X Jornadas de Actualización en Medicina de Urgencias y VI Jornadas de Ecografía de la semFYC
6-7-8 de febrero de 2025
Servicio de urgencias.
Epigastralgia y vómitos.
Antecedentes personales relevantes, anamnesis, exploración física y lugar que ocupa en ella la ecografía
Mujer de 67 años con hipertensión arterial y diabética tipo 2 de otra comunidad autónoma que acude por epigastralgia que empeora tras la ingesta de 3 meses de evolución asociando pérdida de peso (no cuantificable), de apetito y astenia en los últimos 6 meses. No fiebre.
Exploración física: Tensión arterial 144/101, frecuencia cardiaca 82 latidos por minuto, temperatura 36 ºC, Saturación O2 100% aire ambiente.
Auscultación cardiopulmonar sin alteraciones.
Abdominal: ruidos hidroaéreos presentes, abdomen blando y depresible, no doloroso a la palpación. No irritación peritoneal.
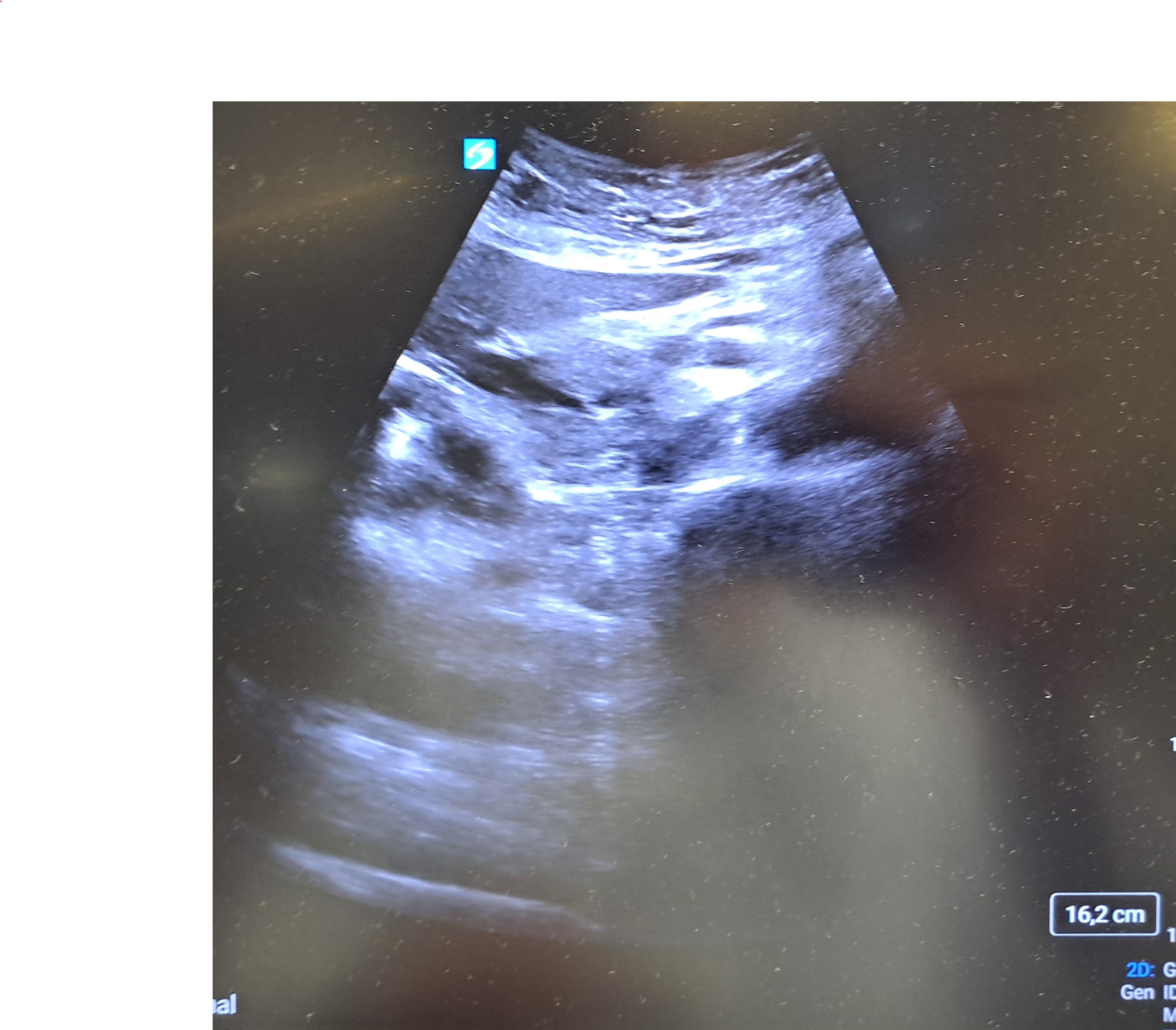
Descripción de los hallazgos ecográficos y las imágenes más relevantes para la resolución del caso
Ecografía abdominal: Hígado de bordes lisos y homogéneos, no lesiones ocupantes de espacio. Vesícula biliar no dilatada, no engrosamiento de paredes. Presencia de múltiples lesiones anecoecogénicas redondeadas en cabeza de páncreas, la mayor de unos 5cm de diámetro, no se objetivan lesiones en cuerpo y no se visualiza cola del páncreas. Riñones: no alteraciones en la ecogenicidad o tamaño.
