X Jornadas de Actualización en Medicina de Urgencias y VI Jornadas de Ecografía de la semFYC
6-7-8 de febrero de 2025
Antecedentes personales relevantes, anamnesis, exploración física y lugar que ocupa en ella la ecografía
Antecedentes personales:
Hipertensión, diabetes mellitus tipo 2, dislipemia, obesidad, enfermedad renal crónica.
Tratamiento habitual:
Mujer de 78 años, acude a urgencias por hiperglucemia de 209 mg/dL y prurito. Se aumenta gliclazida a 60 mg/24 h y se pauta ebastina.
Posteriormente, acude a nuestra consulta por síndrome constitucional y glucemias elevadas.
Exploración física:
Tinte ictérico.
Auscultación cardiopulmonar: rítmica, murmullo vesicular conservado.
Abdomen blando, no doloroso.
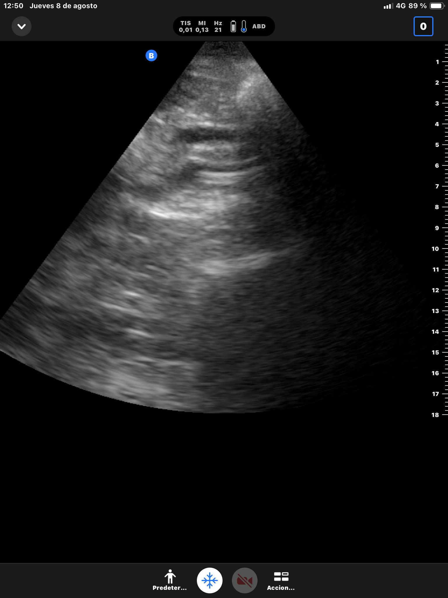
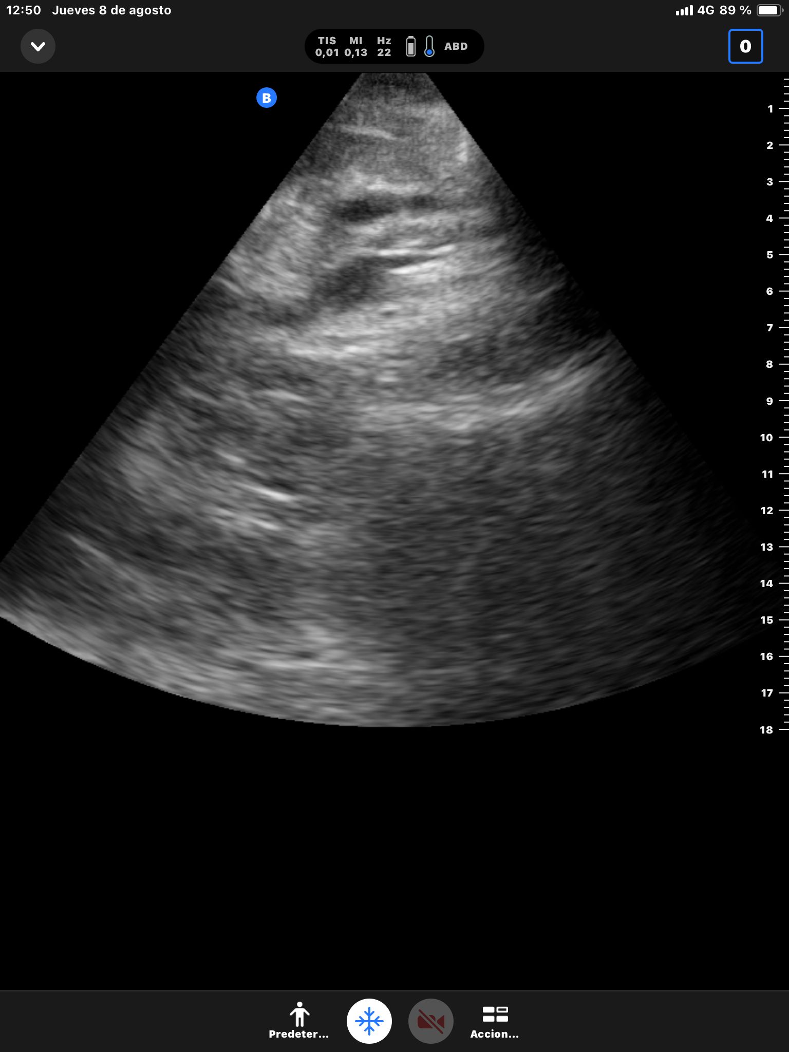
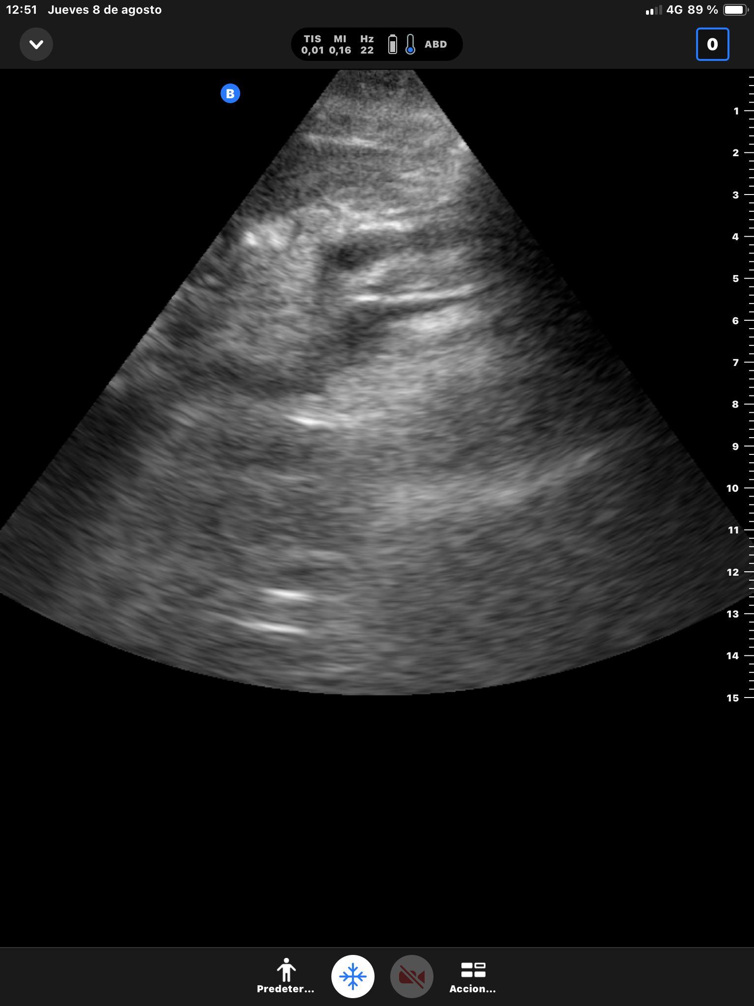
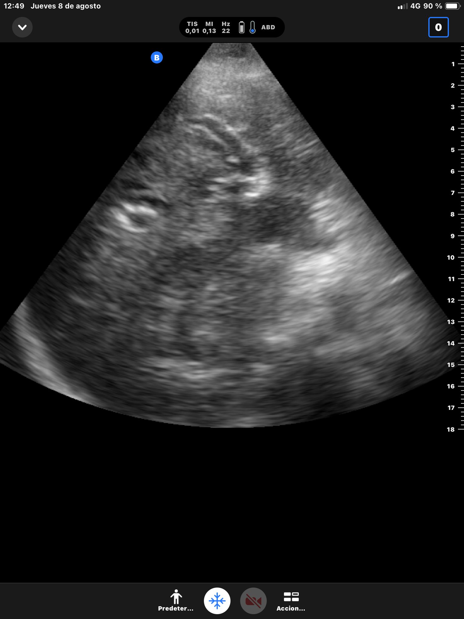
Se realiza ecografía abdominal.
Descripción de los hallazgos ecográficos y las imágenes más relevantes para la resolución del caso
Hígado sin LOEs. Vesícula biliar con hidrops (58 mm), dilatación del colédoco (10 mm). Páncreas hiperecogénico, atrófico, Wirsung de 76 mm.
Otras pruebas complementarias realizadas (si existen)
Analítica 29/07/2024: Glucemia 251 mg/dL. Bilirrubina 3,6 mg/dL (directa 2,7). GOT 257. GPT 300. GGT 1150. LDH 231. Hb glicada 10,59%.
Juicio clínico, diagnóstico diferencial, concordancia con el hospital (en su caso)
Juicio clínico: Obstrucción del conducto biliar común y pancreático en posible relación a proceso neoformativo de páncreas.
Diagnóstico diferencial: atresia biliar, colestasis intrahepática, adenoma papilar de la vía biliar y síndrome de Mirizzi.
