Comunicaciones: Casos clínicos

El valor de la ecografía en el diagnóstico precoz de hepatopatías en Atención Primaria: un caso clínico de hepatocarcinoma (póster)

Ámbito del caso

Atención  Primaria.

Motivos de consulta

Síndrome constitucional acompañado de náuseas, vómitos y diarrea con productos patológicos.

Historia clínica

Enfoque individual

  • Antecedentes personales relevantes: Enfermedad pulmonar obstructiva crónica, esquizofrenia. Discopatía degenerativa con estenosis neuroforaminal. Consumidor de alcohol (2-3 cervezas diarias) y fumador >40 paquetes/año. 
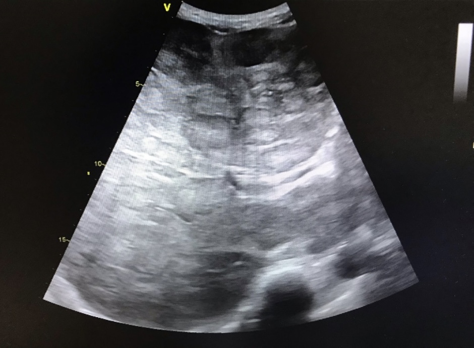
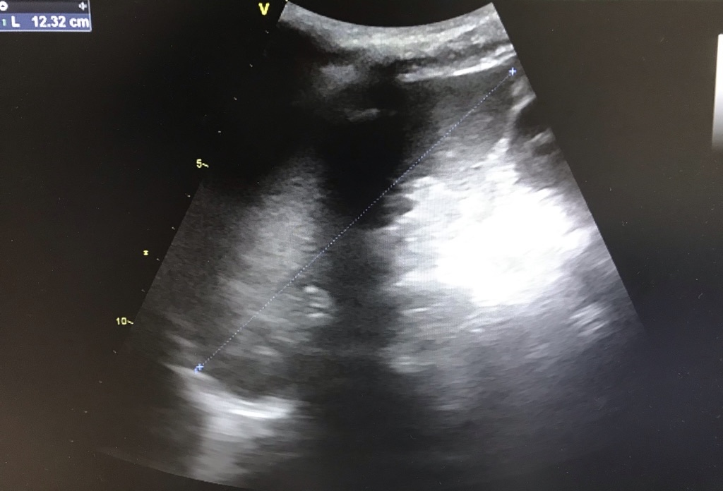
  • Anamnesis, exploración física y lugar que ocupa en ella la ecografía: Hombre de 64 años que acude a consulta por astenia e hiporexia, que en los últimos 3 días se han acompañado de náuseas, vómitos y diarrea sanguinolenta. Refiere dolor en vértebras torácicas altas de un mes de evolución. En la exploración física presenta dolor a la palpación en hipocondrio derecho y hepatomegalia de 3 traveses. En consulta se realiza una ecografía abdominales-pélvica

Hallazgos ecográficos

Hepatomegalia con alteraciones difusas en toda la extensión del parénquima hepático de morfología nodular. No se observan otras alteraciones patológicas.

Pruebas complementarias

Analítica de sangre que muestra Hb 11,9 g/dL, Br total 1,3 mg/dL, GOT 219 U/L, GPT 173 U/L, GGT 1487 U/L, FA 487 U/L y LDH 1954 U/L.
Serología de virus hepáticos negativa.
TAC abdominal: lesiones nodulares en el parénquima hepático de apariencia tumoral, así como hepatomegalia.

Juicio clínico, diagnóstico diferencial, concordancia con el hospital (en su caso)

  • Juicio clínico: Hepatocarcinoma vs nódulos metastásicos. 
  • Diagnóstico diferencial, concordancia con el hospital (en su caso): Nódulos de regeneración, hepatocarcinoma, metástasis, nódulos displásicos, cirrosis, hepatitis

Tratamiento, planes de actuación

Se realizó un estudio de extensión, anatomopatológico y tratamiento del tumor primario.

Evolución

Seguimiento por Medicina Interna donde ingresó, con posterior control por oncología.

Conclusiones y aplicabilidad para la medicina de familia

Este caso pone de manifiesto el valor de la ecografía en la consulta de Atención Primaria, al facilitar la agilización del proceso diagnóstico y la identificación precoz de signos de alarma. En este paciente, la disponibilidad de esta herramienta modificó de forma decisiva el abordaje clínico: sin ella, el proceso habría sido más lento, retrasando tanto el diagnóstico como el inicio del tratamiento, con el consiguiente impacto negativo en el pronóstico.
 
 

Comunicaciones y ponencias semFYC: 2026; Comunicaciones: Casos clínicos. ISSN: 2339-9333

Autores

Berasaluce Vergara, Jone
CS de Ermitagaña. Pamplona
Pradini Mendivil, Ana
CS de Burlada. Pamplona