V Jornadas de Ecografía de la semFYC
9 y 10 de febrero de 2024
Enfoque individual
Varón de 70 años que consulta por gonalgia derecha tras traumatismo hace días y no mejoría de dolor. EF: Derrame articular, no hematoma, no dolor a la palpación de interlínea articular, cajón anterior y posterior negativo, bostezo en varo positivo. Se realiza ecografía para valoración tendinosa.
Hallazgos ecográficos
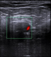
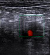
En ecografía clínica realizada por dolor de rodilla derecha se aprecia en región posterior vena poplítea que no comprime. En modo Doppler: defecto de repleccion del vaso por probable trombo intraluminal.
Pruebas complementarias
Analítica: Dimero D 5371.
Doppler miembro inferior derecho: Ocupación de vena poplítea por material ecogénico, no permeable ni compresible, sin flujo doppler presente. Venas femoral común, superficial y troncos infrapoplíteos permeables y compresibles. Safena mayor y ambos cayados permeables y compresibles. Conclusión: TVP vena poplítea derecha.
Juicio clínico, diagnóstico diferencial, identificación de problemas
TVP de vena poplítea derecha.
Diagnóstico diferencial: lesión meniscal, lesión ligamento lateral externo.
Tratamiento y planes de actuación
Se deriva a urgencias hospitalarias donde se propone ingreso en planta de Medicina Interna para estudio e inicio de anticoagulación con heparina de bajo peso molecular (HBPM).
Evolución
Estable y asintomático durante su estancia en planta, sin edema, dolor ni tumefacción de la pierna afecta. No síntomas respiratorios. Se inicia HBPM con buena tolerancia y se plantean opciones de anticoagulación a largo plazo, optando por continuar con HBPM. Es alta para seguimiento en consultas externas.
La ecografía por parte del Médico de Atención Primaria en el caso de la TVP se trata de una prueba rápida e inocua que permite el diagnostico precoz así como tratamiento de esta patología potencialmente grave.
