Comunicaciones: Casos clínicos

«Doctora, tengo las piernas hinchadas» (póster)

Ámbito del caso

Atención Primaria.

Motivos de consulta

Edemas miembros inferiores.

Historia clínica

Enfoque individual

  • Antecedentes personales relevantes: varices en miembros inferiores, enfermedad de Alzheimer, poliartrosis.
(La anamnesis se realiza con la acompañante, dado el deterioro cognitivo de la paciente).
  • Paciente de 76 años que consulta el 26/09 por edema en miembros inferiores de casi un mes de evolución.
  • EF: no dolor, ni eritema ni aumento de temperatura.
Se pauta tratamiento con seguril y se cita a la semana siguiente para control.

Al acudir el día 03/10 la paciente continúa con edemas (mayores en pierna izquierda) y continúa sin dolor, ni eritema, ni aumento de la temperatura.

Se exploran los ganglios inguinales para descartar patología pélvica que no presentaron alteraciones significativas (pulsos inguinales presentes), y por ello se decide realización de ecografía para descartar TVP.

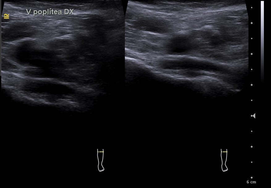
Hallazgos ecográficos

El estudio pone de manifiesto una ocupación trombótica aguda de la vena poplítea de pierna izquierda.
En el estudio se comparó la vena poplítea derecha, la cual a la presión ejercida con la sonda del ecógrafo sí comprimía, lo cual no sucedía con la vena poplítea izquierda.

Ambas venas femorales bilaterales eran permeables.

Pruebas complementarias

No fueron necesarias otras pruebas dado que la ecografía fue diagnóstica.

Juicio clínico, diagnóstico diferencial, concordancia con el hospital (en su caso)

Trombosis vena poplítea izquierda, confirmada posteriormente con la ecografía realizada en urgencias hospitalarias.

Diagnóstico diferencial de edema en miembros inferiores.

Tratamiento, planes de actuación

Se deriva a puerta de urgencias para tratamiento

1 mg/kg peso cada 12 horas de heparina hasta ser valorada en consultas externas de trombosis de medicina interna para tratamiento con anticoagulante oral.

Evolución

Buena aceptación del tratamiento, seguimiento en consultas de trombosis de medicina interna, además de seguimiento por su médico de Atención Primaria.

Conclusiones y aplicabilidad para la medicina de familia

Lo principal que se puede concluir es la revolución de la ecografía en los centros de salud, permitiendo en el caso de nuestra paciente, realizar el diagnóstico gracias a ella, sin necesidad de utilizar recursos externos.

De esta manera se produce una descongestión de las puertas de urgencias, derivando a los pacientes de una manera más dirigida y ya habiendo sido diagnosticados.

Todo esto tiene como resultado una mejor atención a los pacientes, consiguiendo así también una mayor satisfacción de los profesionales por poder brindar sus conocimientos para mejorar la salud de las personas.
 
 

Comunicaciones y ponencias semFYC: 2026; Comunicaciones: Casos clínicos. ISSN: 2339-9333

Autores

Tomás Gil, Isabel
CS Profesor Jesús Marín. Molina de Segura, Murcia
Delsors Mérida-Nicolich, Eloisa
CS Profesor Jesús Marín. Molina de Segura, Murcia
Bueno Martínez, Lucía
CS Profesor Jesús Marín. Molina de Segura, Murcia