V Jornadas de Ecografía de la semFYC

9 y 10 de febrero de 2024

Comunicaciones: Casos clínicos

Empezó con parestesias (oral)

Ámbito del caso

Atención Primaria.

Motivos de consulta

Astenia en inmunodeprimida por polineuritis.

Historia clínica

Enfoque individual

Mujer de 55 años sin antecedentes de interés. Usuaria habitual de sanidad privada hasta hace un año cuando acudió para baja laboral. Refirió alteración de la sensibilidad en dedos de manos y pies, después en brazos con pérdida de fuerza. Tras estudio por neurólogos privados (biopsias, analíticas, EMG, RM, TC…), se diagnosticó de polineuritis por posible vasculitis y fue tratada con bolos de corticoides y gabapentina que condicionaron mermas cognitivas. Un año después seguía sin diagnóstico claro y había sido remitida a Neurología de hospital público, donde se inició tratamiento con inmunosupresores. Última analítica hace 4 meses con GGT 250, resto normal. Refiere que en la última semana se encuentra mucho más cansada. Se pide analítica tras cuyos resultados se realiza ecografía.

Hallazgos ecográficos

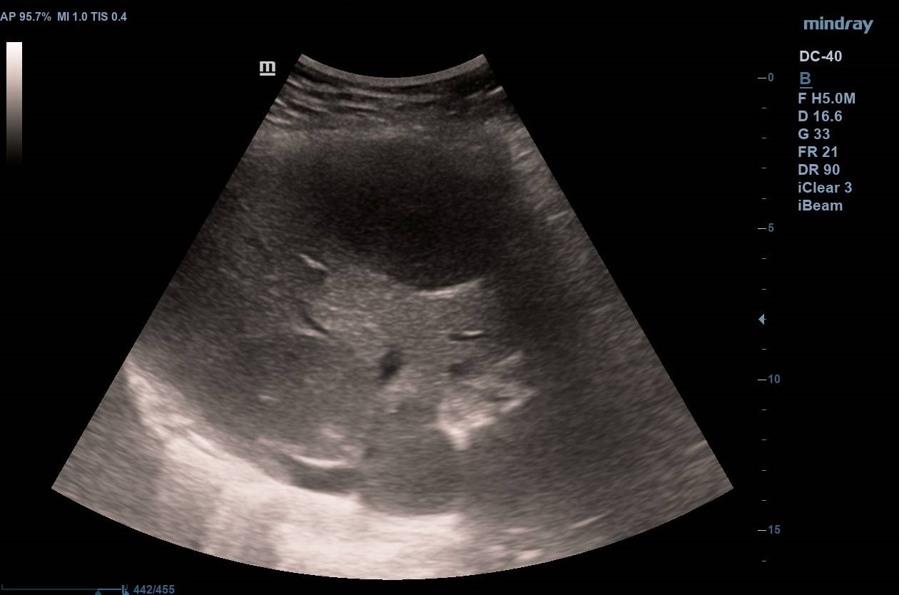
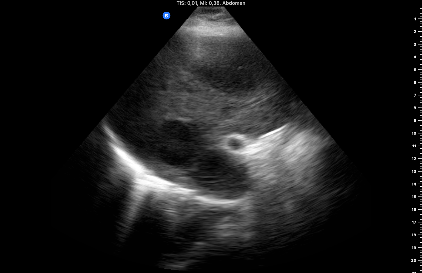
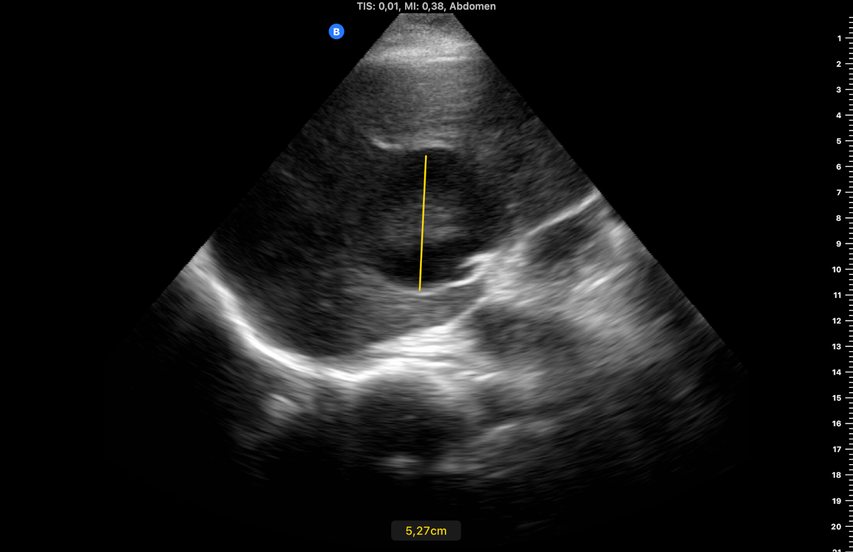
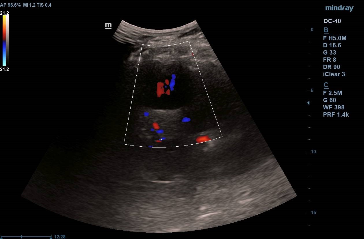
Ecografía inicial con ecógrafo portátil con múltiples LOES hepáticas hipoecogénicas de 5-6 cm de diámetro, alguna con centro hiperecogénico (figuras 1 y 2), que se confirman con ecógrafo de consola (figuras 3 y 4) con flujo Doppler aumentado respecto al resto de parénquima (hay vídeos).

Pruebas complementarias

Analítica preferente al día siguiente: Hb 11, PCR 43, GPT 82, GGT 457 y FA 207, bilirrubina normal.

Juicio clínico, diagnóstico diferencial, identificación de problemas

LOES hepáticas múltiples en paciente con polineuritis y tratamiento inmunosupresor.

Tratamiento y planes de actuación

Derivación a Medicina Interna por circuito sospecha de malignidad.

Evolución

La paciente ingresó en hospital privado, diagnosticando linfoma B de alto grado con afectación hepática y ósea. Tras tratamiento de quimioterapia y vertebroplastia, ha presentado múltiples complicaciones con sepsis, fracaso renal y candidiasis sistémica. Actualmente estable, en control en Hematología e Infecciosas de hospital público.

Conclusiones (y aplicabilidad para la Medicina de Familia)

Se trata de una paciente con polineuritis idiopática con inmunosupresores que presenta un cuadro de astenia y afectación analítica hepática (perfil ocupacional). La ecografía en AP muestra LOES hepáticas que permiten orientar el resto de pruebas complementarias hasta el diagnóstico de linfoma B. Algunos de estos linfomas pueden presentar polineuropatía como síndrome paraneoplásico que precede al diagnóstico en varios años, y posiblemente el tratamiento inmunosupresor desencadenó la afectación hepática.
 
 
 
 
 

Comunicaciones y ponencias semFYC: 2026; Comunicaciones: Casos clínicos. ISSN: 2339-9333

Autores

Cobo Ramírez, Gloria
CS Mar Báltico. Madrid
Torrente Aznar, Miguel Ángel
CS Mar Báltico. Madrid
Alonso Roca, Rafael
CS Mar Báltico. Madrid