X Jornadas de Actualización en Medicina de Urgencias y VI Jornadas de Ecografía de la semFYC
6-7-8 de febrero de 2025
Enfoque individual: antecedentes personales, anamnesis, exploración, pruebas complementarias, etc.
Paciente varón de 58 años con antecedentes personales de hipertensión arterial, dislipemia, infarto agudo de miocardio con elevación del ST inferior, revascularización coronaria derecha; que acude al servicio de urgencias hospitalario (SUH) por presentar dolor en testículo derecho desde hace unas 24 horas, que no ha mejorado. Niega traumatismos. No relaciones sexuales de riesgo. Niega síndrome miccional. No fiebre. No otra sintomatología acompañante. Exploración Física: Buen estado general. Aumento de volumen escrotal derecho a expensas de hidrocele reactivo, sin signos de complicaciones. Teste derecho doloroso a la palpación. Signo de Prehn negativo. Teste izquierdo de tamaño y consistencia normal, no doloroso. Región peneana sin alteraciones. No adenopatías inguinales.
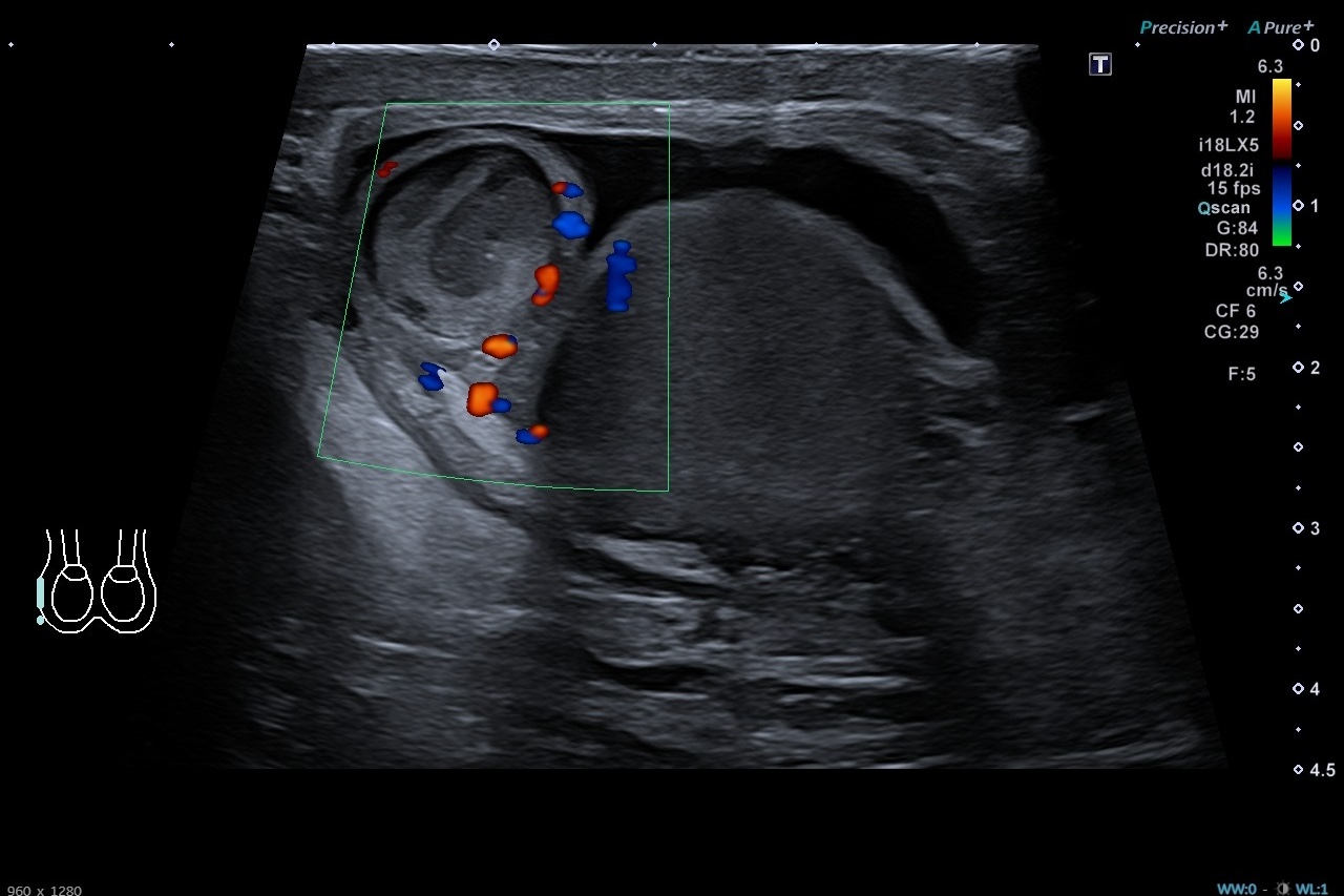
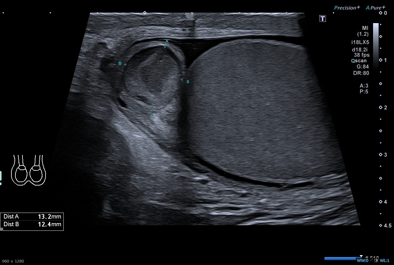
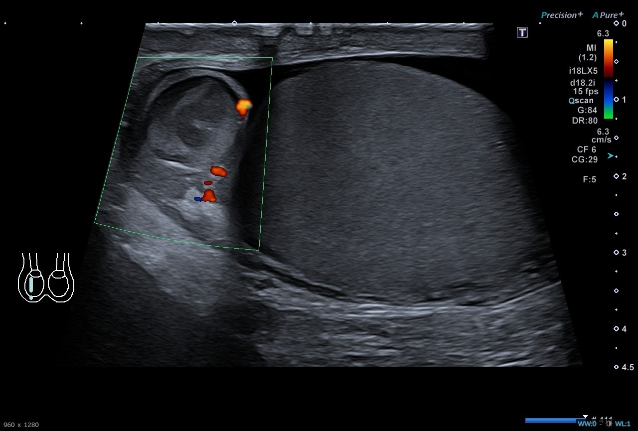
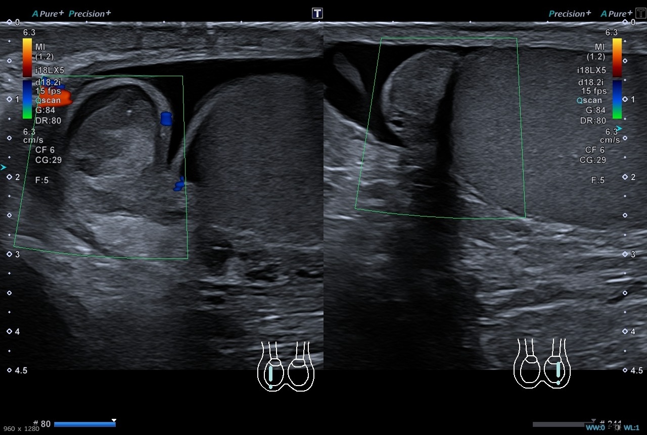
Pruebas complementarias: Sistemático de orina negativo. Ecografía escrotal: Testículos, epidídimos y cordones espermáticos de tamaño, morfología y ecogenicidad normales. Doppler normal en ambos testículos. Adyacente al polo superior del testículo