V Jornadas de Ecografía de la semFYC

9 y 10 de febrero de 2024

Comunicaciones: Casos clínicos

Ecografía en domicilio (oral)

Ámbito del caso

Atención Primaria.

Motivos de consulta

Fiebre y dolor costal.

Historia clínica

Enfoque individual

Varón de 95 años exfumador e hipertrofia benigna de próstata, en tratamiento con tamsulosina. Buena capacidad cognitiva con limitación de movilidad por edad y ausencia de ascensor. Aviso a domicilio por catarro de vías altas de 3 días, febrícula de 37,5 ºC desde el día anterior y dolor costal derecho con la tos y movimientos respiratorios. Tiene buen estado general, saturación 95% y en auscultación hipoventila en campo inferior derecho. Se realiza en domicilio ecografía pulmonar con ecógrafo portátil (imagen 1).

Hallazgos ecográficos

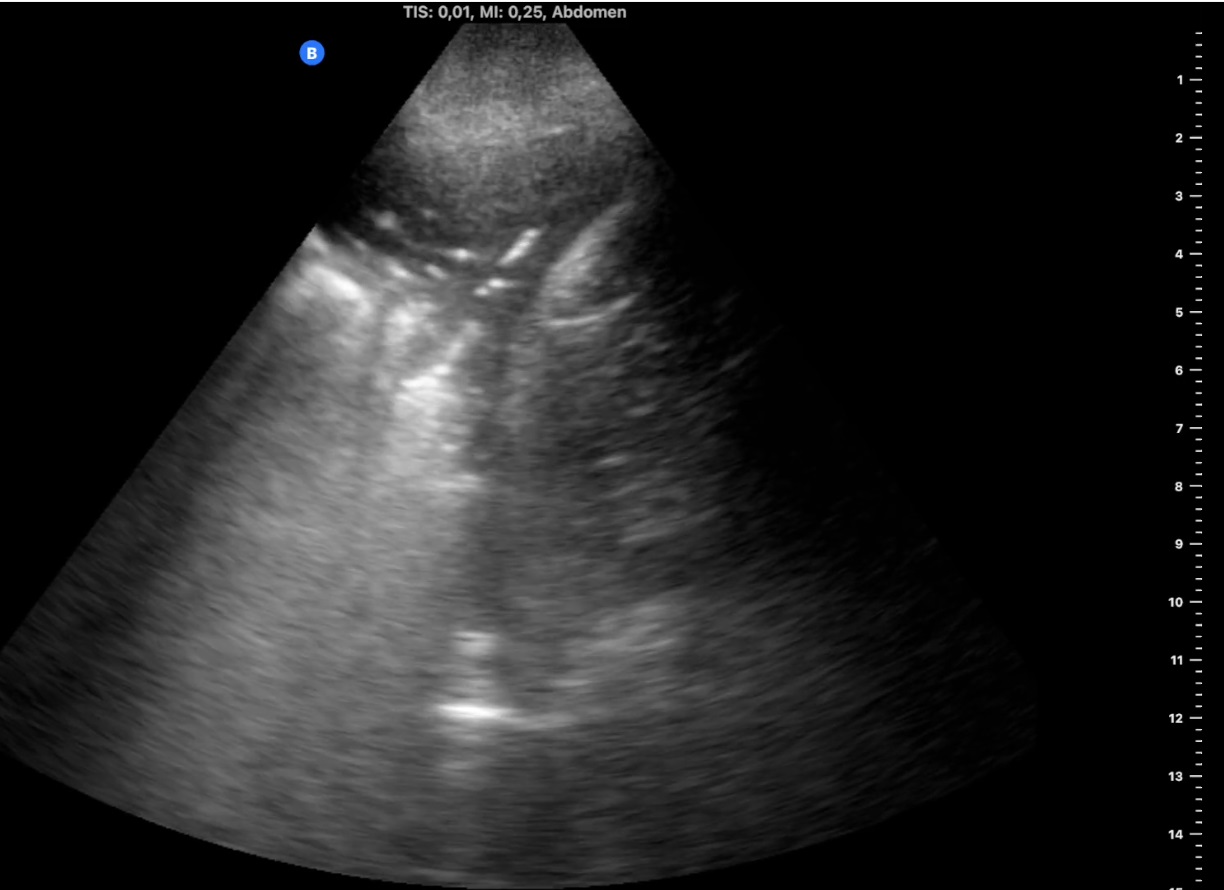
Consolidación con broncograma aéreo de 4 x 2 cm en campo posterolateral inferior derecho con leve derrame pleural adyacente al diafragma, y líneas B alrededor de la consolidación (imagen 2).

