V Jornadas de Ecografía de la semFYC

9 y 10 de febrero de 2024

Comunicaciones: Casos clínicos

Dolor abdominal en una paciente con trastorno restrictivo de conducta alimentaria (oral)

Ámbito del caso

Atención primaria

Motivos de consulta

Náuseas, dispepsia y dolor abdominal cólico postprandial recurrente.

Historia clínica

Enfoque individual

Mujer de 33 años. Trastorno restrictivo de conducta alimentaria (TCA) desde hace cuatro años, episodios de bulimia restrictiva y abuso de laxantes. En los últimos meses se acentuó la pérdida ponderal. Refiere episodios de dolor abdominal cólico postpandriales sobretodo tras la ingesta de sólidos.

Exploración física: Caquexia (peso no cuantificado por negativa a pesarse). Resto de exploración sin hallazgos de interés.

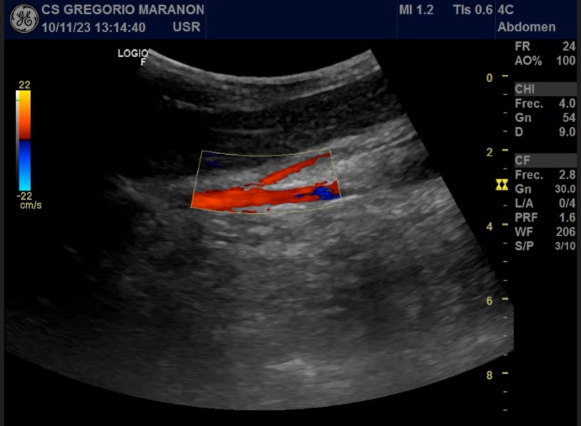
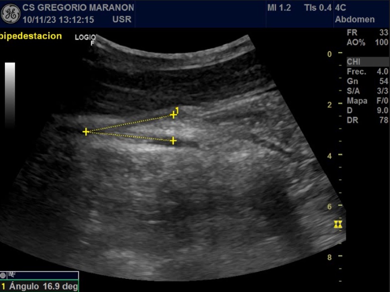
Hallazgos ecográficos

Ecografía clínica donde en el plano transversal vemos una distancia entre Arteria mesentérica superior (AMS) y Aorta de 3 mm y un ángulo entre ellas de 14,3º.

Pruebas complementarias

No se realizaron otras pruebas.

Juicio clínico, diagnóstico diferencial, identificación de problemas

Síndrome de arteria mesentérica superior en paciente con TCA.

Tratamiento y planes de actuación

Dieta hipercalórica semisólida, suplementos vitamínicos y reposición iónica.

Evolución

Con el tratamiento conservador, nuestra paciente experimentó mejoría clínica.

Conclusiones (y aplicabilidad para la Medicina de Familia)

El síndrome de Arteria mesentérica superior (SAMS) o síndrome de Wilkie es una enfermedad vascular rara con una incidencia variable del 0,0024% y el 0,34%, siendo más frecuente en mujeres que en hombres.

Fisiológicamente, el ángulo formado entre la AMS y la Aorta oscila entre 38 y 65º con una distancia entre ambas de 10 a 28 mm. Cuando estas medidas son menores de 25º o de 8 mm respectivamente, se produce una compresión de la tercera porción del duodeno.

Es común entre pacientes anoréxicos, como ocurre en nuestro caso, en contexto de una rápida pérdida de peso y por lo tanto de grasa mesentérica y retroperitoneal. Los síntomas son similares a los de una obstrucción intestinal, como dolor abdominal y náuseas que se agravan con la ingesta oral y se alivian con la emesis.

Es importante incluir este síndrome en el diagnóstico diferencial del dolor abdominal ya que los síntomas pueden ser atribuidos erróneamente al propio TCA. La clínica suele mejorar con un aumento de peso de solo 2-4 kg.

El diagnóstico de esta entidad suele retrasarse debido a su inicio insidioso. La ecografía es un método muy sensible para el diagnóstico del SAMS con una alta correlación con la tomografía axial.

 


Comunicaciones y ponencias semFYC: 2026; Comunicaciones: Casos clínicos. ISSN: 2339-9333

Autores

Gamiz Marcos, Mª Victoria
CS Gregorio Marañón. Alcorcón. Madrid
Sánchez Jiménez, Francisco Javier
CS Gregorio Marañón. Alcorcón. Madrid