X Jornadas de Actualización en Medicina de Urgencias y VI Jornadas de Ecografía de la semFYC
6-7-8 de febrero de 2025
Urgencias.
Dolor renoureteral.
Enfoque individual: antecedentes personales, anamnesis, exploración, pruebas complementarias, etc.
Hombre de de 73 años que acude a consulta de urgencias por dolor en fosa renal derecha desde hace 2 semanas irradiado hacia hemiabdomen derecho. En ese contexto pérdida de control de esfínter con escapes de orina especialmente nocturnos. Refiere además desde hace dos meses dificultad para el inicio de la micción, polaquiuria y nicturia asociadas sin disuria. Sin fiebre ni sensación distérmica en domicilio. No otra clínica por sistemas o aparatos.
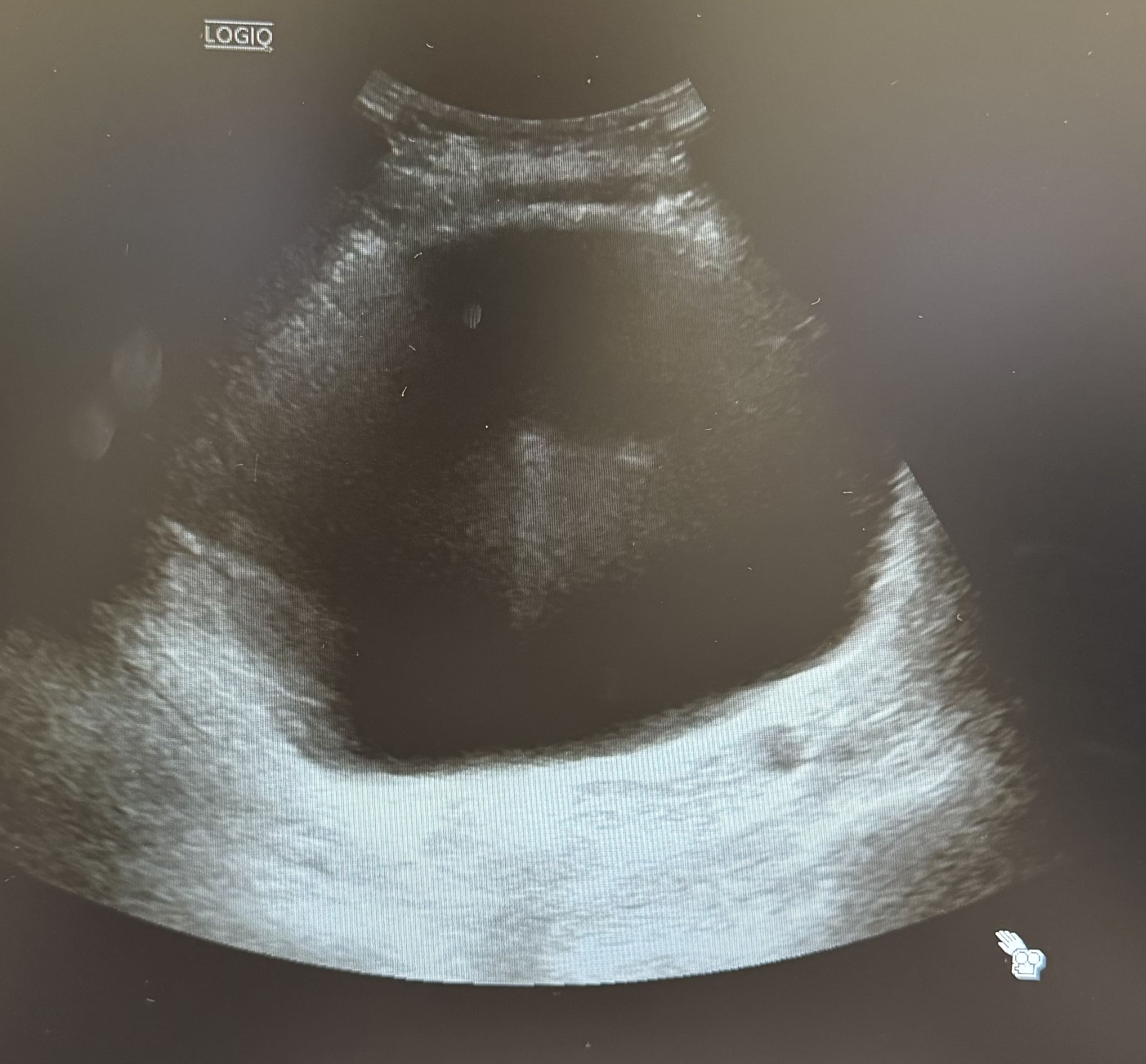
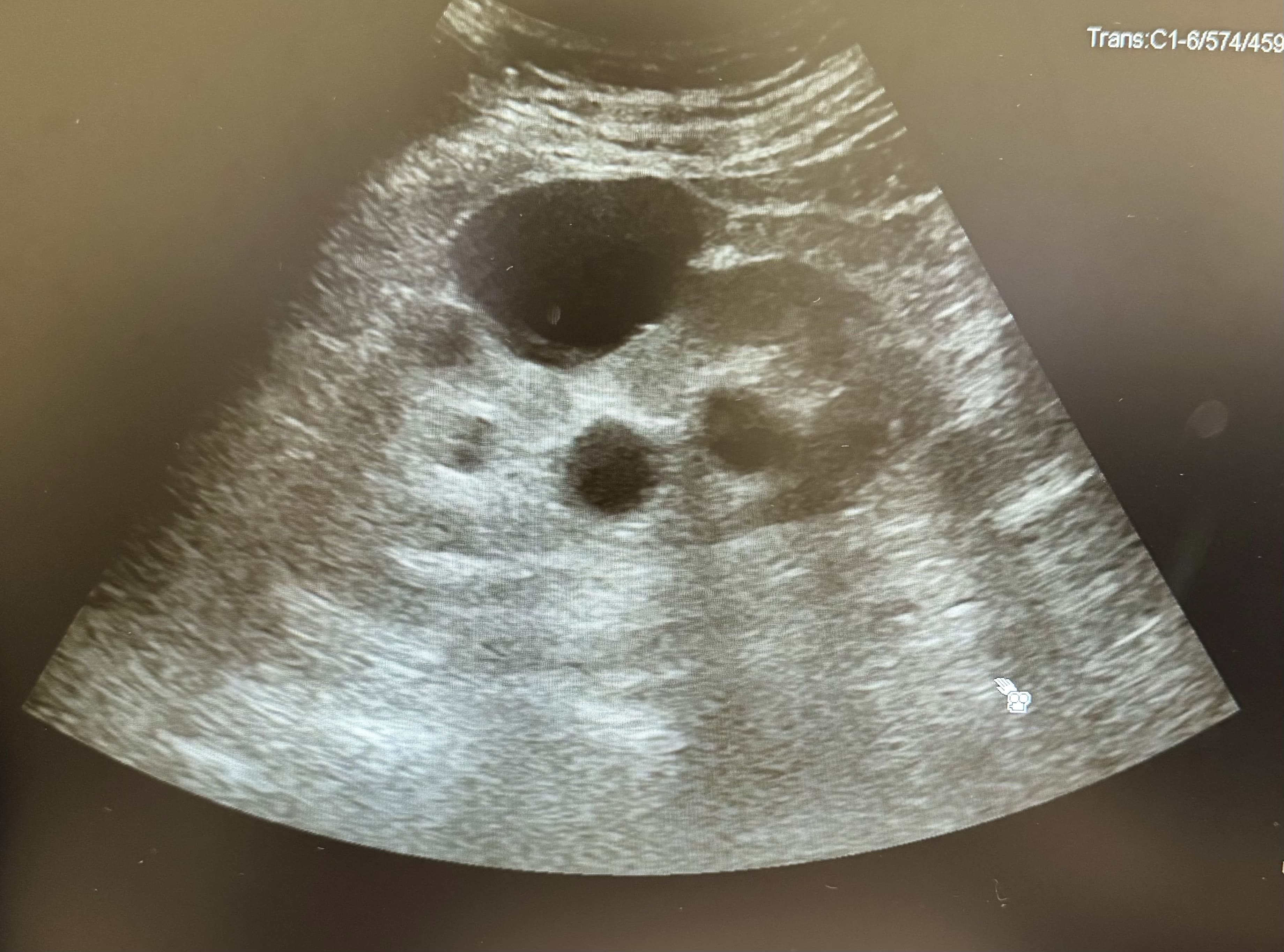
Abdomen: masa en suprapúbica dolorosa a la palpación, no signos de irritación peritoneal, puñopercusión bilateral negativa.
Enfoque familiar y comunitario: estudio de la familia y la comunidad (si fuese necesario)
No.
Juicio clínico, diagnóstico diferencial, identificación de problemas
Tratamiento y planes de actuación.
Se sonda al paciente con salida de 500 ml. Se pauta fluidoterapia y control posterior del potasio 5,2 mmol/L.
Evolución
Ingreso hospitalario para control de la función renal.
La ecografía POCUS es una herramienta de gran valor en situaciones de emergencia y en el ámbito de la medicina de familia. Su uso permite un diagnóstico rápido de la retención urinaria, la evaluación del estado renal (hidronefrosis) y la identificación de la causa subyacente (hipertrofia prostática). Además, facilita intervenciones inmediatas y permite el seguimiento continuo en pacientes con enfermedades crónicas del tracto urinario.


