Comunicaciones: Casos clínicos

«El centelleo que ilumina» (oral)

Ámbito del caso

Atención Primaria. 

Motivos de consulta

Mujer de 61 años que consulta por tenesmo vesical. 

Historia clínica

Enfoque individual

Antecedentes personales de cólicos nefríticos de repetición y colecistectomía.
Refiere tenesmo vesical desde hace 2 días, sin poliaquiuria ni disuria. Asocia náuseas, sin vómitos. Niega hematuria, fiebre o dolor. 
A la exploración física se objetiva leve dolor a la palpación en hipogastrio y en flanco derecho. Puño-percusión renal bilateral negativa. Sin signos de irritación peritoneal. 
Ante ancedentes y síntomas descritos y hematuria presente en tira reactiva de orina, realizamos ecografía clínica renovesical ante sospecha de nuevo episodio de cólico nefrítico. 

Hallazgos ecográficos

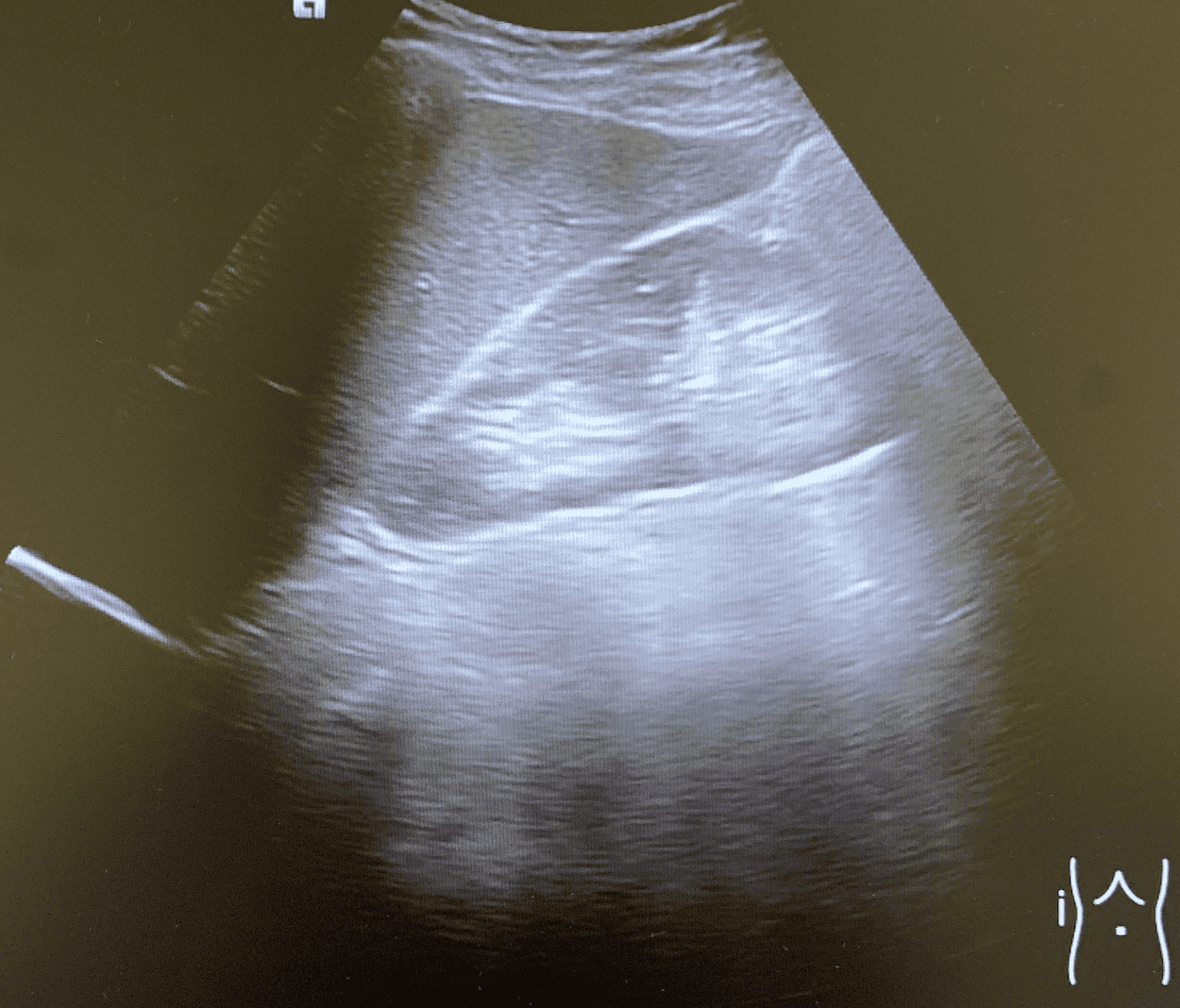
Se realizan cortes longitudinales y transversales de ambos riñores y de vejiga. 
Riñones de ecoestructura, tamaño y localización normales. Relación córtico-medular normal. Sin signos de hidronefrosis. 
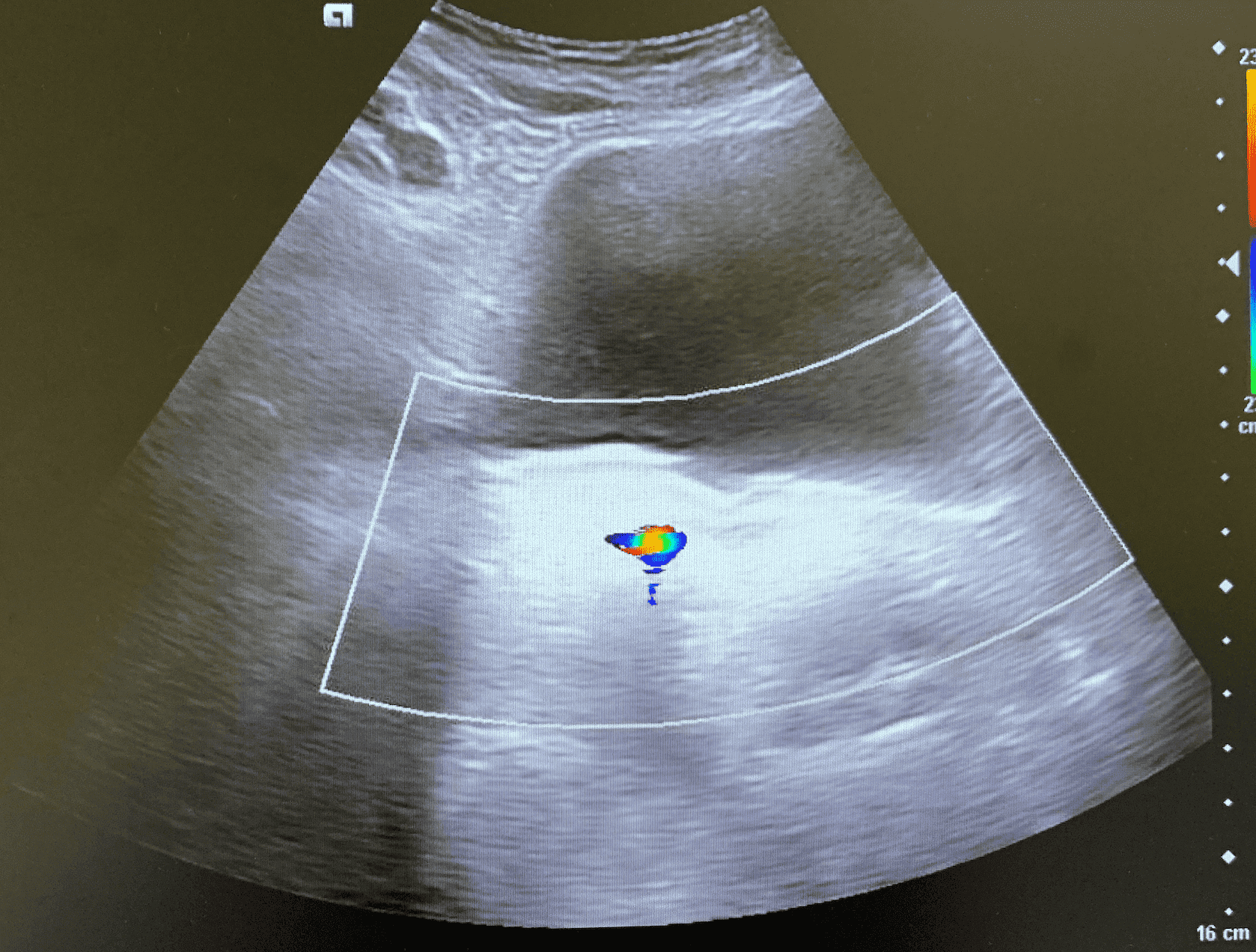
Vejiga repleccionada de paredes lisas, sin evidencia de crecimiento en su interior. Visualización de ambos jets ureterales. Se observa fenómeno de centelleo en trayecto ureteral derecho, sugestivo de litiasis. 

