5, 6 y 7 de febrero de 2026
Enfoque individual
Hombre de 75 años con antecedentes personales de hipertensión arterial y diabetes mellitus tipo 2, acude a consulta de Atención Primaria (AP) por visión borrosa en ojo derecho de un mes de evolución. Refiere ver una nube en cuadrante superior derecho y destellos luminosos ocasionales. Niega diplopía, cefalea u otra clínica acompañante.
A la exploración física se objetivan pupilas isocóricas normoreactivas y movimientos oculares conservados. No presenta nistagmus. No inyección conjuntival, ciliar, secreciones ni lesiones palpebrales. Se realiza tinción con fluoresceína sin detectar cuerpos extraños ni lesiones corneales. Exploración neurológica sin focalidad.
Hallazgos ecográficos
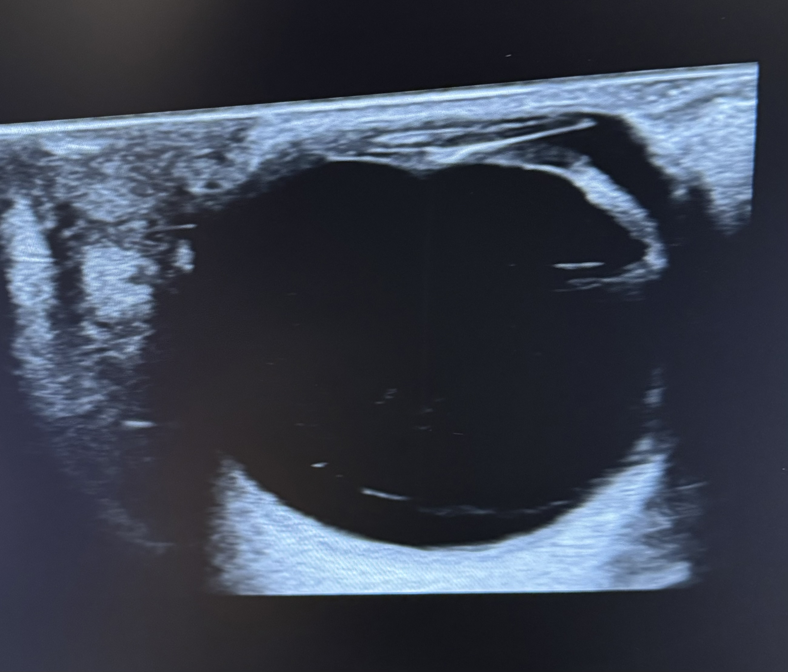
Ante la sospecha de desprendimiento de vítreo posterior (DVP) se realiza ecografía clínica. En la zona posterior del humor vítreo, anterior a la papila, se objetiva una línea fina, hiperecogénica y cóncava que hace sospechar DVP.
Juicio clínico, diagnóstico diferencial, concordancia con el hospital (en su caso)
Ante estos hallazgos ecográficos que apoyan nuestro diagnóstico, se decide la derivación del paciente a urgencias de Oftalmología para una valoración más precisa y descartar afectación retiniana. Tras la exploración oftalmológica se confirma el diagnóstico de DVP, descartándose un desprendimiento de retina (DR) asociado. Los principales diagnósticos diferenciales deben realizarse con el DR y el desprendimiento coroideo.
Tratamiento, planes de actuación
Al tratarse de un DVP sin más patología asociada, se indica reposo relativo durante dos semanas, sin precisar un tratamiento específico ni seguimiento por parte de oftalmología.
Evolución
Un mes después del diagnóstico, el paciente acude a consulta de AP y refiere estabilidad clínica. Persiste cierta visión borrosa y leves miodesopsias en el ojo afecto pero han desaparecido las fotopsias.
El DVP es una causa muy frecuente de alteraciones de la agudeza visual, especialmente en personas con factores de riesgo como la edad avanzada, miopía o diabetes mellitus. La presencia de miodesopsias o fotopsias deben hacer sospechar un DVP, pero se debe descartar la coexistencia de patología más grave como el DR. La ecografía clínica ocular es una herramienta útil para orientar el diagnóstico en AP y facilitar el diagnóstico diferencial. El DVP sin complicaciones ni DR asociado, no requiere tratamiento específico ni seguimiento por parte de oftalmología, aunque puede persistir cierta clínica residual como visión borrosa o miodesopsias leves.
