X Jornadas de Actualización en Medicina de Urgencias y VI Jornadas de Ecografía de la semFYC
6-7-8 de febrero de 2025
Atención Primaria.
Molestias digestivas.
Antecedentes personales relevantes, anamnesis, exploración física y lugar que ocupa en ella la ecografía
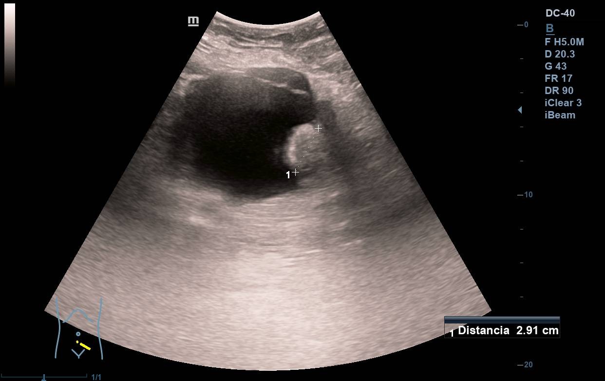
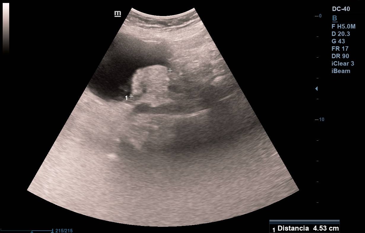
La paciente consulta en enero de 2022 por molestias abdominales siendo la exploración normal, por lo que se solicita una ecografía abdominal reglada que se demora 4 meses. En ella el radiólogo describe «una tumoración sólida de 5 cm de base por 2,5 cm de proyección intraluminal en la cara posterolateral izquierda vesical, de contornos muy homogéneos. Podría tratarse de un leiomioma de la pared vesical, pero no se puede descartar tumoración transicional agresiva».
Se realiza entonces la derivación a Urología, que solicita RTU + TAC abdominopélvico.
Descripción de los hallazgos ecográficos y las imágenes más relevantes para la resolución del caso
Paralelamente realizamos una nueva ecografía en Atención Primaria con intención formativa, objetivando entonces de manera inesperada que la vejiga, bien replecionada, no presenta lesiones en su interior. Por el contrario, al bascular el transductor se observa una tumoración dependiente de ovario izquierdo, que, sin valorar adecuadamente la proyección, podría parecer ser intravesical.
Otras pruebas complementarias realizadas (si existen)
Con estos resultados escribimos una e-consulta a Urología para valorar la realización de un TAC previo a la RTU programada. En este escáner se evidencia entonces una «neoplasia estenosante en colon descendente. Lesión quística con polo sólido en pelvis menor, sugerente de neoplasia primaria anexial. Lesión quística suprarrenal derecha en probable relación con metástasis».
Juicio clínico, diagnóstico diferencial, concordancia con el hospital (en su caso)
Adenocarcinoma de colon metastásico. Resección de metástasis de adenocarcinoma enteroide de 5 x 4 cm sobre cistoadenoma seroso en ovario izquierdo.
Decisiones adoptadas: tratamiento, planes de actuación
La paciente es intervenida quirúrgicamente, precisando colostomía, y se realiza anexectomía bilateral en un mismo tiempo en la cual se confirma que existía una metástasis de adenocarcinoma enteroide de 5x4 cm sobre cistoadenoma seroso. Posteriormente también recibió ciclos de quimioterapia.
Evolución y seguimiento
Dos años después la paciente se encuentra libre de enfermedad, pendiente de cirugía para reconstrucción de tránsito.
La ecografía en Atención Primaria sirvió para reconducir las pruebas complementarias al reorientar el diagnóstico inicial formulado por Radiología.
La demora para la ecografía reglada puede ser paliada por la realización temprana de ecografías en Atención Primaria.

