5, 6 y 7 de febrero de 2026
Atención Primaria y Servicios de Urgencias.
Síndrome general.
Enfoque individual
Hombre, 67 años. Ex-fumador desde marzo de 2025. Previamente fumador de 20 cigarrillos/día (IPA 54 paquetes/año).
Antecedentes personales: DM2, HTA.
Acude por síndrome general (astenia con tendencia al encamamiento, anorexia y pérdida de 6 kg de peso) de 15 días de evolución. Asocia diarrea sin sangre ni productos patológicos desde hace 5 días. Náuseas, sin vómitos. No fiebre. Disnea de medianos esfuerzos y tos irritativa de 2 meses de evolución.
Exploración física: mal estado general. Auscultación cardiopulmonar normal. SatO2 98%. Abdomen con hepatomegalia dolorosa.
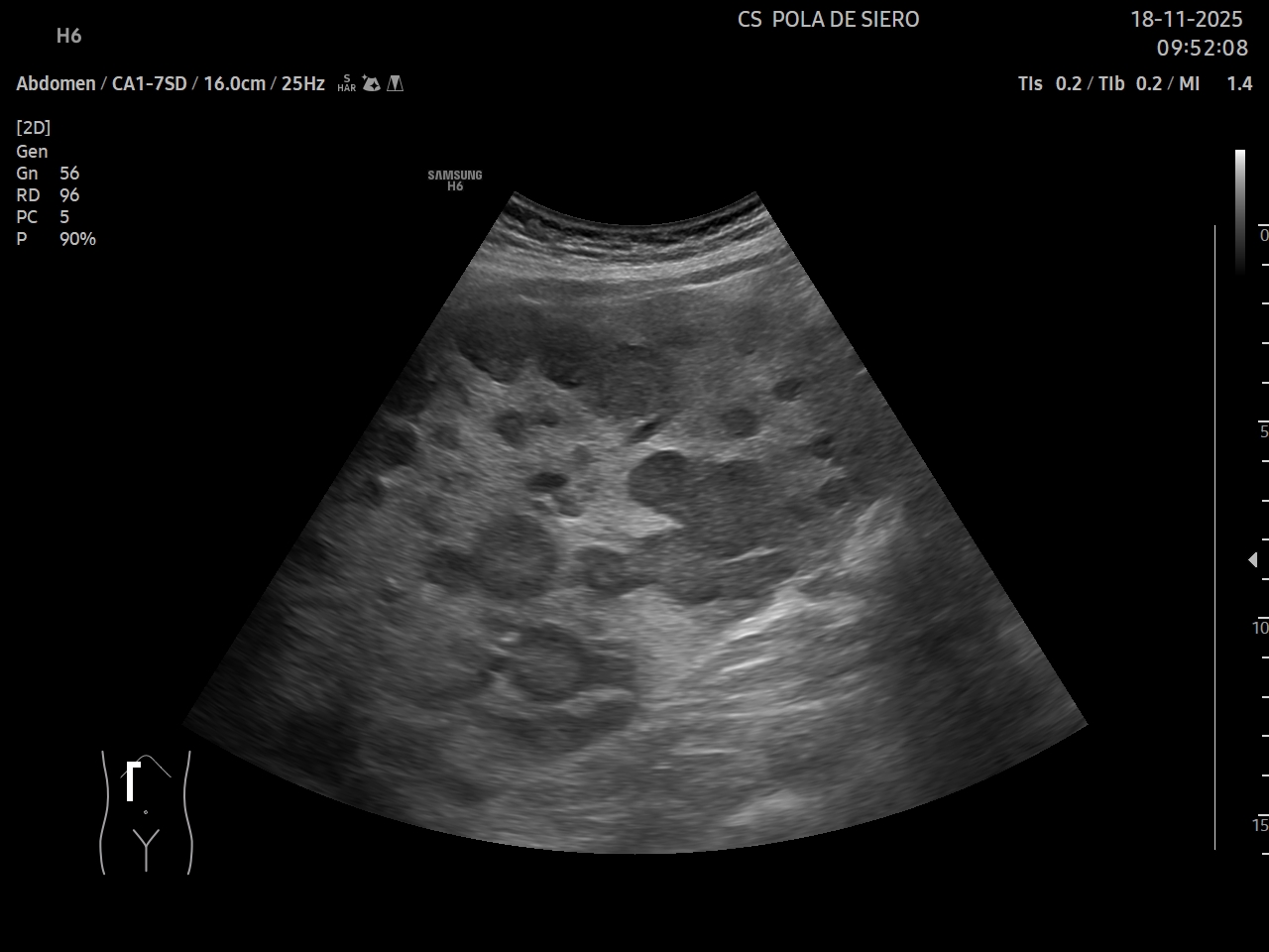
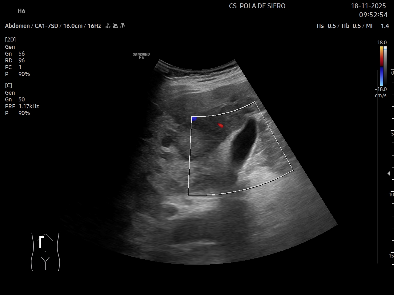
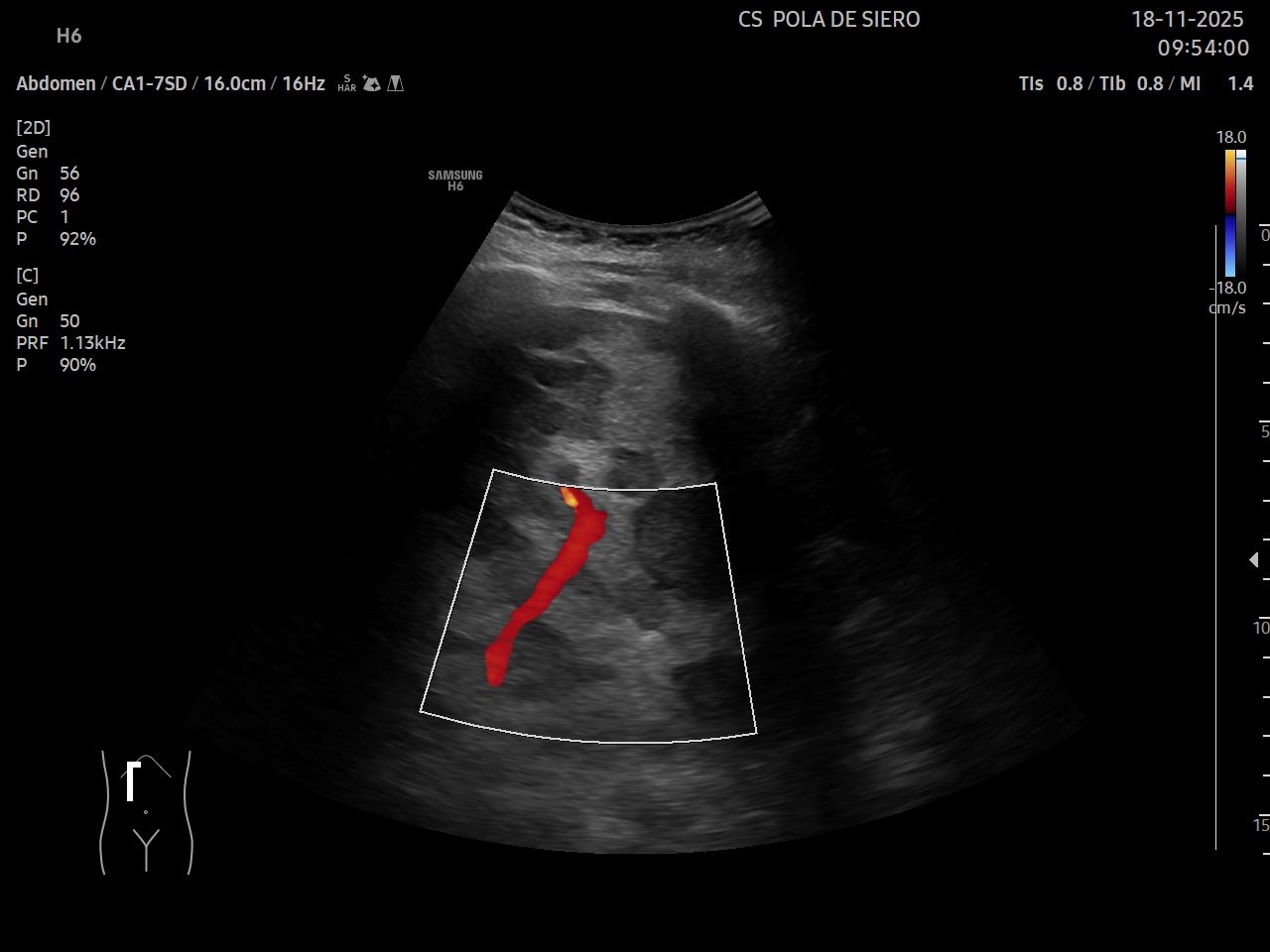
Ecografía clínica: múltiples imágenes hipoecoicas que afectan todo el parénquima hepático, vesícula alitiásica. Porta desplazada, permeable. Flujo hepatópeto y riñones normales. Bazo de tamaño normal. Vejiga no replecionada. No líquido libre.
Enfoque familiar y comunitario
Sin antecedentes familiares de interés
Juicio clínico, diagnóstico diferencial, identificación de problemas
Juicio clínico: metástasis hepáticas múltiples.
Diagnóstico diferencial: adenomas hepáticos múltiples; hepatocarcinoma multifocal.
