X Jornadas de Actualización en Medicina de Urgencias y VI Jornadas de Ecografía de la semFYC
6-7-8 de febrero de 2025
Atención Primaria.
Dolor abdominal en hipocondrio derecho.
Antecedentes personales relevantes, anamnesis, exploración física y lugar que ocupa en ella la ecografía
Paciente mujer, con antecedentes de HT y dislipemia, en tratamiento con enalapril 25 mg cada 24 h.
Refiere que desde hace una semana presenta dolor en hipocondrio derecho, que irradia a epigastrio y zona escapular derecha. El dolor se agudiza tras la ingesta y se acompaña de náuseas y algún episodio puntual de vómitos. No refiere fiebre ni ictericia. Ya presentó episodios similares hace 2 meses, que se autolimitaron, en relación con transgresiones dietéticas. No refiere otro tipo de clínica por aparatos. En tratamiento sintomático con Paracetamol 1 g a demanda, con discreta mejora del cuadro. En la exploración física, el paciente se encuentra normotenso y afebril. No ictérico. Presenta una auscultación cardíaca y pulmonar anodina. En la exploración abdominal presenta un abdomen blando y depresible, sin masas ni megalias, doloroso a la palpación en hipocondrio derecho, tiene los ruidos preservados, Murphy y PPL negativos.
Se solicita ecografía abdominal para descartar presencia de litiasis.
