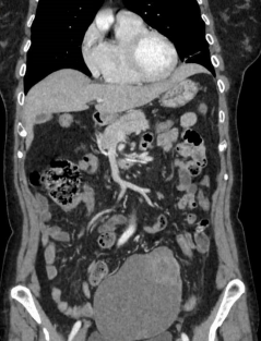
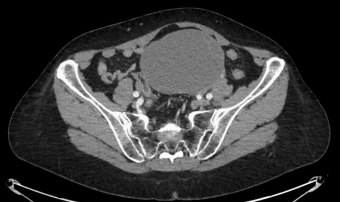
SolicitanTAC abdominal que evidencia gran masa pélvica de origen anexial izquierdo, de unos 12 centímetros, de predominio quístico, compatible con tumor ovárico epitelial (tumor borderline o adenocarcinoma mucinoso/seroso). Sin evidencia de diseminación adenopática o a distancia). 

Juicio clínico, diagnóstico diferencial, concordancia con el hospital (en su caso)

Masa abdominal a filiar. Quiste o neoplasia ginecológica (uterina u ovárica). Absceso. 

Tratamiento, planes de actuación

Se decide cirugía confirmando la presencia de adenocarcinoma seroso de alto grado histológico. 

Evolución

La paciente recibe tratamiento quimioterápico de manera adyuvante. 

Conclusiones y aplicabilidad para la medicina de familia

La ecografía abdominal es una prueba inocua, de bajo coste, fácil de realizar y que aporta mucha información para el diagnóstico clínico y la toma de decisiones. Esto la convierte en la primera exploración a realizar después de la anamnesis y la exploración física ante la sospecha de enfermedad abdominal, constituyendo en la actualidad una técnica de rutina en la práctica médica diaria.
En Atención Primaria se le conoce como «ecografía clínica» o «ecografía a pie de cama», y se emplea en gran variedad de escenarios clínicos en los que, realizada por el mismo médico que atiende al paciente, establece de modo inmediato y orientado la correlación clínica de los hallazgos e incrementa enormemente la capacidad de manejo. En caso de diagnosticar enfermedades susceptibles de ser derivadas a nivel secundario, nos permite establecer la prioridad de la derivación en función de la gravedad del diagnóstico de sospecha optimizando los circuitos de derivación. Los datos utilizados se han obtenido mediante consentimiento informado conforme a la normativa vigente. 
 
 

Comunicaciones y ponencias semFYC: 2026; Comunicaciones: Casos clínicos. ISSN: 2339-9333

Autores

Moguer Galán, Carmen
CS San Isidro. Los Palacios y Villafranca. Sevilla
Gámez Navarro, María
CS San Isidro. Los Palacios y Villafranca. Sevilla
Espinal Sanchez, Marina
CS San Isidro. Los Palacios y Villafranca. Sevilla