5, 6 y 7 de febrero de 2026
Atención Primaria.
Infecciones urinarias de repetición.
Enfoque individual
Hallazgos ecográficos
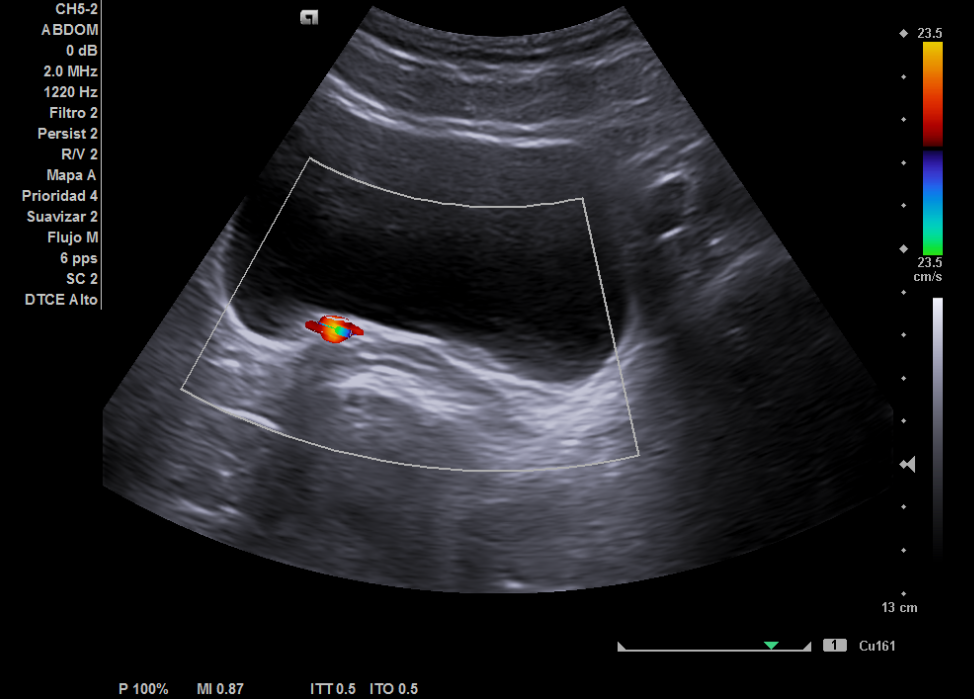
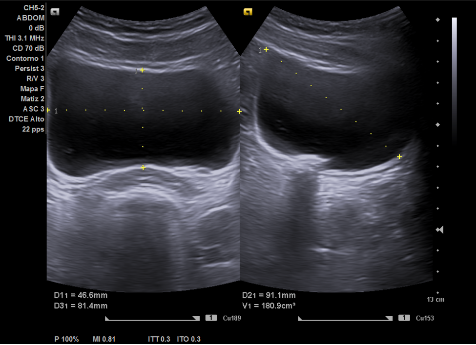
Ecografía: hígado de tamaño y ecoestructura normal, sin evidenciar masas focales. No se aprecia dilatación de las vías biliares. Vesícula sin litiasis. Páncreas visualizado parcialmente, sin evidenciar masas. Bazo de tamaño y ecoestructura normal. Los riñones son de tamaño, forma y ecoestructura normal, con buena diferenciación parénquima-seno y grosor cortical conservado, sin dilatación de vías excretoras ni clara imagen de litiasis. Vejiga distendida de aspecto normal, visualizando dudosas litiasis en las uniones vesico-ureterales.
Pruebas complementarias
No se realizaron otras pruebas.
Juicio clínico, diagnóstico diferencial, concordancia con el hospital (en su caso)
Diagnóstico diferencial:
Tratamiento, planes de actuación
Decidimos completar estudio con TAC abdomino-pélvico.
Evolución
A la espera de realización del TAC.
La ecografía en el centro de salud permitió descartar dilatación pielocalicial o litiasis renal y orientó el diagnóstico hacia posibles secuelas del tratamiento endoscópico previo (STING), mejorando el manejo de la paciente en Atención Primaria. Además, aceleró los tiempos diagnósticos al posibilitar la solicitud de un TAC y una derivación más dirigida al especialista en Urología. Finalmente, cabe destacar que todo ello conlleva a la mejora de la relación médico-paciente.



