X Jornadas de Actualización en Medicina de Urgencias y VI Jornadas de Ecografía de la semFYC
6-7-8 de febrero de 2025
Mujer de 65 años que acude por dolor abdominal en flanco e hipocondrio derecho, malestar general, astenia y náuseas con vómitos. Hace dos días en el PAC la diagnosticaron de gastroenteritis y le dieron de alta con medidas generales. Hoy acude al servicio de Urgencias porque se encuentra cada vez peor. No se ha puesto el termómetro en casa pero sí ha tenido sensación distérmica. Niega disnea, tos o expectoración.
Antecedentes personales relevantes, anamnesis, exploración física y lugar que ocupa en ella la ecografía
No alergias medicamentosas. Hipercolesterolemia. Exfumadora de 25 paquetes/año.
En Urgencias, la paciente está eupneica, pálida, con mal estado general, SaO2 96%, Temp 39 ºC y TA 100/60.
En la exploración abdominal no encontramos nada relevante. En la auscultación pulmonar, oímos crepitantes en hemitórax derecho, especialmente en campos medios y bajos.
Ante sospecha de neumonía, realizamos una ecografía pulmonar.
Descripción de los hallazgos ecográficos y las imágenes más relevantes para la resolución del caso
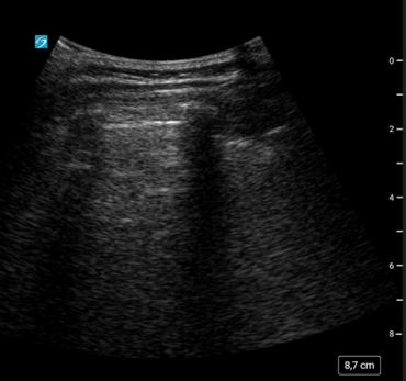
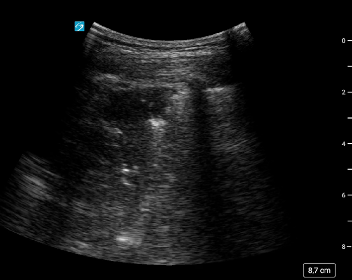
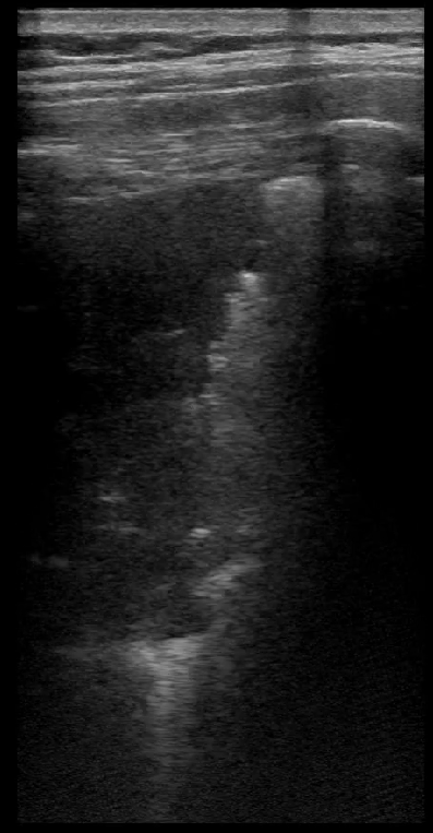
Realizamos una ecografía clínica en la que vemos líneas A en todos los campos pulmonares izquierdos. Sin embargo, en los derechos, observamos abundantes líneas B, especialmente en campos medios y una imagen de consolidación del parénquima pulmonar.
Otras pruebas complementarias realizadas (si existen)
Además de realizar analítica, antigenuria, hemocultivos y gasometría venosa con lactato, solicitamos una RX Tórax PA y Lateral que confirma nuestro diagnóstico.
Juicio clínico, diagnóstico diferencial, concordancia con el hospital (en su caso)
Inicialmente nuestro diagnóstico diferencial estaba entre varias patologías de origen abdominal como gastroenteritis, pielonefritis o colecistitis, pero ante la exploración física de la paciente, cambiamos nuestro enfoque diagnóstico hacia una neumonía.
Decisiones adoptadas: tratamiento, planes de actuación
Ante diagnóstico de neumonía se comenzó tratamiento con sueroterapia y antibioterapia intravenosa.
Evolución y seguimiento
Actualmente la paciente se encuentra ingresada en el servicio de Respiratorio y mejora día a día.
Es posible que de cara al alta, su médica de familia pueda hacer un seguimiento clínico y ecográfico que confirmen la buena evolución de la paciente.
En nuestro caso, la ecografía fue fundamental para acelerar el diagnóstico y administrar la medicación de manera rápida, pues en la misma consulta en la que se exploró a la paciente, se completó el estudio ecográfico. Asimismo, la ecografía permitió descartar complicaciones asociadas como el derrame pleural y permitió comprobar que la vesícula o los riñones, presentaban características anodinas. Es posible que de haber contado con un ecógrafo en el PAC en el que fue atendida, se podría haber diagnosticado y tratado con anterioridad a la paciente.



