5, 6 y 7 de febrero de 2026
Servicios de Emergencias
Mujer de 67 años consulta por opresión torácica de días de evolución.
Enfoque individual
Alergia a AAS. Fumadora de 20 cigarrillos/día. Obesidad. Hipertensión arterial. Dislipemia Diabetes mellitus tipo 2. Enfermedad pulmonar obstructiva crónica
La paciente refiere episodios intermitentes de opresión torácica irradiada a espalda y sudoración fría que comenzó hace 48 horas, repitiéndose durante los días siguientes. Explica suceso estresante de problemática familiar.
En las últimas 24 horas se hacen más continuos, por lo que decide contactar con Servicio de Emergencias Médicas.
Buen estado general. Consciente y orientada. Eupneica. Tonos rítmicos, soplo sistólico 2/6. Murmullo vesicular conservado. Pulsos periféricos presentes
ECG: ritmo sinusal a 90 látidos por minuto, QRS estrecho, elevación segmento ST de V3 a V6 de hasta 2 mm, T negativa V5-V6, elevación ST 0,5 mm en DII y aVF.
Ecografía a pie de calle: hipercontractilidad de bases e hipocinesia de segmentos medio-apicales. Fracción de eyección del ventrículo izquierdo conservada. Sin derrame pericárdico. Impresiona engrosamiento de pared libre de ventrículo derecho.
Juicio clínico, diagnóstico diferencial, identificación de problemas
Posible síndrome de Tako-Tsubo (STT).
Síndrome coronario agudo, miocarditis, espasmo coronario.
Síndrome de Tako-Tsubo activado como código IAM + Enfermedad coronaria de 1 vaso: descendente anterior media (70%).
Tratamiento y planes de actuación
Administramos carga de Prasugrel 60 mg, Bolus Heparina Sódica 5000 UI, Nitroglicerina sublingual. Se activa Código Infarto Agudo Miocardio (IAM) con traslado a unidad de hemodinámica.
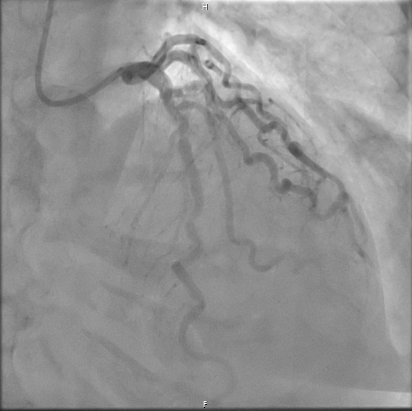
En la sala de hemodinámica se realiza en primer lugar cateterismo coronario hallándose estenosis de 70% del segmento medio de la arteria coronaria Descendente Anterior (DA). A través de Intervención Coronaria Percutánea se implanta stent farmacoactivo con buen resultado final.
Evolución
Posteriormente durante su ingreso perdura nuevo episodio de dolor torácico y se determina Troponina en pico de 5.989 ng/L. Se realiza ecografía y ventriculograma que sugieren STT. A consecuencia de esto, la estenosis de la DA supondría un hallazgo y no la causa principal del dolor torácico.
El conocimiento de la ecocardiografía a nivel tanto hospitalario como extrahospitalario resulta esencial para el diagnóstico y tratamiento de patología isquémica y sus diagnósticos diferenciales que debemos tener siempre presentes. El STT pese a ser un gran desconocido, la ecografía nos ayuda a su manejo y orientación etiológica.



