Comunicaciones: Casos clínicos

Dolor escapular crónico en Atención Primaria: diagnóstico e infiltración ecoguiada del nervio supraescapular como alternativa resolutiva desde medicina de familia (oral)

Ámbito del caso

Atención Primaria. Procedimiento ecoguiado realizado en centro de salud.

Motivos de consulta

Dolor cervicobraquial y dolor escapular crónico con irradiación al miembro superior derecho.

Historia clínica

Enfoque individual

Hombre de 55 años. Sin antecedentes traumáticos ni osteomusculares relevantes. Inicia en 2021 lumbalgia y dolor escapular intermitente; radiografías y RM sin hallazgos significativos.
En 2022 sufre episodio de dolor cervicobraquial derecho progresivo, con radiografía normal. Durante 2024–2025 desarrolla dolor infraescapular selectivo, profundo y persistente, sin signos de alarma neurológica, empeorando con movimientos del hombro.
EF: Manguito rotador sin patología, Apley normal, movilidad global conservada. Contractura cervical y trapecial. Punto específico de dolor en trayecto del nervio supraescapular. Fuerza y sensibilidad conservadas.

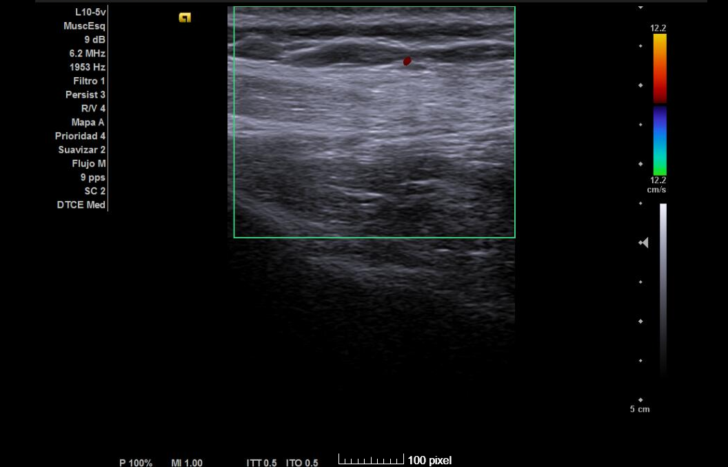
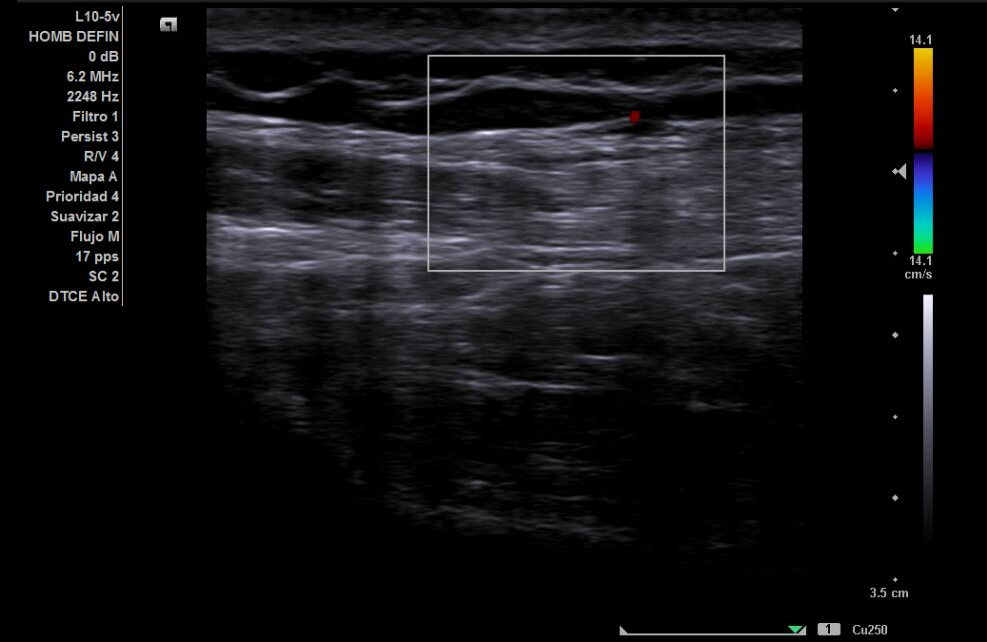
Hallazgos ecográficos

Tendones supra e infraespinoso normales; bursa fina; cabeza larga del bíceps normal. Nervio supraescapular discretamente hipoecoico y engrosado en la escotadura; sin colecciones. Sin signos de pinzamiento dinámico.

Pruebas complementarias

RX dorsal, cervical y RMN sin hallazgos.

Juicio clínico, diagnóstico diferencial, concordancia con el hospital (en su caso)

Neuropatía del nervio supraescapular derecho en contexto de dolor miofascial crónico y disfunción escapulotorácica.
DD: radiculopatía cervical, síndrome subacromial, tendinopatías del manguito, dolor miofascial, patología intratorácica.

Tratamiento, planes de actuación

Analgesia, relajantes musculares y fisioterapia. Ante la no mejoría, infiltración ecoguiada del nervio supraescapular (1 ml trigon + 4 cc anestésico local). Sin incidencias. 

Evolución

A la semana, gran mejoría clínica, mejor descanso y movilidad. Continúa fisioterapia.

Conclusiones y aplicabilidad para la medicina de familia

La ecografía musculoesquelética en Atención Primaria no solo mejora la precisión diagnóstica ante el complejo espectro del dolor escapular, sino que permite actuar directamente sobre la causa mediante técnicas intervencionistas seguras, accesibles y resolutivas. En este caso, la identificación ecográfica del nervio supraescapular y su infiltración guiada proporcionaron un abordaje eficaz sin necesidad de derivación ni pruebas de alto coste.
Este caso ejemplifica cómo la ecografía integrada en la consulta potencia la capacidad del médico de familia para diagnosticar, tratar y hacer seguimiento de patologías musculoesqueléticas frecuentes, ofreciendo un manejo más eficiente, personalizado y centrado en el paciente.
 
 

Comunicaciones y ponencias semFYC: 2026; Comunicaciones: Casos clínicos. ISSN: 2339-9333

Autores

Carvajal Sánchez, Irene María
CS San Antón. Cartagena, Murcia
Murcia López, Begoña
CS San Antón. Cartagena, Murcia
Landeo Soldevilla, Christian
CS San Antón. Cartagena, Murcia