V Jornadas de Ecografía de la semFYC

9 y 10 de febrero de 2024

Comunicaciones: Casos clínicos

Ecografía en Atención Primaria, a propósito de un caso clínico de nefrolitiasis (póster)

Ámbito del caso

Atención Primaria.

Motivos de consulta

Dolor en fosa renal. 

Historia clínica

Enfoque individual

Varón de 23 años con episodio previo de Cólicos renoureteral de repetición, fue valorado en consulta días previos por mismo dolor con tratamiento analgésico al alta. 
Niega vómitos, no presenta clínica miccional ni fiebre.
A la exploración, abdomen blando sin visceromegalias, ausencia de dolor a la palpación, con puño percusión renal izquierda positiva.
Se le administra AINE vía intramuscular y se le realiza labstix de orina con hallazgo de microhematuria.
Ante la sintomatología susceptible de cólico renoureteral, le realizamos ecografía abdominal a pie de cama en la consulta.

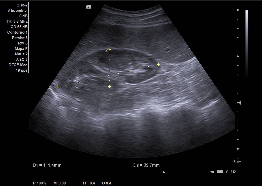
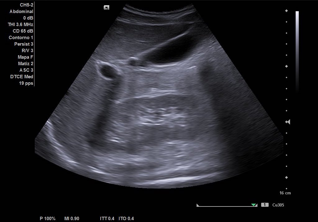
Hallazgos ecográficos

Como hallazgos, observamos dilatación del uréter proximal con hidronefrosis grado II-III. Sin visualización de imágenes compatible con litiasis. Riñón derecho de tamaño y ecoestructura normal sin dilatación de vía excretora. Vejiga vacía y ausencia de liquido libre.

Juicio clínico, diagnóstico diferencial, identificación de problemas

Juicio clínico: Cólico renoutreteral izquierdo con hidronefrosis grado III.
Diagnóstico diferencial: Pielonefritis; dolor de característica osteomuscular.

Tratamiento y planes de actuación

Se deriva a Urgencias Hospitalarias para valoración y tratamiento. Se le realiza analítica sanguínea y de orina sin elevación de reactantes de fase aguda. Se solicita ecografía abdominal reglada, con hallazgos de litiasis en tercio medio de uréter izquierdo que condiciona hidronefrosis retrógrada grado III por lo que se contacta con Urólogo de guardia que cita en consultas externas para valoración.

Evolución

Tras ser valorado por Urólogo se le realiza litotricia y se cita en consulta de Atención Primaria para valorar evolución presentando buen control al alta.

Conclusiones (y aplicabilidad para la Medicina de Familia)

La valoración del sistema nefrourológico es una de las más rentables por su alta prevalencia y por su escasa dificultad para el ojo clínico. 
De este modo, la ecografía puede resultar una herramienta clave en el manejo de Urgencias en Atención Primaria. Desde el punto de vista ecográfico, nos resulta fundamental en casos como el de nuestro paciente, conocer si hay una causa obstructiva que desencadene el dolor y produzca dilatación de la vía excretora, para derivar a Urgencias Hospitalarias.
 
 
 
 
 

Comunicaciones y ponencias semFYC: 2026; Comunicaciones: Casos clínicos. ISSN: 2339-9333

Autores

Fuentes Almagro, Hortensia
CS Isaac Peral. Cartagena
Carrasco Claros, Sara
CS Mazarrón. Cartagena
Rodriguez Garcia, Beatriz
CS Casco Antiguo. Cartagena
Zapata Pérez, Amparo
CS Isaac Peral. Cartagena