X Jornadas de Actualización en Medicina de Urgencias y VI Jornadas de Ecografía de la semFYC
6-7-8 de febrero de 2025
Enfoque individual: antecedentes personales, anamnesis, exploración, pruebas complementarias, etc.
Enfoque familiar y comunitario: estudio de la familia y la comunidad (si fuese necesario)
No convivientes afectados.
Juicio clínico, diagnóstico diferencial, identificación de problemas
Diagnóstico diferencial disnea y dolor torácico en paciente joven:
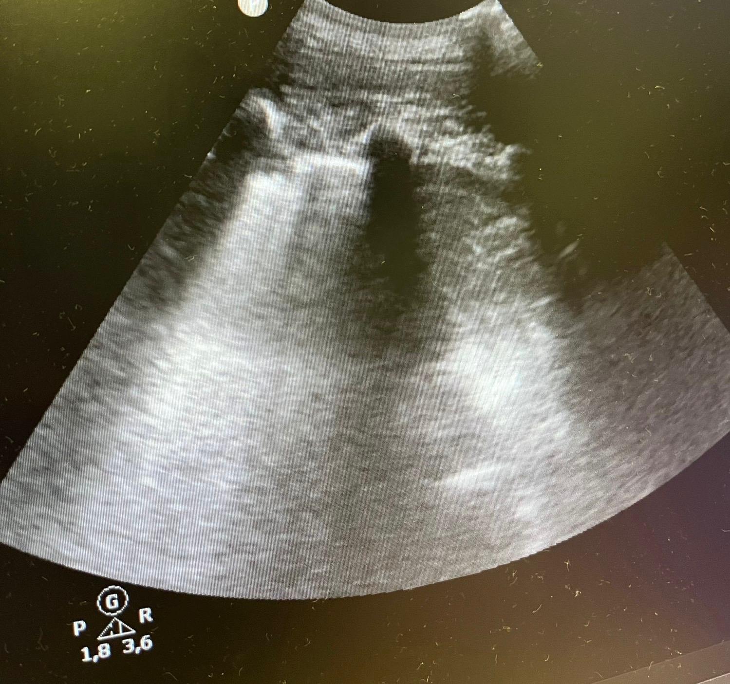
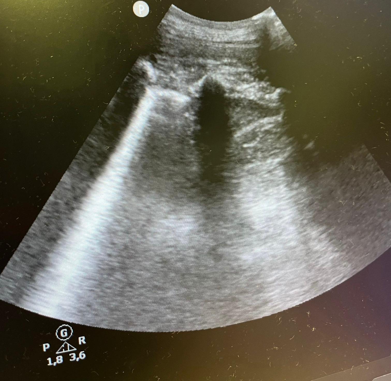
Juicio clínico: Se orienta como neumonía ya que el paciente cursa con fiebre y tiene una ecografía compatible; dado buen estado general del paciente y escalas FINE 35, CURB 65 de 0 se decide alta a domicilio con tratamiento oral.
Tratamiento y planes de actuación
Evolución
Buena evolución tras tratamiento.
En este caso podemos contemplar que nos es muy útil tanto en consultas de Atención Primaria como en Urgencias el uso de la ecografía como herramienta cuando tenemos dudas diagnósticas. El signo de la medusa es una imagen dinámica de la ecografía que se puede producir en caso de derrame pleural por una atelectasia compresiva, vemos una imagen similar a la de un brazo de medusa flotando en el contenido líquido. Conocer este signo puede ser de utilidad para sospechar un derrame pleural.