Descripción de los hallazgos ecográficos y las imágenes más relevantes para la resolución del caso
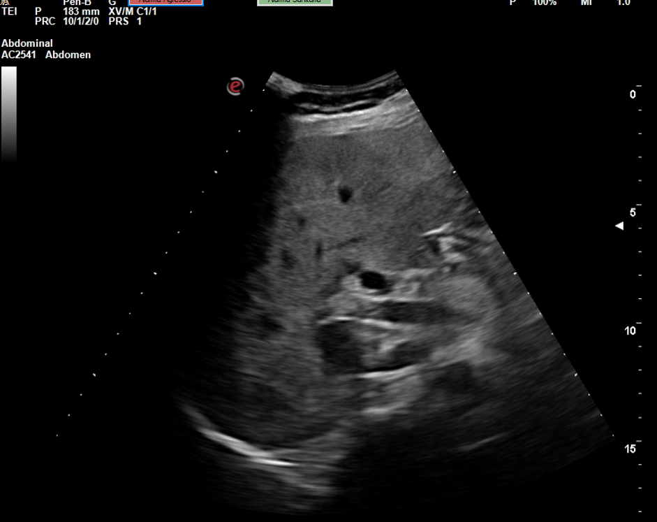
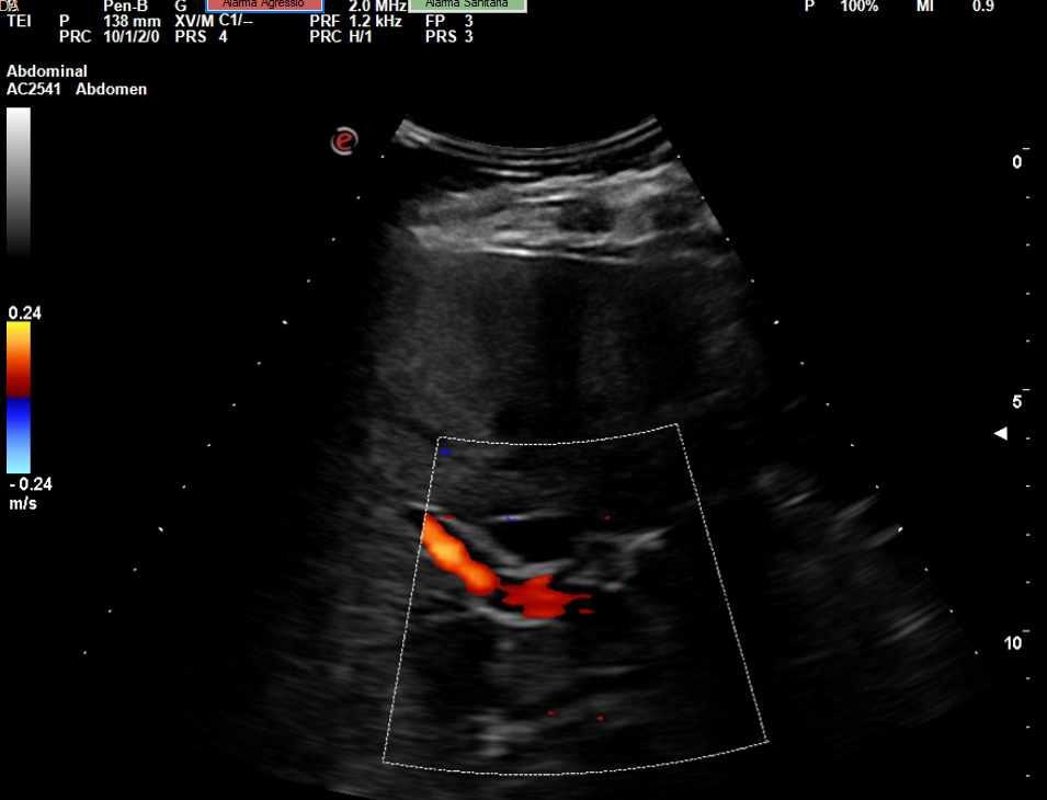
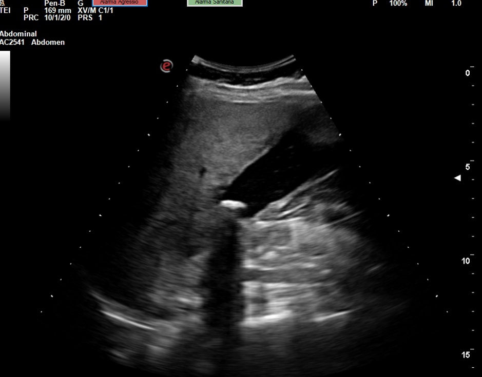
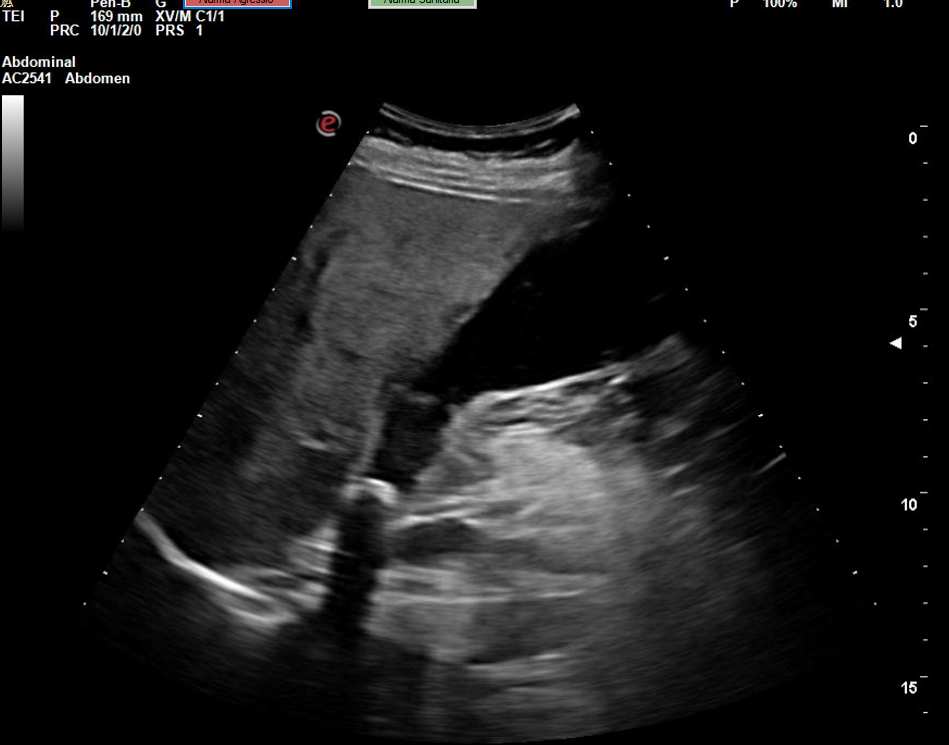
Se realiza la ecografía abdominal en el ambulatorio, donde se objetiva colelitiasis con el colédoco en el límite superior de la normalidad (4,4 mm), también presenta esteatosis hepática grado I. El resto de la ecografía no presenta hallazgos de interés.
Otras pruebas complementarias realizadas (si existen)
Se realiza una analítica donde no presenta alteraciones en el hemograma, presenta función renal conservada con ionograma en rango. No presenta elevación de RFA ni alteración del perfil hepático.
Juicio clínico, diagnóstico diferencial, concordancia con el hospital (en su caso)
Colelitiasis con colédoco en el límite de la normalidad.
Decisiones adoptadas: tratamiento, planes de actuación
Se ajusta tratamiento analgésico y se dan normas higiénico-dietéticas y se deriva a cirugía para valoración.
Evolución y seguimiento
Por el momento, la paciente está pendiente de visita con cirugía y no ha vuelto a reconsultar.
Por el momento, la paciente está pendiente de visita con cirugía y no ha vuelto a reconsultar.



