X Jornadas de Actualización en Medicina de Urgencias y VI Jornadas de Ecografía de la semFYC
6-7-8 de febrero de 2025
Servicio de Urgencias Hospitalarias y Atención Especializada.
Mujer de 81 años que acude al servicio de Urgencias por clínica de astenia y dolor abdominal irradiado a fosa renal derecha de 2 semanas de evolución. Náuseas sin vómitos y sensación distérmica que ha empeorado en los últimos días. Refiere episodios de hematuria asintomática.
Enfoque individual: antecedentes personales, anamnesis, exploración, pruebas complementarias, etc.
Alergia a la Penicilina.
Antecedentes personales de Hipertensión Arterial y Diabetes Mellitus tipo II. No fumadora.
A la exploración destaca un abdomen globuloso con marcada hepatomegalia. Dolor a la palpación de hipocondrio derecho y puñopercusión renal derecha positiva.
Analíticamente; Creatinina 1,51 mg/dL, Urea 66 mg/dL, elevación de RFA, sistemático de orina patológico y parámetros de citólisis aumentados.
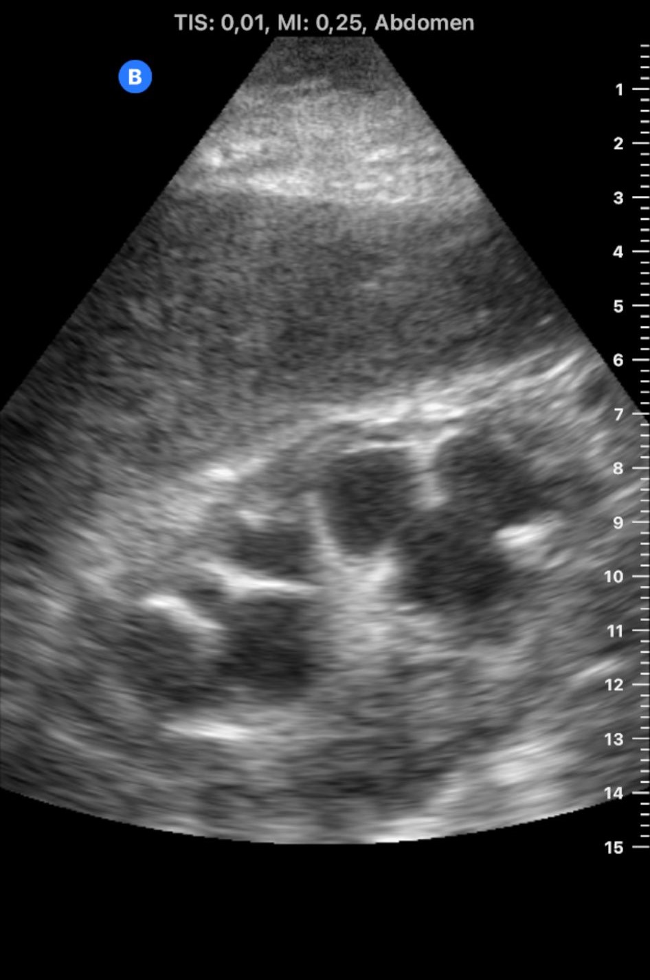
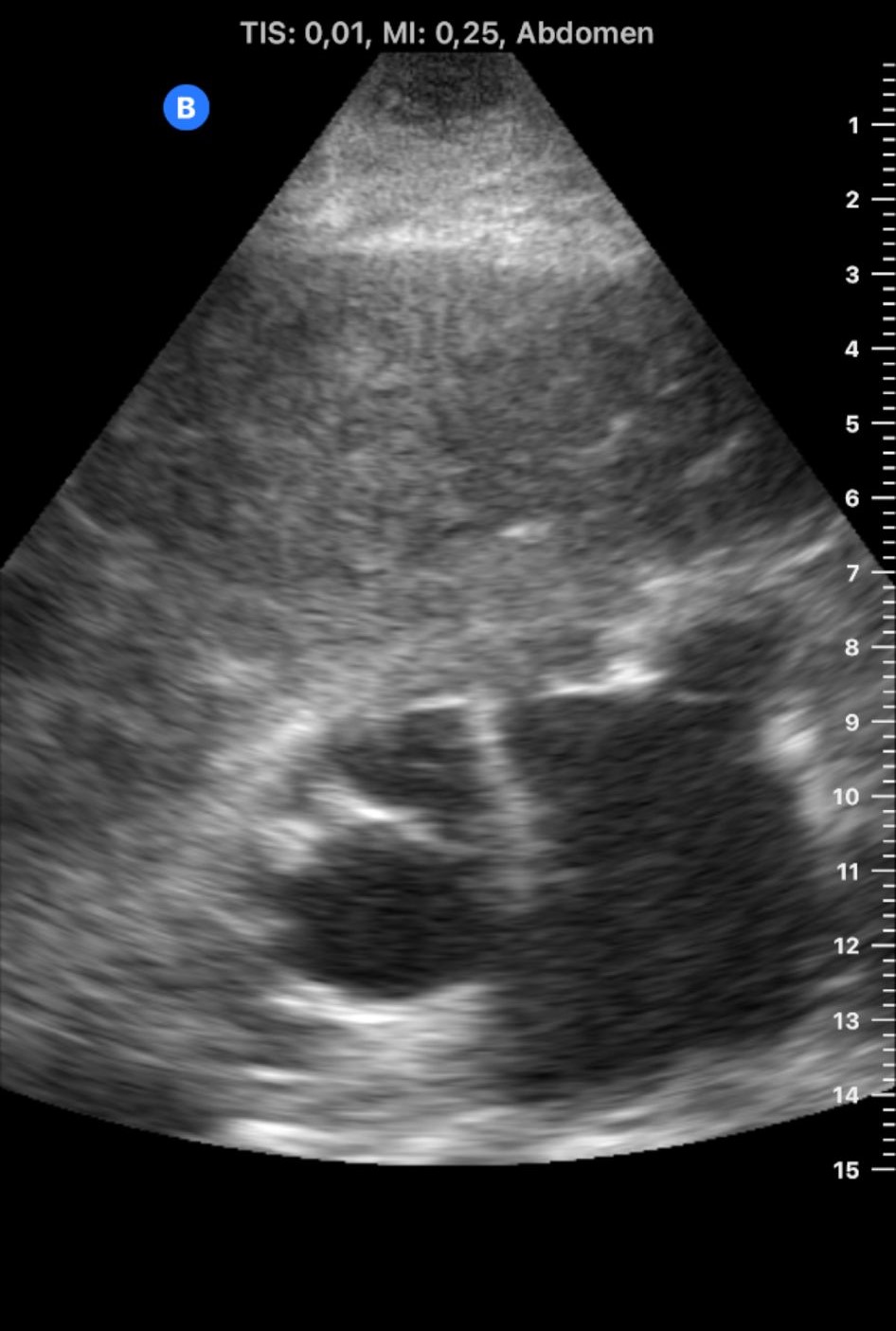
Se lleva a cabo una ecografía abdominal a pie de cama que evidencia ambos riñones de tamaño y localización normal. Relación corticomedular no conservada de riñón derecho debido a hidronefrosis grado IV, sin litiasis visible.
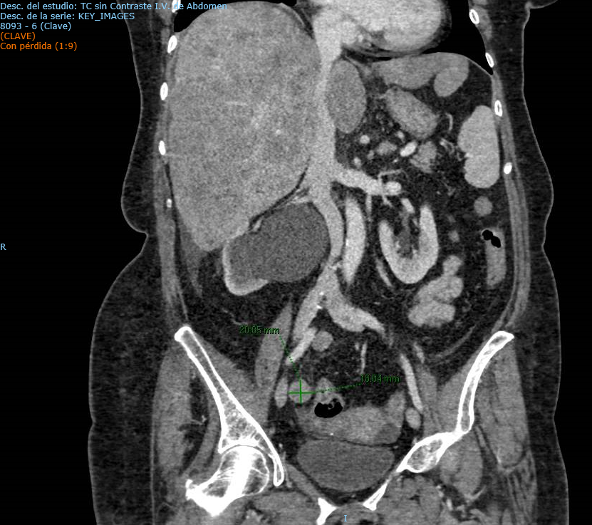
Se realiza una Tomografía Computarizada (TC) de abdomen y pelvis, objetivando una neoformación de aproximadamente 4 cm en uréter distal derecho que condiciona ureterohidronefrosis grado IV. Asocia adenopatías de probable naturaleza metastásica en territorio ilíaco derecho y en hilio hepático.
