V Jornadas de Ecografía de la semFYC

9 y 10 de febrero de 2024

Comunicaciones: Casos clínicos

Ecografía ocular, un vistazo rápido (póster)

Ámbito del caso

Urgencias hospitalarias.

Motivos de consulta

Disminución brusca de la visión.

Historia clínica

Enfoque individual

Paciente sin factores de riesgo cardiovascular. Antecedente personal: desprendimiento de vítro de ojo izquierdo. 
Anamnesis: paciente varón de 62 años que acude a urgencias por disminución brusca de la visión del ojo derecho de horas de evolución. Refiere fotopsias y posteriormente visión borrosa. Describe clínica similar al cuadro previo de desprendimiento vítro de ojo izquierdo.
No refiere traumatismos, no cefalea acompañante. No pérdida completa de visión.

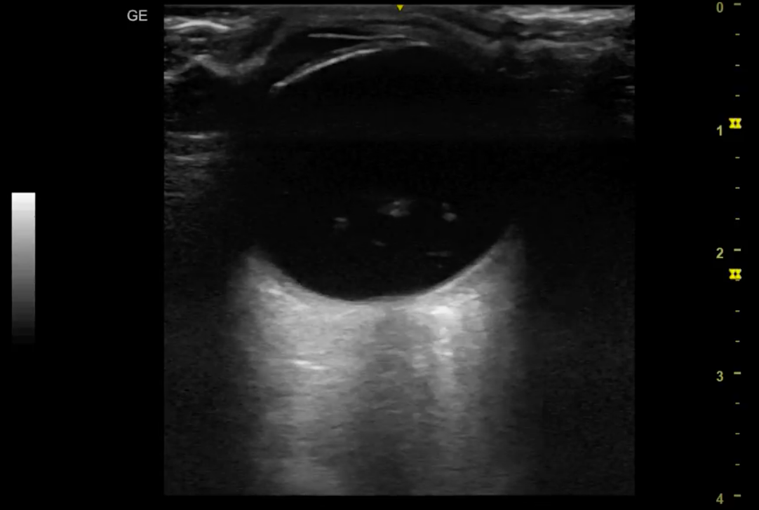
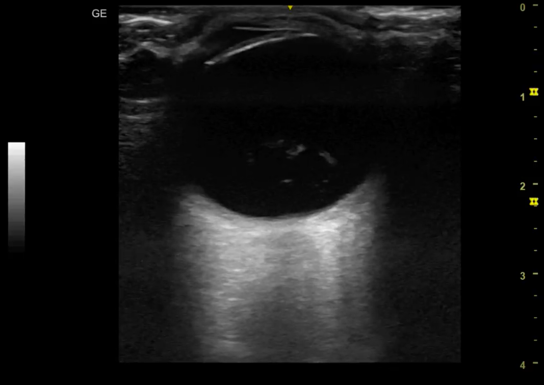
Hallazgos ecográficos

Se realiza ecografía ocular no reglada, donde se objetiva globo ocular anecoico con contenido heterogéneo hiperecogénico en polo posterior. Realce acústico posterior.

Pruebas complementarias

No se realizan otras pruebas complementarias.

Juicio clínico, diagnóstico diferencial, identificación de problemas

Desprendimiento de vítreo.

Tratamiento y planes de actuación

Tras el hallazgo ecográfico, se comenta el caso con Oftalmología de urgencias. Confirmar el desprendimiento de vítro del ojo derecho.

Evolución

El paciente realiza seguimiento por parte de Oftalmología.

Conclusiones (y aplicabilidad para la Medicina de Familia)

El uso de la ecografía ocular nos permite discernir entre los distintos tipos de desprendimiento en patología ocular, siendo una prueba rápida y con escasas contraindicaciones. Con este caso nos gustaría resaltar la variabilidad de procesos que se pueden valorar con una ecografía a pie de cama, destacando la inocuidad de la prueba. 
La práctica continuada d eesta técnica y la formación en la misma, puede disminuir el número de derivaciones y descartar patología urgente que evite desplazamientos innecesarios para el paciente o celeridad si el proceso lo requiere. 
Creemos que es una prueba que debería estar ampliamente extendida dada su versatilidad en consultas programadas como en urgencias.
 
 
 
 
 

Comunicaciones y ponencias semFYC: 2026; Comunicaciones: Casos clínicos. ISSN: 2339-9333

Autores

Medina García, Begoña
Hospital De Riotinto. Huelva
De Cos Maestre, Esperanza
Hospital De Riotinto. Huelva
Saldaña Ortiz, Luis Alfonso
Hospital De Riotinto. Huelva