Pruebas complementarias

Solicitamos tira reactiva de orina, positiva para hematíes.
Hallazgo de 8 hematíes/campo en sedimento de orina. 

Juicio clínico, diagnóstico diferencial, concordancia con el hospital (en su caso)

Nuestra sospecha clínica es de urolitiasis.
Realizaremos el diagnóstico diferencial con patologías que presenten hematuria: nefropatía por IgA, nefritis intersticial, infección urinaria, tumores uroteliales y renales. También con aquellas que puedan simular un cólico nefrítico: pielonefritis, abscesos/tumores renales, trombosis de vena renal, embarazo ectópico, salpingitis, torsión/quiste ovárico, rotura/disección aórtica, apendicitis, ileítis, pancreatitis, colecistopatías. 

Tratamiento, planes de actuación

Ante nuevo episodio de urolitiasis, iniciamos tratamiento con Tamsulosina 0,4 mg/día durante las próximas 4 semanas o menos si expulsión de litiasis. Añadimos analgesia oral (Dexketoprofeno, Metamizol) si precisara. 
Citamos en consulta en dos semanas para ver evolución. 

Evolución

La paciente acude a consulta asintomática. No ha observado expulsión de litiasis. Exploración física dentro de la normalidad.
Realizamos nueva ecografía, desapareciendo fenómeno de centelleo. Resto de exploración ecográfica nefrourológica normal.
Indicamos continuar con Tamsulosina hasta completar 30 días.

Conclusiones y aplicabilidad para la medicina de familia

La ecografía renovesical supone una herramienta clave en el diagnóstico y seguimiento de la urolitiasis. Nos permite diagnosticar, localizar la litiasis y hacer el seguimiento para evitar y detectar temprano las posibles complicaciones. 
El uso de Doppler color nos ayuda a detectar cálculos pequeños de difícil visualización gracias al artefacto de centelleo. Consiste en una rápida alternancia del color inmediatamente detrás de un objeto ecogénico, dándose una falsa apariencia de movimiento. 
 
 

Comunicaciones y ponencias semFYC: 2026; Comunicaciones: Casos clínicos. ISSN: 2339-9333

Autores

Ferrer Ibáñez, Irene
CS San Antón. Cartagena, Murcia
Elrajeh Alroyoulah, Linn Jadiya
CS San Antón. Cartagena, Murcia
Landeo Soldevilla, Christian
CS San Antón. Cartagena, Murcia