5, 6 y 7 de febrero de 2026
Enfoque individual
Mujer de 17 años que consultó por dolor abdominal cólico de meses de evolución en hemiabdomen inferior. En una ocasión se había acompañado de cuadro sincopal. Había consultado en varias ocasiones en servicios de urgencias, diagnosticándose de cólicos renoureterales y dolor abdominal inespecífico.
En una primera visita a nuestra consulta acudió por dolor abdominal tipo cólico en fosa ilíaca derecha (FID) de dos días de evolución que se acompañaba de náuseas. Afebril. Hábito defecatorio habitual estreñido. Amenorrea de 6 meses de evolución en paciente nulípara.
Exploración física: Tensión arterial 116/75 mmHg. Abdomen: blando y depresible. Dolor abdominal en FID, sin defensa ni signos de irritación peritoneal. No se palpaban masas ni visceromegalias. Puñopercusión renal bilateral negativa. Realizamos ecografía clínica abdominal y solicitamos analítica hormonal.
Hallazgos ecográficos
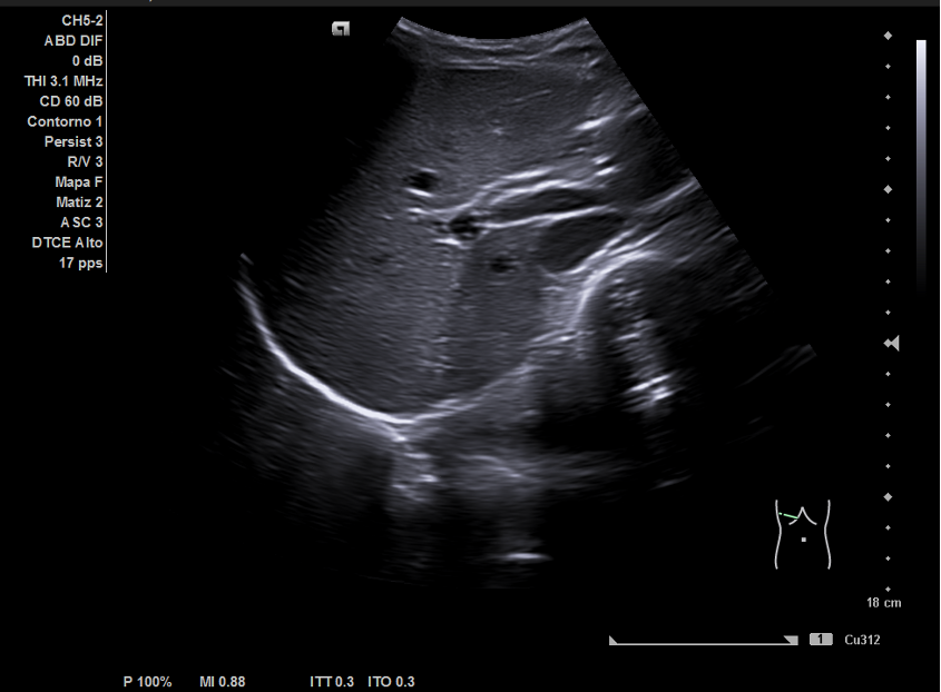
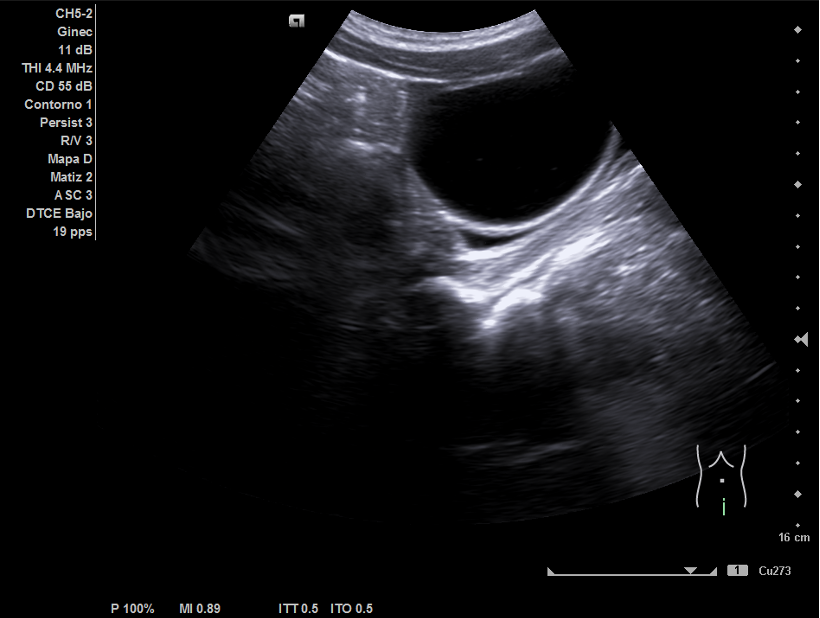
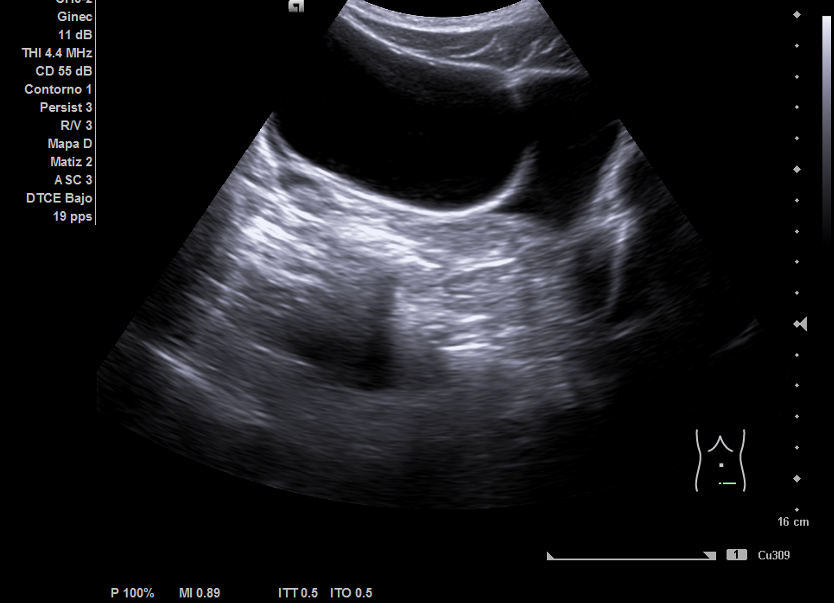
Ecografía abdominal: hígado y vesícula sin alteraciones. Riñones de ecoestructura normales. Útero de características normales. Se apreció imagen anecoica de 7x7 cm que parecía depender de ovario derecho.
Pruebas complementarias
Analítica hormonal sin alteraciones.
Juicio clínico, diagnóstico diferencial, concordancia con el hospital (en su caso)
