X Jornadas de Actualización en Medicina de Urgencias y VI Jornadas de Ecografía de la semFYC
6-7-8 de febrero de 2025
Urgencias hospitalarias.
Dolor abdominal súbito en fosa ilíaca izquierda.
Enfoque individual: antecedentes personales, anamnesis, exploración, pruebas complementarias, etc.
Paciente de 50 años, sin antecedentes médicos relevantes, acude a urgencias por dolor abdominal súbito en fosa ilíaca izquierda. Antecedente reciente de cólico nefrítico izquierdo, sin mejoría tras tratamiento. Presenta distensión abdominal postprandial, disminución del apetito y diarrea de dos semanas, sin fiebre, sin pérdida de peso, ni vómitos. Niega alteraciones menstruales o posibilidad de embarazo.
En urgencias: hemodinámicamente estable. Dolor a la palpación media en fosa ilíaca izquierda, con defensa y rebote positivo. La analítica muestra leucocitosis sin otras alteraciones significativas.
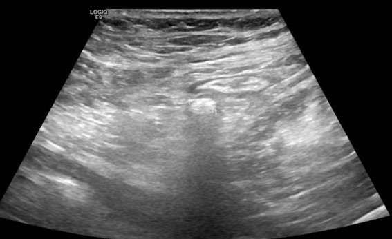
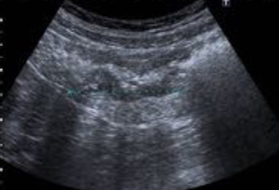
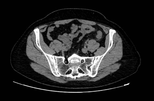
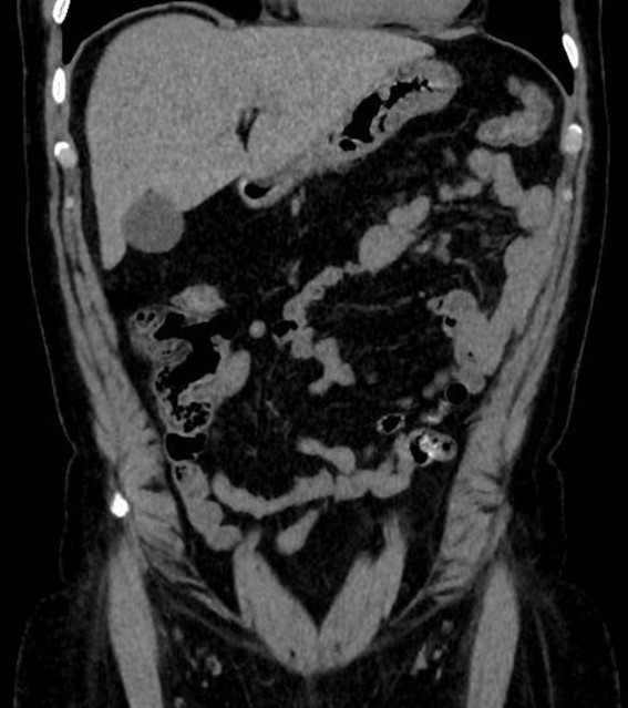
Ante la sospecha de cólico nefrítico complicado, se realiza ecografía abdominal, que muestra en fosa ilíaca izquierda, un foco ecogénico con sombra acústica posterior y engrosamiento de la pared intestinal de 6 mm. Se confirma mediante tomografía computarizada la presencia de divertículos en el colon izquierdo, con un divertículo engrosado entre el colon descendente y sigma, y discretos cambios inflamatorios pericólicos. Con mínimo líquido en la gotiera adyacente, sin colecciones ni burbujas de gas extraluminal.
Enfoque familiar y comunitario: estudio de la familia y la comunidad (si fuese necesario)
No es necesario.
Juicio clínico, diagnóstico diferencial, identificación de problemas
Diverticulitis aguda no complicada.
Cólico nefrítico
Síndrome intestino irritable
Cáncer colorrectal
Tratamiento y planes de actuación.
Se trató ambulatoriamente como una diverticulitis aguda no complicada, con medidas higiénicodietéticas, analgesia habitual y doble esquema de antibioticoterapia con metronidazol y ciprofloxacino durante 10 días.
Evolución
Durante el seguimiento ambulatorio, la paciente evolucionó favorablemente, sin fiebre ni complicaciones. El dolor y la distensión abdominal mejoraron tras 48 horas de tratamiento. No hubo nuevos episodios de diarrea ni alteraciones del apetito. Se recomendó dieta equilibrada y evitar el estreñimiento. Continúa en seguimiento por cirugía, sin necesidad de intervención urgente.
Este caso subraya la importancia de una anamnesis completa y exploración física, que aunque no definitivas, ayudan a orientar el diagnóstico diferencial. Aunque diagnósticos comunes como el cólico nefrítico son frecuentes, es crucial no descartar otras patologías que podrían complicarse sin tratamiento adecuado. La ecografía, como herramienta inicial, permitió detectar signos de diverticulitis aguda no complicada, orientando el diagnóstico y tratamiento. Complementada por la tomografía computarizada, la ecografía demostró ser útil en el dolor abdominal localizado, destacando la importancia de un diagnóstico integral y el uso adecuado de herramientas disponibles.



