V Jornadas de Ecografía de la semFYC

9 y 10 de febrero de 2024

Comunicaciones: Casos clínicos

«Doctora, vuelvo a tener litiasis...» (oral)

Ámbito del caso

Atención Primaria

Motivos de consulta

Hematuria

Historia clínica

Enfoque individual

Varón de 59 años, fumador de 30 paquetes/año. Antecedentes personales: dislipemia, hipoacusia, meniscopatía interna y nefrolitiasis. Alergia a nolotil.
 
Acude a consulta de Atención Primaria por hematuria franca intermitente de 2 meses de evolución. Transcurrieron 48h desde la última micción con sangre. El paciente atribuyó los síntomas a la presencia de posible nefrolitiasis, por haber tenido episodios previos. En la anamnesis dirigida, el paciente presentaba además síntomas del tracto urinario inferior que podían asociarse a ITU (infección del tracto urinario) o a hiperplasia benigna de próstata (HBP).
La exploración física del paciente fue normal. Ante la evolución clínica y los antecedentes personales se decide realizar ecografía nefrourológica en consulta.

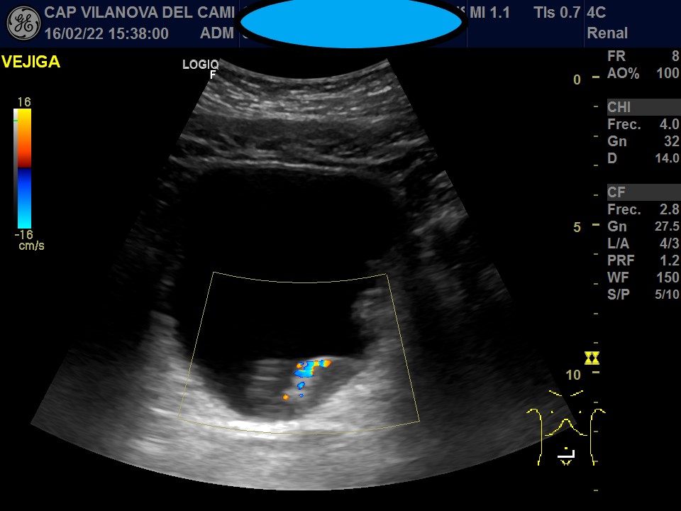
Hallazgos ecográficos

Vejiga urinaria bien distendida, de paredes engrosadas, con imágenes sugestivas de patología intraluminal y parietal. Neoformación irregular en pared posterolateral izquierda y suelo pélvico, que respeta el trígono vesical y la salida del meato ureteral, con captación Doppler color y algunas imágenes hiperecogénicas sugestivas de calcificación en su interior.
Por tanto, se decide remitir al paciente inmediatamente a la Unidad de Diagnóstico Inmediato de Cáncer vesical.
El informe ecográfico del hospital es concordante y se solicita cistoscopia.

Pruebas complementarias

La cistoscopia reveló tumoración de aspecto transicional en uretra prostática y varias neoformaciones vesicales en toda la circunferencia de cuello vesical, trígono y fundus, de aspecto sólido y dudosamente infiltrantes. Se realiza RTU (resección transuretral).
La anatomía patológica reveló un carcinoma urotelial papilar de alto grado (G3) que infiltra tejido conectivo subepitelial y respecta la muscular pT1 (OMS 2016).

Juicio clínico, diagnóstico diferencial, identificación de problemas

Carcinoma urotelial. Se realizó diagnóstico diferencial con nefrolitiasis, HBP, ITU y nefrolitiasis.

Tratamiento y planes de actuación

El paciente realiza tratamiento con BCG (Bacilo de Calmette Guerin) endovesical mediante esquema SWOG (Southwest Oncology Group).

Evolución

Actualmente el paciente se encuentra en seguimiento por Urología y Oncología con evolución favorable.

Conclusiones (y aplicabilidad para la Medicina de Familia)

Este caso es un ejemplo de la utilidad de la ecografía para médicos de Atención Primaria, dado que mejora la capacidad diagnóstica y resolutiva, facilitándose la toma de decisiones y traduciéndose en mayor calidad de atención al paciente. 
Además, al ser una herramienta diagnóstica que se puede realizar en Atención Primaria, reduce en gran medida las listas de espera.
 
 
 
 

Comunicaciones y ponencias semFYC: 2026; Comunicaciones: Casos clínicos. ISSN: 2339-9333

Autores

Guzmán Cabrera, Karina
EAP Vilanova del Camí. Barcelona.
Arteaga Galo, Olman Noé
EAP Vilanova del Camí. Barcelona