5, 6 y 7 de febrero de 2026
Atención Primaria.
Dolor talón izquierdo.
Enfoque individual
Mujer de 60 años con Espondiloartrosis HLA-B27+ como único antecedente de interés, que acude por dolor en talón izquierdo a la deambulación de 3 meses de evolución.
Refiere que se encontraba caminando por la playa cuando comenzó a sentir dolor de forma súbita. Posteriormente pasó una semana con dificultad para caminar.
A la exploración bultoma en región aquilea izquierda, dolorosa a la palpación. No signo del hachazo. Maniobra de Thompson dudosa. Se decide realizar ecografía de tendón aquíleo izquierdo para clarificar lesión.
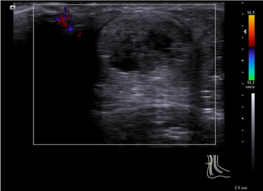
Hallazgos ecográficos
Se emplea sonda lineal L10-5v de forma longitudinal al tendón de aquiles, observando una zona anecoica en interfase del tendón a unos 7 cm de la inserción calcánea, con pérdida de continuidad del patrón fibrilar de las fibras tendinosas y aumento del grosor de este. No aumento de captación en Doppler.
Pruebas complementarias
No precisa salvo mala evolución.
Juicio clínico, diagnóstico diferencial, concordancia con el hospital (en su caso)
Rotura parcial VS rotura completa aquilea. Peritendinitis aquílea. Hematoma aquileo. Desgarro gastrocnemio. Bursitis retrocalcánea.
Tratamiento, planes de actuación
La rotura parcial del tendón de aquiles debe ser considerada una tendinopatía avanzada. En fase aguda está indicado realizar inmovilización en flexión plantar para impedir acortamiento tendinoso. Nuestra paciente se encuentra en fase subaguda y dado que la rotura no es completa se decide iniciar tratamiento conservador. Se pautan analgésicos para reducir dolor y se deriva a rehabilitación, con el fin de promover la reestructuración del tendón e iniciar fase de fortalecimiento.
Evolución
La paciente fue citada periódicamente en consulta para ver evolución clínica y ecográfica. Una actitud conservadora en roturas parciales leves-moderadas puede ofrecer buenos resultados, con recuperación funcional en 3-6 meses. En caso de que no se observe mejoría se podría derivar al Servicio de Traumatología para valorar tratamiento quirúrgico.
La mayoría de los desgarros parciales en tendones se deben a la sobrecarga de estos tejidos, surgiendo en zonas ya comprometidas por alteraciones tendinopáticas. La ecografía es una herramienta valiosa y eficaz en el diagnóstico de la rotura parcial del tendón de Aquiles, ya que proporciona una evaluación rápida, precisa y dinámica del tendón, permitiendo un diagnóstico temprano, una planificación de tratamiento adecuada y un seguimiento durante la recuperación.


