5, 6 y 7 de febrero de 2026
Reconocer la disfunción eréctil como manifestación de daño vascular.
Reestratificar el riesgo cardiovascular en varones con bajo o moderado riesgo según SCORE2 mediante ecografía Doppler.
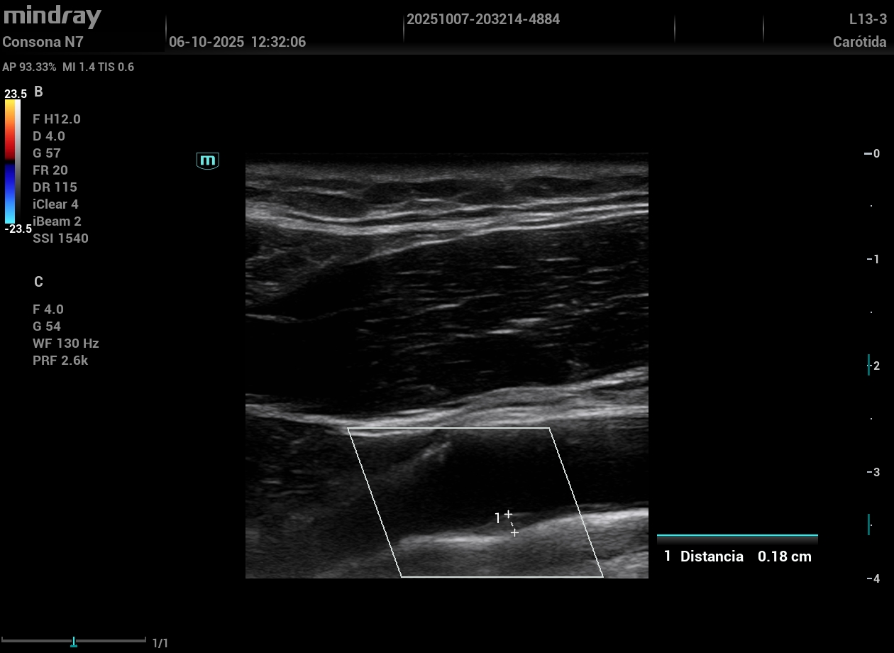
Implementar la ecografía Doppler de arterias carótidas y femorales como herramienta diagnóstica complementaria.
Optimizar la toma de decisiones preventivas y terapéuticas a partir de la detección directa de placas ateromatosas.
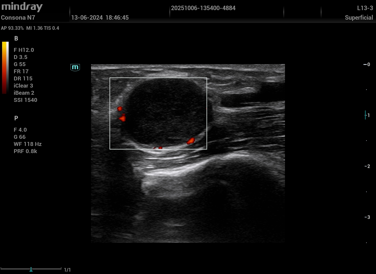
Inspirada por la rotación de una tutora en la Unidad de Riesgo Cardiovascular de un hospital, se formó al equipo en ecografía vascular e incorporó la técnica a la consulta. Se evaluó a 17 varones (50–65 años) que consultaron por disfunción eréctil sin enfermedad cardiovascular conocida y con RCV bajo-moderado por SCORE2. Se realizó una ecografía vascular aplicando el protocolo VASUS (arterias carótidas, femorales y aorta), identificando placas ateroscleróticas no detectadas antes. Estos hallazgos motivaron intensificar cambios en el estilo de vida, estrechar el seguimiento y ajustar tratamiento farmacológico.
La disfunción eréctil puede ser una señal de alarma precoz de afectación vascular. La ecografía Doppler es una técnica accesible, segura y efectiva para identificar daño aterosclerótico en pacientes con riesgo cardiovascular bajo o moderado. Su incorporación en la consulta permite una reestratificación individualizada y mejora la toma de decisiones clínicas, reforzando el papel de la Atención Primaria en la prevención cardiovascular.
Se trata de una técnica factible en centros con ecografía clínica y formación básica en ecografía vascular, mejora la identificación de pacientes con riesgo infravalorado por las escalas tradicionales, permite una intervención preventiva más precisa y personalizada y potencia el papel del médico de Atención Primaria en la detección precoz del daño vascular.



