5, 6 y 7 de febrero de 2026
Atención Primaria.
Dolor no controlado en zona de cicatriz de herida quirúrgica.
Enfoque individual
Hombre, 43 años. Antecedentes personales: tumor desmoide de mama derecha con crecimiento rápido con exéresis del mismo mediante tumorectomía hace un mes.
Acude por presentar desde los primeros días tras la cirugía un mal control del dolor en la zona de la herida precisando de forma persistente ajuste de analgesia escalando incluso a opiáceos.
Exploración física: Regular estado general, afectado por dolor. Afebril. Zona de la herida quirúrgica y la mama en su totalidad eritematosa, caliente con mucha sensibilidad a la palpación. No crepitación.
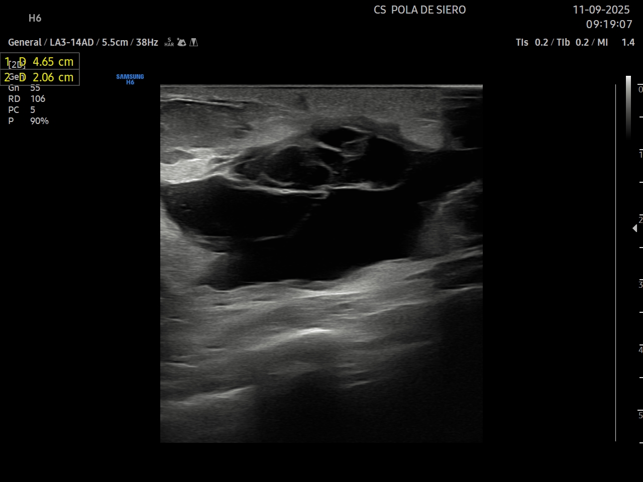
Ante la sospecha de infección local se realiza ecografía clínica para realizar diagnóstico diferencial entre celulitis y absceso de cara a un adecuado manejo del paciente.
Hallazgos ecográficos
Se identifica en el tejido celular subcutáneo una colección líquida, mal definida, de contornos irregulares, predominantemente hipoecoica con áreas ecogénicas en su interior. La lesión muestra refuerzo acústico posterior como corresponde a los contenidos líquidos. Con Doppler color presenta aumento de flujo periférico con escasa vascularización en su interior.
Pruebas complementarias
No precisó.
Juicio clínico, diagnóstico diferencial, concordancia con el hospital (en su caso)
El diagnóstico diferencial se realizó entre celulitis y absceso. En este caso, fue diagnosticado de absceso en zona de la herida quirúrgica.
Tratamiento, planes de actuación
El paciente fue derivado al Servicio de Urgencias Hospitalarias y tras valoración por el servicio de Cirugía General se prefirió tratamiento conservador con antibioterapia de amplio espectro y antinflamatorios.
Evolución
El paciente evolucionó de manera favorable con el tratamiento pautado.
Entre las complicaciones de las heridas quirúrgicas en los primeros 30 días incluye distinguir: Infección del sitio quirúrgico, dehiscencia, seroma, hematoma, granuloma de sutura, absceso y la celulitis que es la complicación más frecuente.
En este caso, utilizar la ecografía en la consulta habitual en nuestro Centro de Salud nos permitió diferenciar sobre la marcha una celulitis de un absceso siendo este diagnóstico diferencial fundamental ya que, aunque ambas van a precisar tratamiento antibiótico, el absceso puede requerir drenaje quirúrgico por lo que es conveniente derivar a nivel hospitalario para su valoración.