Se deriva al hospital.
Decisiones adoptadas: tratamiento, planes de actuación
Durante el ingreso se solicitan:
TC TORAX
Lesiones nodulares milimétricas en el pulmón derecho.
TC ABDOMEN
Dilatación de la vía biliar intrahepática con colédoco dilatado y atrapado por un área hipocaptante sobre la cabeza del páncreas. Atrofia del páncreas con dilatación del conducto de Wirsung que presenta calibres de hasta 8 mm con afilamiento o en el área de la cabeza pancreática. 
Ictericia obstructiva de probable origen tumoral (neoformación cabeza páncreas)
Deciden intervención quirúrgica y añaden Insulina, Colestiramina 4 g/8 h y Dexclorferinamina 2 g/24 h.
Evolución y seguimiento
Se realiza duodenopancreatectomía cefálica informada como adenocarcinoma ductal con extensión a colédoco, duodeno y tejido graso. Metástasis en ganglios linfáticos regionales e invasión linfovascular y perineural.
Inmunohistoquímica: MLH-1, PMS-2, MSH-2 y MSH-6 +.
En tratamiento con QT y pendiente de radioterapia. 
El cáncer de páncreas es una enfermedad altamente letal, caracterizada por su agresividad y su diagnóstico generalmente en etapas avanzadas, lo que contribuye a su mal pronóstico.
El diagnóstico se realiza mediante TAC y ecografía endoscópica con aspiración con aguja fina. La resección quirúrgica es la única opción potencialmente curativa, pero solo es la minoría. Para los casos avanzados, las combinaciones de quimioterapia son los tratamientos estándar.
Importancia de la sospecha en nuestras consultas de Atención Primaria para conseguir un diagnóstico precoz y un aumento de la supervivencia.