Pruebas complementarias

Se decide no realizar más pruebas para evitar traslados.

Juicio clínico, diagnóstico diferencial, identificación de problemas

Neumonía adquirida en la comunidad no complicada en paciente de riesgo.

Tratamiento y planes de actuación

Se pauta levofloxacino y seguimiento en domicilio.

Evolución

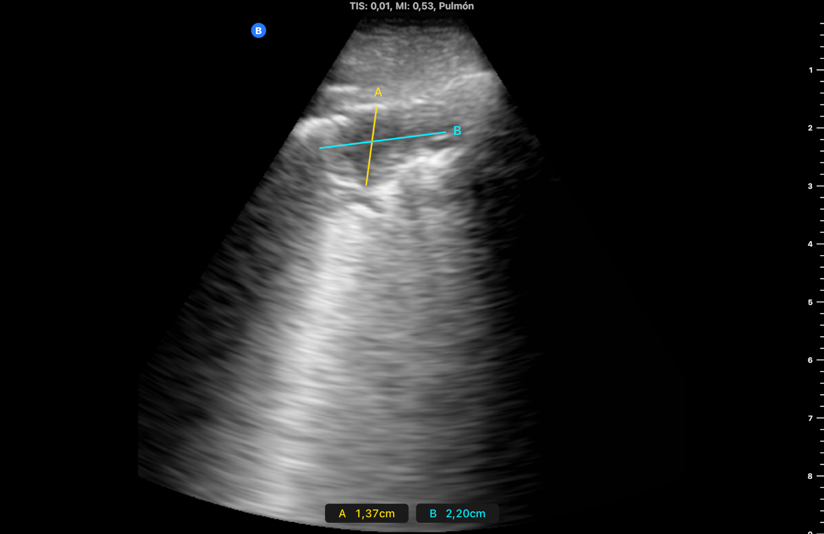
Visita al paciente a los 4 días, manteniendo buen estado general y afebril, con similar imagen ecográfica. Se vuelve a visitar a los 15 días, el paciente está asintomático y en la ecografía ha desaparecido el derrame pleural y la consolidación ha disminuido a 2 x 1,5 cm (imagen 3). A los 2 meses se realiza visita de seguimiento, con mejoría clínica y ecográfica con microconsolidación y líneas B aisladas, pero la familia refiere inflamación desde hace 10 días de la pierna derecha, por lo que se realiza nueva ecografía venosa de MID a nivel inguinal y poplíteo visualizando a este último nivel material ecogénico (imagen 4) y ausencia de compresión. Se inicia tratamiento con heparina a dosis terapéuticas, apoyando el diagnóstico una analítica en domicilio al día siguiente con dímero D de 3769.

Conclusiones (y aplicabilidad para la Medicina de Familia)

La ecografía domiciliaria permite diagnosticar y tratar problemas potencialmente graves como la neumonía y la trombosis venosa profunda, evitando traslados innecesarios de riesgo en pacientes frágiles.
 
 
 
 

Comunicaciones y ponencias semFYC: 2026; Comunicaciones: Casos clínicos. ISSN: 2339-9333

Autores

Ruiz Asensio, Pedro
CS Mar Báltico. Madrid
Torrente Aznar, Miguel Ángel
CS Mar Báltico. Madrid
Marti Brotons, Carla
CS Mar Báltico. Madrid