X Jornadas de Actualización en Medicina de Urgencias y VI Jornadas de Ecografía de la semFYC
6-7-8 de febrero de 2025
Atención Primaria.
Antecedentes personales relevantes, anamnesis, exploración física y lugar que ocupa en ella la ecografía
Mujer de 50 años con antecedentes personales de hipotiroidismo que acude a consulta por presentar desde hace tres semanas dolor abdominal epigástrico, que ha ido aumentando de intensidad y no se controla con analgesia de primer escalón. Sin náuseas o vómitos. Sin cambios en el hábito deposicional. Sin otra clínica en anamnesis por aparatos.
En la exploración física destaca dolor a la palpación en hemiabdomen superior con signo de Murphy positivo.
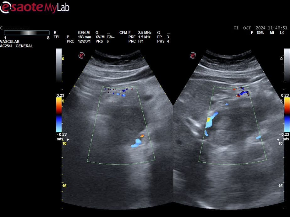
Se realiza POCUS para descartar patología vesicular, donde se halla una vesícula poco distendida sin alteraciones, además de una imagen con efecto masa de aproximadamente 2 cm en línea media, que parece depender de páncreas.
Otras pruebas complementarias realizadas (si existen)
No se realizan más pruebas complementarias.
Juicio clínico, diagnóstico diferencial, concordancia con el hospital (en su caso)
Se deriva a la paciente a urgencias con sospecha de neoplasia de páncreas, donde realizan una ecografía reglada donde se visualiza una masa sólido-necrótica de bordes imprecisos localizada en cabeza / proceso uncinado del páncreas con medidas aproximadas de 72x60x40mm, que comprime vena porta y vena cava inferior, acompañada de adenopatías retroperitoneales de aspecto patológico.
Decisiones adoptadas: tratamiento, planes de actuación
Se ingresa a la paciente a estudio por posible neoplasia primaria de cabeza de páncreas, ampliando el estudio con marcadores tumorales y TC tórax para estudio de extensión. Se realiza interconsulta con Cirugía General para valoración por su parte.
Evolución y seguimiento
La paciente está pendiente del estudio de extensión para valorar resecabilidad del tumor y extensión.
