V Jornadas de Ecografía de la semFYC

9 y 10 de febrero de 2024

Comunicaciones: Casos clínicos

Edema en pierna, no todo es trombosis (póster)

Ámbito del caso

Atención Primaria.

Motivos de consulta

Edema en pierna y hematuria.

Historia clínica

Enfoque individual

Varón de 85 años de edad, sin alergias conocidas a fármacos. Hipertensión arterial. Dislipemia. Demencia Alzheimer fase moderada. Cólico nefrítico. Primera neoplasia 2013: adenocarcinoma de próstata. Resección transuretral (RTU) prostática con litotricia endovesical. Recaída en 2015, tratamiento con radioterapia.  Segunda neoplasia febrero 2023: Sarcoma pleomorfo indiferenciado en pelvis izquierda radio inducido tras tratamiento de neoplasia prostática no candidato a tratamiento activo ECOG 2-3 (Eastern Cooperative Oncology Group).
Acude por aumento de extremidad izquierda respecto a derecha y hematuria con coágulos desde hace 3 días sin dolor abdominal, miccional, náuseas, vómitos o fiebre.
Exploración pulsos presentes y simétricos, extremidad izquierda edematizada respecto a derecha, con tumoración indurada en ingle izquierda. Abdomen distendido, no doloroso, se palpa masa a nivel de hipogastrio que impresiona de globo vesical. Realizamos ecografía clínica a descartar trombosis venosa.

Hallazgos ecográficos

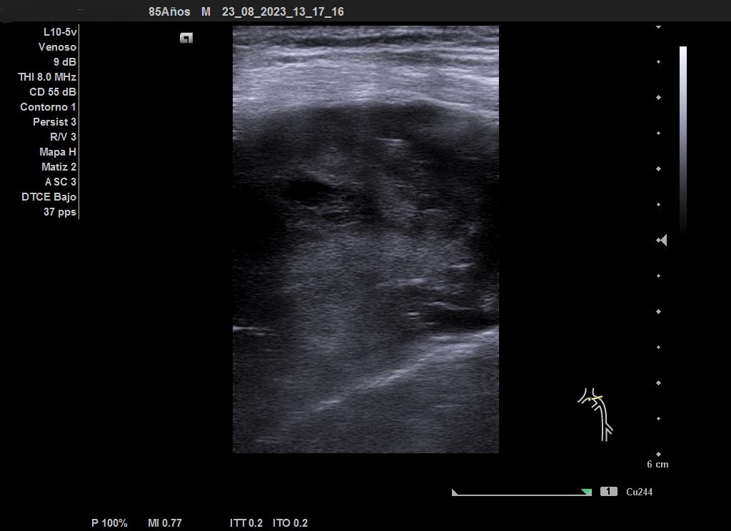
Ecografía venosa: venas femorales y poplíteas permeables. A nivel inguinal se observa imagen heterogénea, mal definida, sospechosa de malignidad.
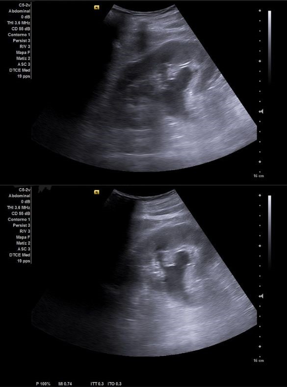
Ecografía clínica urológica: se objetiva vejiga muy distendida hasta epigastrio con imagen heterogénea en pared posterior de vejiga de gran tamaño que capta al Doppler color sospechosa de malignidad. Con signo de hidronefrosis riñón izquierdo grado III.

Pruebas complementarias

Analítica general hospitalaria destaca anemia con hemoglobina 9,17 g/dl e hipopotasemia leve asintomática.

Juicio clínico, diagnóstico diferencial, identificación de problemas

Retención aguda de orina con hidronefrosis renal izquierda secundaria a Cáncer de vejiga.
Diagnóstico diferencial: litiasis renal, traumatismos renales previo, infección urinaria, causas glomerulares y prostáticas.  

Tratamiento y planes de actuación

Se coloca sondaje vesical y remitimos a urgencias del hospital. 

Evolución

Ingresa en unidad de corta estancia hospitalaria para tratamiento con hierro, sueroterapia y lavados vesicales. Es valorado por Oncología y Urología, se trata de nueva neoplasia secundaria a extensión de sarcoma. Por lo que se decide tratamiento paliativo. El paciente es dado de alta con sonda vesical permanente. Falleciendo a los 2 meses.

Conclusiones (y aplicabilidad para la Medicina de Familia)

La ecografía en Atención Primaria ayuda al diagnóstico de las diferentes patologías urológicas y de otras patologías. Nuestro paciente presentaba edema en pierna y hematuria con masa palpable en hipogastrio, realizamos ecografía clínica para descartar trombosis llegando al diagnóstico de retención aguda de orina con hidronefrosis secundaria que se pudo tratar inmediatamente y remitir a especialista hospitalario dada la imagen altamente sospechosa de malignidad.
 
 
 
 

Comunicaciones y ponencias semFYC: 2026; Comunicaciones: Casos clínicos. ISSN: 2339-9333

Autores

Cifre Socias, Apol·Lònia
UBS Arenal. CS Platja de Palma. Palma de Mallorca
López Creagh, Ana Teresa
UBS Arenal. CS Platja de Palma. Palma de Mallorca
Manzano Barroso, Antonio
UBS Arenal. CS Platja de Palma. Palma de Mallorca