5, 6 y 7 de febrero de 2026
Atención Primaria.
Dolor en fosa ilíaca izquierda.
Enfoque individual
Hombre de 81 años con AP de HTA, DM2, dislipemia, poliartrosis, úlcera duodenal en 2001 y angina de esfuerzo. Acude a Urgencias de Atención Primaria por dolor abdominal en cuadrante inferior izquierdo de varios días de evolución, hasta hoy que ha interferido con el descanso nocturno; deposiciones conservadas, no náuseas, vómitos ni fiebre. En la exploración se palpa aumento de densidad en fosa ilíaca izquierda con Blumberg positivo, por lo que se hace ecografía con ecógrafo portátil.
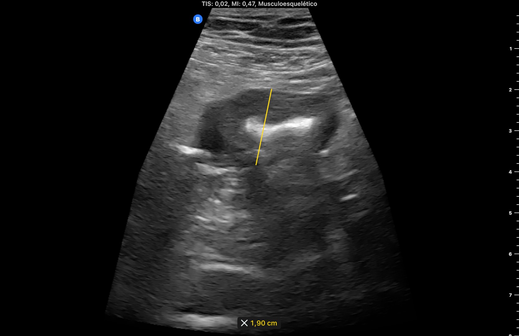
Hallazgos ecográficos: Se objetiva imagen de tubo digestivo a nivel sigmoideo, con engrosamiento de pared que alcanza los 1,9 cm de diámetro (fotos 1 y 2) y que sugiere diverticulitis aguda (hay vídeo).
Juicio clínico, diagnóstico diferencial, identificación de problemas
Diverticulitis aguda vs colección abdominal.
Tratamiento y planes de actuación
Se remite a Urgencias hospitalarias dado el abdomen agudo. En la analítica presenta leve elevación de reactantes de fase aguda y se solicita TAC abdominal que confirma el diagnóstico de diverticulitis aguda de sigma.
Evolución
El paciente se queda ingresado durante 48 horas con tratamiento antibiótico y dieta absoluta. Presenta evolución favorable, con alta posterior y tratamiento ambulatorio.
La ecografía intestinal siempre ha generado muchas reticencias al contar con múltiples artefactos (gas, peristaltismo). Sin embargo, aplicada al punto de interés clínico, puede resultar de gran utilidad para afinar el diagnóstico y permitir una derivación más acertada, que permita un mejor tratamiento del paciente.

