5, 6 y 7 de febrero de 2026
Enfoque individual
Mujer de 38 años, sin antecedentes personales de interés. Acude por hallazgo incidental en analítica solicitada por estudio previo a un tratamiento de fecundación in vitro. En la analítica destaca TSH suprimida (0.006 uUI/mL) y T4 libre y T3 libre elevadas, junto con anticuerpos anti-TPO y anti-tiroglobulina positivos. La paciente refiere fatiga, estreñimiento, distensión abdominal, palpitaciones ocasionales, ansiedad e insomnio de un año de evolución.
La exploración física es normal, sin bocio ni temblor con auscultación cardiopulmonar normal.
Hallazgos ecográficos
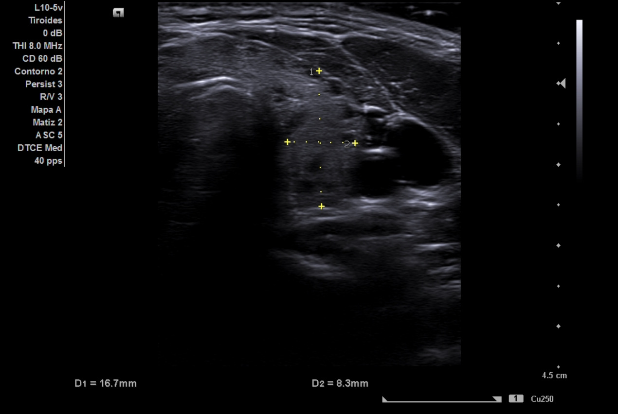
Hallazgos ecográficos relevantes:
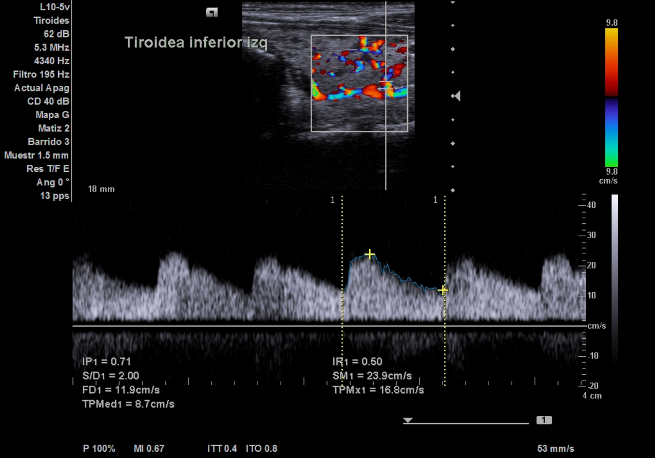
La ecografía clínica de tiroides muestra lóbulo derecho de 18 mm y lóbulo izquierdo de 16,7 mm en eje anteroposterior, con ecoestructura hipoecoica y heterogénea, presencia de múltiples quistes anecoicos milimétricos y un discreto aumento de la vascularización. No se identifican nódulos sólidos. El Doppler registra un pico sistólico máximo de 23 cm/s en ambas arterias tiroideas inferiores. Estos hallazgos son compatibles con tiroiditis.
Ecográficamente, la enfermedad de Graves se caracteriza por hipervascularización difusa («inferno tiroideo») y velocidades sistólicas elevadas (>30 cm/s), mientras que en las tiroiditis la vascularización es normal o discretamente aumentada, con patrón heterogéneo sin hiperflujo marcado.
Pruebas complementarias
Electrocardiograma sin alteraciones.
Juicio clínico, diagnóstico diferencial, concordancia con el hospital (en su caso)
Juicio clínico: hipertiroidismo clínico.
El diagnóstico diferencial incluye enfermedad de Graves, adenoma o bocio multinodular tóxico, hashitoxicosis o tiroiditis silente.
Tratamiento, planes de actuación
La ecografía descarta de manera razonable una enfermedad de Graves, adenoma o bocio multinodular tóxico, orientando el caso a una tiroiditis.
Se inicia tratamiento sintomático con propranolol 40 mg, ½ comprimido cada 12 horas según síntomas.
Se deriva a Endocrinología para confirmación y seguimiento.
Evolución
En la consulta de endocrinología se solicita anti-receptores de TSH que son negativos. La TSH fluctúa entre valores normales y bajos, evolucionando finalmente el cuadro hacia una tiroiditis de Hashimoto.
La ecografía clínica fue clave para el diagnóstico diferencial del hipertiroidismo y permitió orientar adecuadamente el manejo en Atención Primaria especialmente relevante ante demoras en la atención especializada y en el contexto sensible de un proceso de reproducción asistida. Evitamos el uso de metimazol que tiene riesgo de desarrollar malformaciones congénitas en el primer trimestre del embarazo.