Tratamiento y planes de actuación
Se deriva al Servicio de Urgencias hospitalarias donde se realiza analítica de sangre sin alteraciones salvo discreta elevación de pruebas de función hepáticas (ALT 132 U/L, AST 212 U/L, Bilirrubina total 1,8 mg/dL, bilirrubina directa 1,6 mg/dL) y proteína C reactiva: 3 mg/dL.
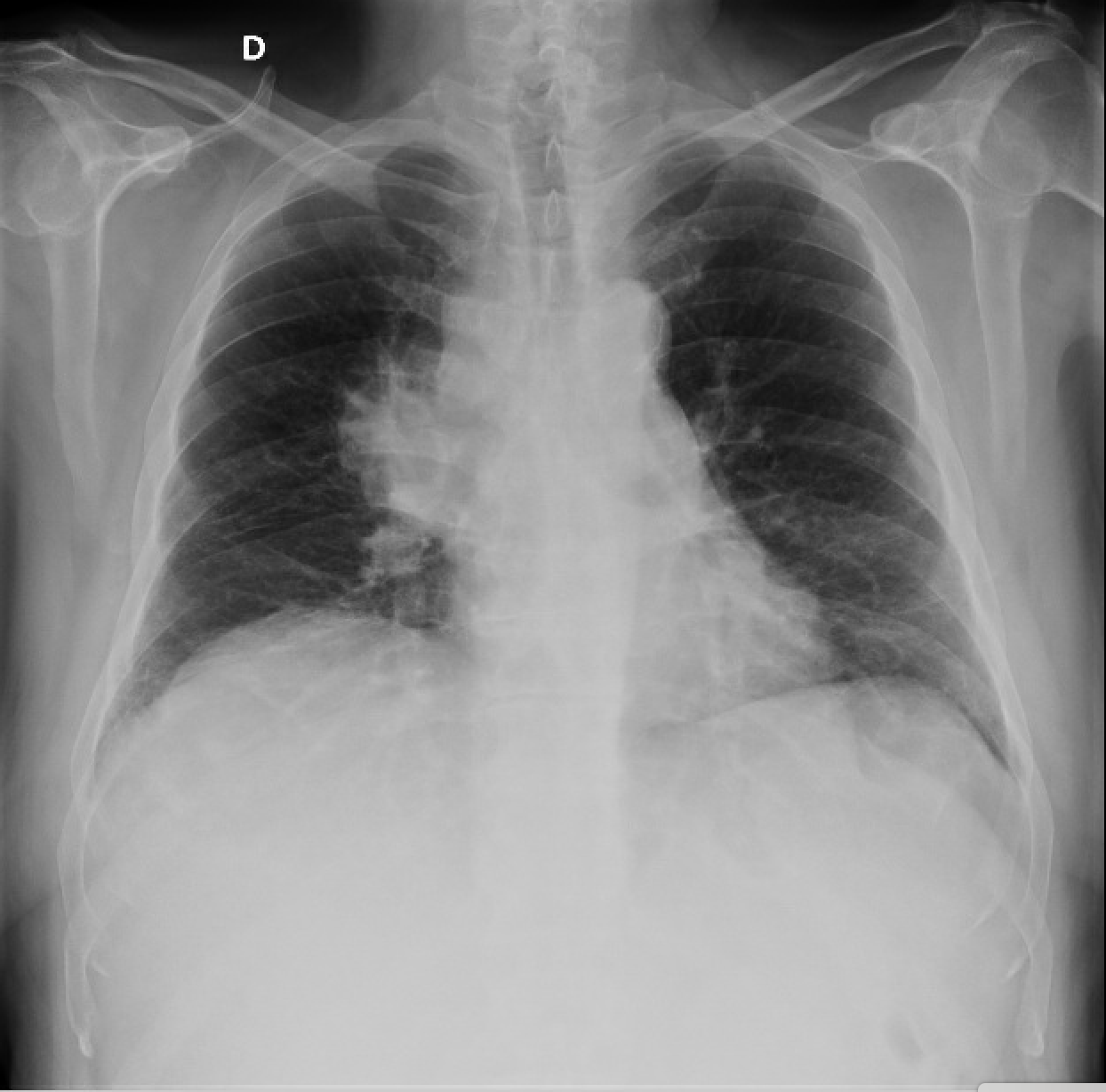
También se realiza radiografía de tórax donde se aprecia masa en región hiliar derecha.
Impresiona de tumor primario de origen pulmonar con metástasis a nivel hepático.
Evolución
Dada la estabilidad hemodinámica del paciente, se decide continuar con pruebas complementarias (TAC total body) de manera ambulatoria, así como consulta posterior con neumología pendiente de realizar.
Este caso refuerza el valor de la ecografía clínica en consulta, especialmente en pacientes con síntomas inespecíficos. También optimiza la derivación al servicio de Urgencias, agilizando el proceso y mejorando la capacidad resolutiva de la consulta. La detección precoz de patología grave mejora el pronóstico y reduce visitas repetidas por síntomas difusos y sin diagnóstico.



