X Jornadas de Actualización en Medicina de Urgencias y VI Jornadas de Ecografía de la semFYC
6-7-8 de febrero de 2025
Servicio de Urgencias.
Dolor mandibular y otorragia.
Enfoque individual: antecedentes personales, anamnesis, exploración, pruebas complementarias, etc.
Mujer de 82 años sin alergias conocidas, hipertensa y con Flutter auricular desde 2009.
Acude refiriendo dolor mandibular bilateral de inicio hacía tres horas mientras achicaba agua tras inundarse su garaje asociado a otorragia leve en oído derecho con leve cefalea occipital (3 de 10 en la Escala Visual Analógica) sin náuseas, vómitos u otra clínica. No traumatismo craneal.
Exploración física: Tensión arterial 160/110 mmHg; afebril (Tª 36.7 ºC); FC 120 lpm; SatOs 96%. Buen estado general. Exploración neurológica normal con pulso temporal izquierdo palpable y derecho indiferente, ATM con dolor a la palpación bilateral y otoscopia en oído izquierdo con tapón de cerumen y derecho con tímpano perforado en borde inferior interno, sin evidencia de sangrado activo. Resto sin hallazgos destacables.
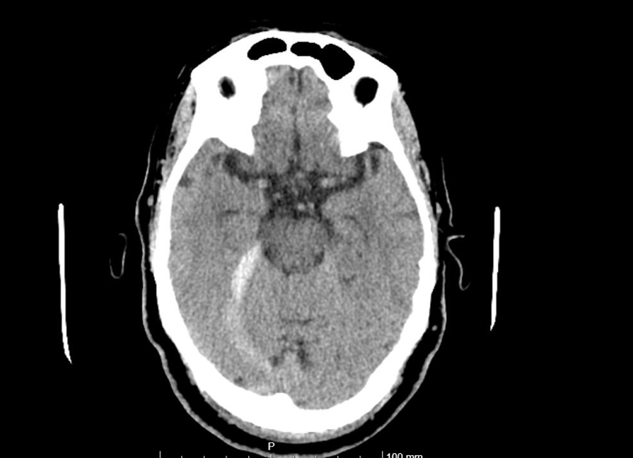
Pruebas de laboratorio normales. ECG con fibrilación auricular a 120 lpm. TAC craneal simple: Hemorragia subaracnoidea en tentorio derecho y hoz cerebral posterior junto con encefalopatía de pequeño vaso crónica severa (Fazekas 3).
Enfoque familiar y comunitario: estudio de la familia y la comunidad (si fuese necesario)
No.
Juicio clínico, diagnóstico diferencial, identificación de problemas
Juicio clínico: Hemorragia subaracnoidea espontánea y otitis media crónica perforada en oído derecho.
Diagnóstico diferencial: Arteritis de la Temporal, Disfunción de la articulación temporomandibular, bruxismo, problemas otológicos como otitis perforadas, cefalea tensional.
Problemas: dolor mandibular, otorragia, cefalea tensional.
Tratamiento y planes de actuación.
Bisoprolol oral, primperán iv, paracetamol iv y labetalol iv. Plan: realizar prueba de imagen cerebral (TAC) e interconsulta con ORL. Neurocirugía desestimó la intervención e indicó únicamente retirar la anticoagulación y vigilar evolución.
Evolución
A la anamnesis presentaba buen estado general salvo por la leve cefalea. Posteriormente presentó náuseas y empeoramiento general con aparición de fibrilación auricular rápida, vómitos y aumento de la cefalea. Fue vista por ORL con diagnóstico de otitis media crónica perforada en oído derecho. Posteriormente se realizó el TAC craneal que dio el diagnóstico final.
Debemos tratar al paciente atendiendo la globalidad de sus síntomas, además a veces los síntomas comunes son expresión de otras patologías menos frecuentes y más urgentes y por último, el cuadro clínico usual no es que siempre tendrán nuestros pacientes.
