X Jornadas de Actualización en Medicina de Urgencias y VI Jornadas de Ecografía de la semFYC
6-7-8 de febrero de 2025
Atencion Primaria.
Hematuria autolimitada única en un paciente de 58 años gran exfumador.
Antecedentes personales relevantes, anamnesis, exploración física y lugar que ocupa en ella la ecografía
Hombre de 58 años que acude a consulta por otro motivo y cuenta tangencialmente una hematuria en episodio único autolimitada y sin ninguna otra sintomatología acompañante. Niega dolor. Niega síndrome constitucional.
Descripción de los hallazgos ecográficos y las imágenes más relevantes para la resolución del caso
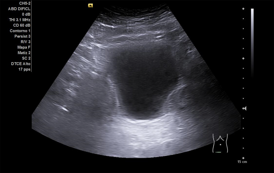
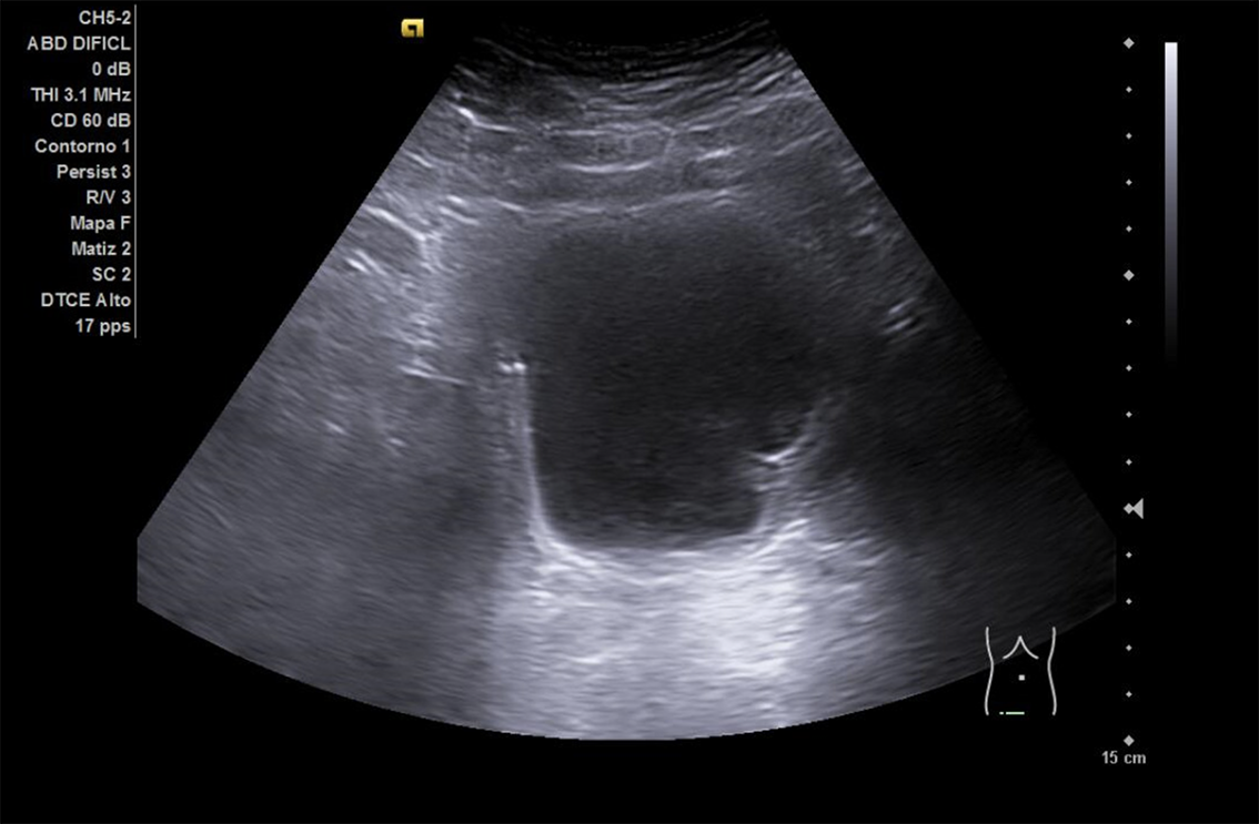
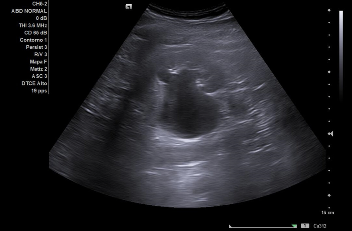
Se realiza ECO POCUS en la que se aprecia riñón derecho de morfología y tamaño normal. Riñón izquierdo con hidronefrosis grado III. A nivel de vejiga, bien replecionada se aprecia masa a nivel de pared izquierda adyacente a unión ureterovesical de 1.8 x 2,7 cm Ausencia de jet izquierdo.
Otras pruebas complementarias realizadas (si existen)
Se realiza UroTAC en la que se aprecia masa infiltrante a nivel ureterovesical izquierda de 3,1 cm de diámetro mayor.
Juicio clínico, diagnóstico diferencial, concordancia con el hospital (en su caso)
Se remite a Urgencias de Hospital para realización de pruebas complementarias y valoración por Urología.
Decisiones adoptadas: tratamiento, planes de actuación
Se realiza RTU Vesical de la lesión 10 días después de la realización de la Ecografía en Atención Primaria.
Evolución y seguimiento
En la actualidad el paciente se encuentra en tratamiento quimioterapico.
Este caso demuestra una vez más que la realizacion de una Ecografía incidental en consulta de Atención Primaria tiene una altísima rentabilidad diagnóstica, reduciendo la incertidumbre, acortando muchísimo los tiempos diagnósticos y mejorando el resultado final.



