V Jornadas de Ecografía de la semFYC

9 y 10 de febrero de 2024

Comunicaciones: Casos clínicos

Eco-fast para descartar hemorragia abdominal (póster)

Ámbito del caso

Urgencias hospitalarias

Motivos de consulta

Mal estar general

Historia clínica

Enfoque individual

Paciente mujer de 37 años, con consumo habitual de anfetamina. Sin alergias conocidas sin antecedentes personales de interés. Había realizado liposucción y abdominoplastia en los días previos en Turquía.

Acude acompañada por un familiar, quien refiere malestar general inespecífico y episodio de síncope, recuperado, hace unas horas. A su llegada al hospital presenta bajo nivel de consciencia, con lenguaje incoherente.

Constantes vitales: Presión arterial 90/60 mmHg; Frecuencia cardíaca 50 latidos por minuto; afebril.

Palidez mucocutánea. Auscultación cardiopulmonar anodina. Abdomen con signos de peritonismo y cicatriz de abdominoplastia con restos de fibrina. Hematomas en ambos muslos. Sin edemas en miembros inferiores.

Reevaluación por protocolo ABCD incluyendo exploración ecográfica por sospecha de shock hipovolémico por descenso progresivo de la presión arterial.

Es un escenario clínico donde la ecografía permite encontrar hallazgos que determinen un tratamiento de carácter vital para la paciente.

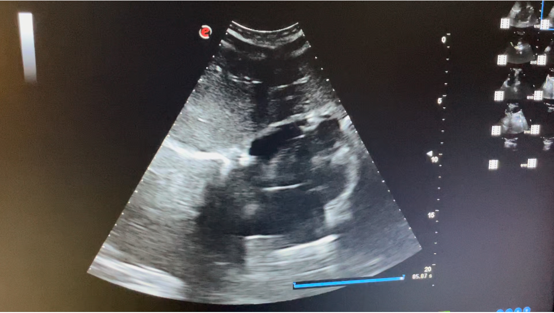
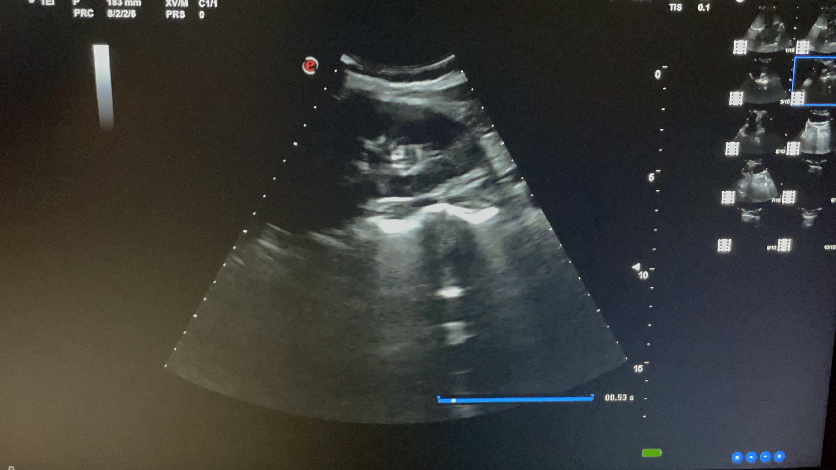
Hallazgos ecográficos

Estudio ecográfico con sonda abdominal de baja frecuencia, siguiendo protocolo ECO-FAST. Se explora región subxifoidea sin apreciarse presencia de líquido en saco pericárdico. Hipocondrio derecho libre de líquido en espacio de Morrison. Hipocondrio izquierdo sin presencia de líquido en espacio esplenorrenal. Imagen de región supra púbica, corte longitudinal y transversal donde no se observa líquido libre en saco de Douglas.

Pruebas complementarias

- Análisis de sangre con hemoglobina de 7 g/dL, fórmula iónica normal, detección en orina de anfetaminas.

- Gasometría venosa con acidosis metabólica.

- Angiotomografía computarizada que muestra presencia de tromboembolismo pulmonar masivo con sobrecarga de cavidades derechas.

Juicio clínico, diagnóstico diferencial, identificación de problemas

Parada cardiorrespiratoria secundaria a tromboembolismo pulmonar masivo.

Hipovolemia por hemorragia abdominal, intoxicación aguda por anfetaminas, bajo gasto por taponamiento cardiaco. 

Tratamiento y planes de actuación

Se decide intubación orotraqueal y tras monitorización, realiza parada cardiorrespiratoria en asistolia, que recupera tras compresiones torácicas y una dosis de 1 mg de adrenalina.

Evolución

Nuevo episodio de asistolia que no se consigue recuperar. Éxitus.

Conclusiones (y aplicabilidad para la Medicina de Familia)

La exploración ecográfica de urgencias resulta de elevada utilidad. En un caso como este, de emergencia vital, nos permite realizar un amplio diagnóstico diferencial en los primeros minutos de atención médica, descartando la presencia de hemorragia abdominal (primera sospecha diagnóstica). Así, nos aporta información imprescindible en la toma de decisiones terapéuticas.


Comunicaciones y ponencias semFYC: 2026; Comunicaciones: Casos clínicos. ISSN: 2339-9333

Autores

De La Paz Romero, Paloma
CS El Cristo. Oviedo
Ramos Conejo, Marta
C. S. Grado. Asturias
Ibaseta Serrano, Beatriz
C.S Grado. Asturias