derecho se identifica una estructura redondeada de unos 13 x 12 mms de ecogenicidad heterogénea, sin captación Doppler interna. Es sugestivo de torsión de hidátide de Morgagni, a correlacionar con evolución clínica. No hay datos de torsión testicular. Presencia de moderado hidrocele de aspecto reactivo.
Juicio clínico, diagnóstico diferencial, identificación de problemas
Fue valorado por urólogo de guardia que lo diagnosticó de torsión de hidátide de Morgagni, descartando torsión testicular.
Tratamiento y planes de actuación.
Se le puso Ketorolaco Intravenoso y se revaloró tras tratamiento.
Evolución
Dada la mejoría con tratamiento de Ketorolaco intravenoso en el servicio de urgencias se le dio el alta con tratamiento con Enantyum 25 mg cada 24 horas durante 10 días, Paracetamol 1 g cada 8 horas y alternar con nolotil 575 mg cada 8 si dolor, aplicar hielo local y uso de ropa interior ajustada. Se le dieron normas de evolución, signos y síntomas de alarma por los que volver a acudir a urgencias.
El dolor testicular, es una patología prevalente en urgencias, en la cual hay que descartar una torsión testicular, debido a que es una situación de emergencia, tiempo dependiente, en el que se requerirá una cirugía de emergencia para poder salvar al testículo. De ahí la importancia del correcto diagnóstico diferencial y la realización de una ecografía que confirme o descarte nuestras sospechas.



