V Jornadas de Ecografía de la semFYC

9 y 10 de febrero de 2024

Comunicaciones: Casos clínicos

El punto débil (póster)

Ámbito del caso

Servicios de Urgencias. 

Motivos de consulta

Dolor articular. 

Historia clínica

Enfoque individual

Varón joven sin antecedentes de interés que acude a urgencias por dolor en tobillo derecho de dos días de evolución tras recibir una patada jugando a fútbol. En exploración física impresiona edema difuso en tobillo, dolor en región aquílea y ambos maléolos. A la movilización activa presenta impotencia para flexión dorsal con maniobra de Thompson dudosa. 

En primer lugar se realizó radiografía de tobillo sin hallarse lesiones óseas por lo que ante duda diagnóstica realizamos ecografía a pie de cama con hallazgo de rotura completa de tendón de Aquiles. 

Hallazgos ecográficos

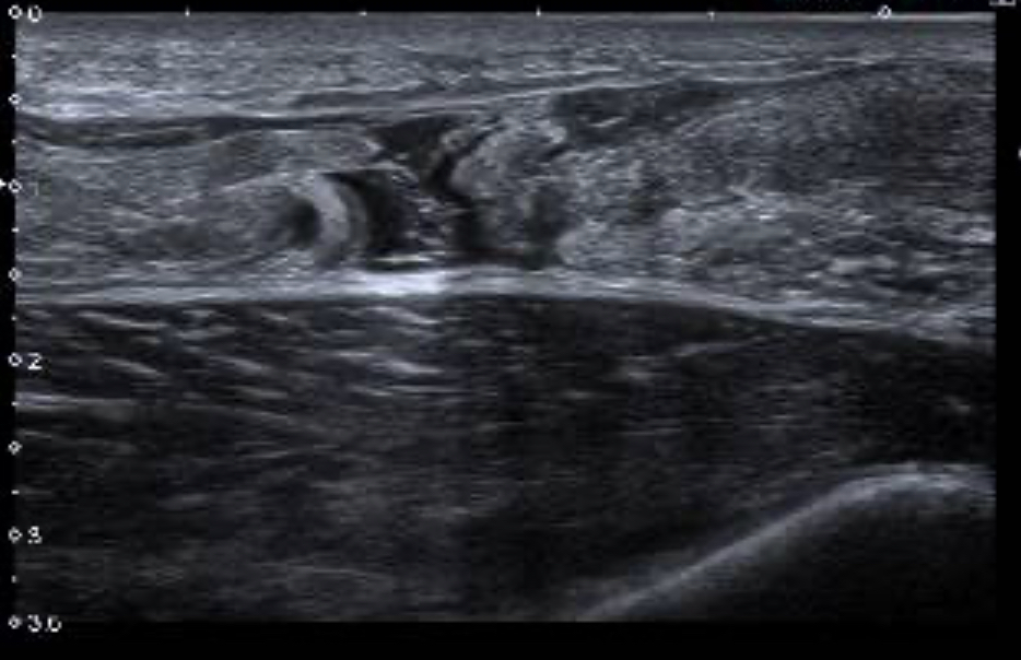
En la primera imagen en corte longitudinal se aprecia una imagen hipoecogénica correspondiente a rotura completa del tendón de Aquiles, limitada por dos estructuras hiperecogénicas que corresponden con los cabos proximal y distal del tendón de Aquiles.
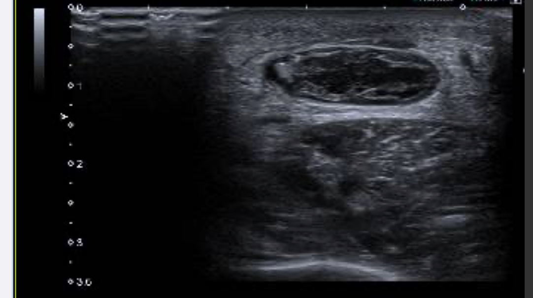
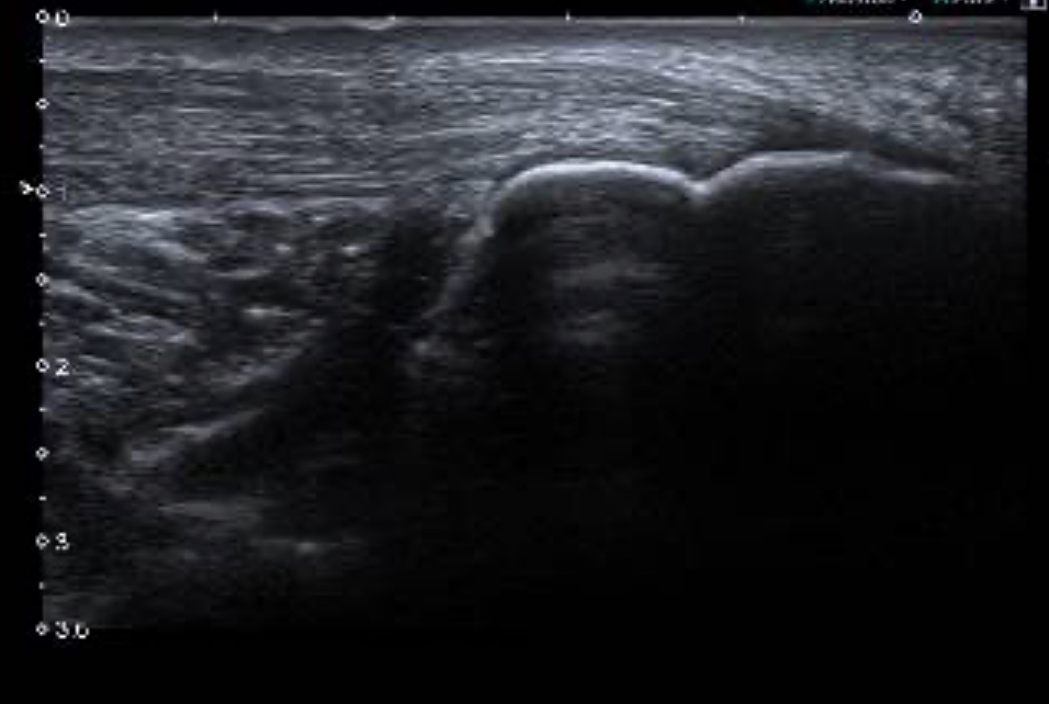
En la segunda imagen vemos en corte transversal una imagen con contenido hipoecogénico que corresponde con la zona de rotura tendinosa. Por último en la tercera imagen vemos la inserción tendinosa en el calcáneo conservada. 

Pruebas complementarias

Radiografía de tobillo sin lesiones óseas agudas. 

Juicio clínico, diagnóstico diferencial, identificación de problemas

Rotura completa del tendón de Aquiles.

Tratamiento y planes de actuación

Se inmovilizó con férula en equino y se derivó a traumatología de forma preferente.

Evolución

Fue operado tres días después. 

Conclusiones (y aplicabilidad para la Medicina de Familia)

Es una técnica fácil de aplicar de interpretar que junto con la clínica típica acompañante supone un diagnóstico definitivo lo cual permite un tratamiento precoz.

 

 


Comunicaciones y ponencias semFYC: 2026; Comunicaciones: Casos clínicos. ISSN: 2339-9333

Autores

Torrado Bonet, María
CS Lavapies. Madrid
Colmenero Rollinson, Roberto Julian
CS Lavapies. Madrid