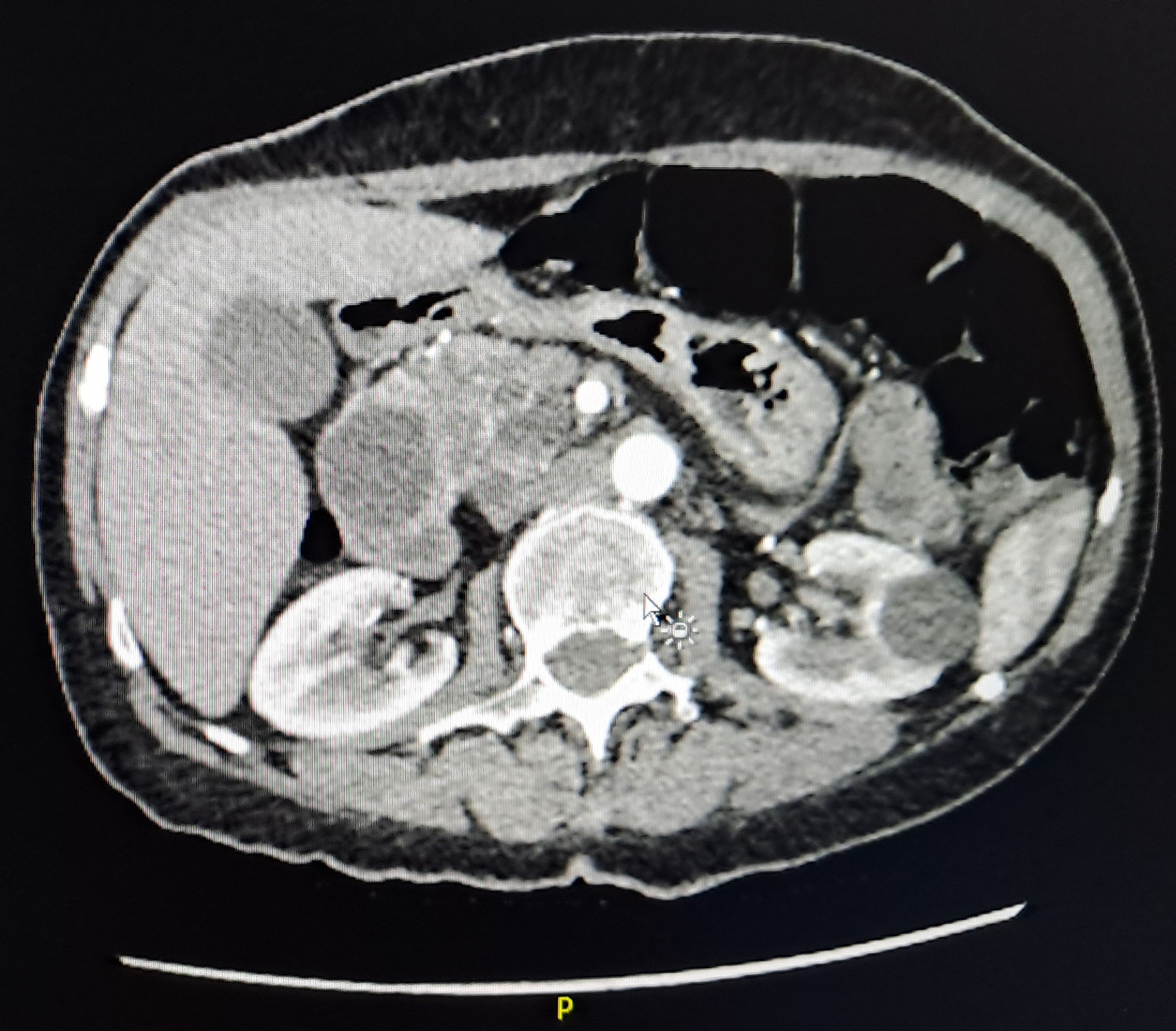
Otras pruebas complementarias realizadas (si existen)
TAC abdominal: Probable neoplasia serosa quística en cabeza de páncreas de 6 cm, que condiciona compresión extrínseca sobre región bulboduodenal sin dilatación retrógrada.
Analítica sanguínea con perfil digestivo: Urea 55, TFG > 90 ml/min, lipasa, amilasa, GPT y bilirrubina en rango, PCR < 0,05, hemograma sin alteraciones.
Gastroscopia: Normal.
Juicio clínico, diagnóstico diferencial, concordancia con el hospital (en su caso)
Cistoadenoma seroso de cabeza de páncreas.
Decisiones adoptadas: tratamiento, planes de actuación
Se realizó ecoendoscopía para valorar la lesión y realizar PAAF del líquido.
Evolución y seguimiento
La paciente volvió tras el ingreso a su comunidad autónoma para completar estudio.
En este caso la ecografía clínica permitió dirigir el estudio y ayudar a la decisión de ingresar a la paciente para completar el estudio que hubiera sido complicado de manera ambulatoria.