Juicio clínico: Probable quiste anexial derecho.
Diagnóstico diferencial: Hidrosalpinx derecho, cólico renoureteral derecho, apendicitis aguda, estreñimiento crónico.
Tratamiento, planes de actuación
Se inició tratamiento analgésico. Ante estabilidad clínica y hemodinámica se derivó de forma preferente a Ginecología.
Evolución
En Ginecología se realizó ecografía ginecológica transrectal en la que se confirmó quiste ovárico derecho de unos 79 mm de contenido líquido sin tabiques ni papilas. Con el diagnóstico de crisis de pseudotorsión ovárica se programó para cistectomía de ovario derecho. La anatomía patológica confirmó la presencia de un cistoadenoma mucinoso.
La realización de ecografía clínica por médico de familia permitió identificar de forma precoz una masa anexial en una paciente con dolor abdominal recurrente, orientando de inmediato el diagnóstico hacia patología ovárica y descartando otras causas frecuentes en este contexto. Su uso en AP aporta objetividad en cuadros inespecíficos, reduce la incertidumbre diagnóstica y optimiza el circuito de derivación. Este caso demuestra cómo la ecografía se integra como una extensión natural de la exploración física, mejorando la precisión clínica ante diagnósticos poco frecuentes y facilita la detección temprana de patología ginecológica potencialmente complicada.



