X Jornadas de Actualización en Medicina de Urgencias y VI Jornadas de Ecografía de la semFYC
6-7-8 de febrero de 2025
Enfoque individual: antecedentes personales, anamnesis, exploración, pruebas complementarias, etc.
Mujer de 19 años. Sin alergias medicamentosas. No enfermedades previas. No tóxicos.
Sufre accidente de tráfico mientras conducía su motocicleta a 30 km/h, frente a vehículo parado en una rotonda. La paciente contacta con los servicios de emergencia por sí misma, se levanta de la calzada y se retira el casco, mientras espera. No pérdida de conciencia ni alteraciones evidentes.
A la exploración paciente consciente y orientada. Se realiza algoritmo de CÓDIGO TRAUMA, valoración primaria, XABCDE, donde destaca buena mecánica ventilatoria, cierta palidez mucocutánea, pulso radial conservado. Erosiones cutáneas superficiales en abdomen a nivel de flanco izquierdo.
Constantes vitales: TA 120/70 Fc 100 lpm SAT O2 98%.
A pesar del buen estado general aparente, se realiza E-FAST detectándose líquido libre periesplénico y en saco Douglas en gran cuantía.
Enfoque familiar y comunitario: estudio de la familia y la comunidad (si fuese necesario)
No reseñables.
Juicio clínico, diagnóstico diferencial, identificación de problemas
Juicio clínico: Shock compensado en politrauma.
Diagnóstico diferencial: patología ovárica.
Tratamiento y planes de actuación.
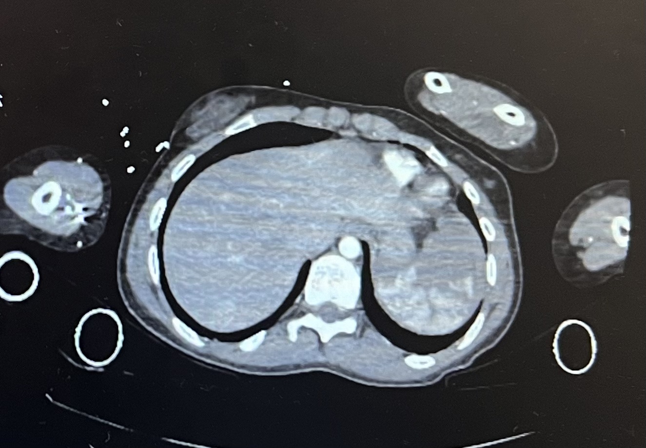
La paciente se traslada a hospital adecuado rápidamente. Se realizó Body TAC detectándose rotura esplénica grado IV. Anemización secundaria.
Durante el transcurso de pruebas la paciente debutó con hipotensión debido al mayor sangrado, pasando a Shock descompensado. Se realizó cirugía de esplenectomía urgente ante la gravedad.
Evolución
La paciente evolucionó favorablemente durante su ingreso en el hospital.
Se destaca el papel clave de la ecografía de urgencias en esta paciente, gracias a la cual se pudo observar rápidamente la hemorragia interna masiva que sufría y que no había aún descompensado el shock para su fácil detección.