Juicio clínico, diagnóstico diferencial, identificación de problemas
Neoplasia metastásica ureteral derecha.
Tratamiento y planes de actuación.
La paciente ingresa en la planta de Urología general.
Tras valorar el caso en el Comité de Oncología, se decide tratamiento paliativo.
Evolución
Al cuarto día de ingreso, enfermería avisa por defunción de la paciente.
La ecografía a pie de cama se ha consolidado como una herramienta diagnóstica fundamental en la práctica médica. Su rapidez, accesibilidad y naturaleza no invasiva la convierten en un recurso valioso que complementa a la exploración física tradicional. Por estas razones, algunos autores proponen considerarla como el sexto pilar de la exploración física, junto a los cinco pilares tradicionales (inspección, palpación, percusión, auscultación y anamnesis). Además, tiene la capacidad de proporcionar información visual directa y en tiempo real, lo que permite una evaluación más completa de diversas condiciones médicas, como obstrucciones urinarias, hemorragias internas o enfermedades abdominales.
Por último, considerar las distintas causas de hidronefrosis como la obstrucción urinaria (que puede ser originada por litiasis renales, estenosis del uréter, neoplasias, etc.), pielonefritis obstructiva, anomalías congénitas, hidroaeronefrosis, disfunción vesical o enfermedades sistémicas.


