Comunicaciones: Casos clínicos

Ecografía como game changer en Atención Primaria: resolución de un bulto subcutáneo sin derivaciones (póster)

Ámbito del caso

Atención Primaria.

Motivos de consulta

Hombre de 39 años que consulta por crecimiento de bulto en espalda con acompañamiento de dolor y molestias. Ya padecía dicho bulto desde hace varios meses, pero se ha notado crecimiento en el último mes. Hace mes y medio sufre golpe accidental en zona cercana.

Historia clínica

Enfoque individual

Sin antecedentes de interés. Deportista.
No alergias medicamentosas conocidas. 
En exploración física se palpa bulto en zona dorsal, redondeado, bien delimitado de unos 10 cm de diámetro aproximadamente, blando y móvil bajo la piel. No muestra signos de infección en el momento actual. 
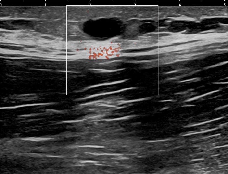
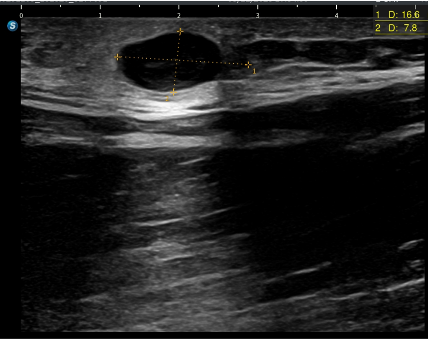
Se complementa exploración física con ecografía en consulta de Atención Primaria. 

Hallazgos ecográficos

Lesión hipoecogénica de unos 13 x 9 mm, bien delimitada con refuerzo acústico y artefacto de borde compatible con quiste epidérmico.

Pruebas complementarias

No existieron.

Juicio clínico, diagnóstico diferencial, concordancia con el hospital (en su caso)

Juicio clínico: Quiste epidérmico.
Diagnóstico diferencial: Lipoma, quiste dermoide, tofo, forúnculo, absceso subcutáneo, dermatofibroma, hematoma subcutáneo, tumores de partes blandas.
Concordancia en este caso con Anatomía Patológica al 100%.

Tratamiento, planes de actuación

Se planifica cirugía menor en Atención Primaria y se extirpa una vez localizado el pedículo vascular para evitar sangrado. Se envía material extirpado a anatomía patológica con resultado de quiste epidérmico.

Evolución

Se extirpó la lesión sin incidencias hasta la actualidad. 

Conclusiones y aplicabilidad para la medicina de familia

La ecografía en la consulta de Atención Primaria permite obtener información diagnóstica inmediata como nos muestra el caso clínico. Esto ayuda a mejorar la toma de decisiones, aumentar la capacidad resolutiva en la consulta sin necesidad de realizar derivaciones evitables.
 
 

Comunicaciones y ponencias semFYC: 2026; Comunicaciones: Casos clínicos. ISSN: 2339-9333

Autores

Gómez-Pardo Torres, Cristina
CS Madridejos. Toledo
Callejas Rodríguez, Jonatan
CS Puebla de Almoradiel. Toledo