V Jornadas de Ecografía de la semFYC

9 y 10 de febrero de 2024

Comunicaciones: Casos clínicos

«Doctora, no he podido dormir en la cama» (póster)

Ámbito del caso

Servicio urgencias

Motivos de consulta

Dolor abdominal

Historia clínica

Enfoque individual

Paciente de 39 años fumadora y tomadora de anticonceptivas orales que acude a urgencias por dolor abdominal de dos días de evolución. No ha presentado fiebre. Al inicio presentó vómitos autolimitados y tampoco se acompaña de diarrea. El dolor lo describe continuo, de inicio brusco y en epigastrio. Acudió a urgencias hace 2 días y tras analítica normal y analgésicos fue alta a domicilio. El dolor se ha intensificado imposibilitando el decúbito supino ya que ha pasado la noche en un sillón porque no podía realizar la extensión abdominal.

Llama la atención la postura antiálgica de la paciente, no presenta malestar general, está consciente, orientada y afebril. La encontramos taquicárdica y mal perfundida con saturación de oxígeno en 88%. El abdomen es poco depresible a la palpación.

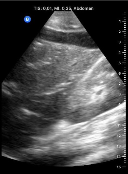
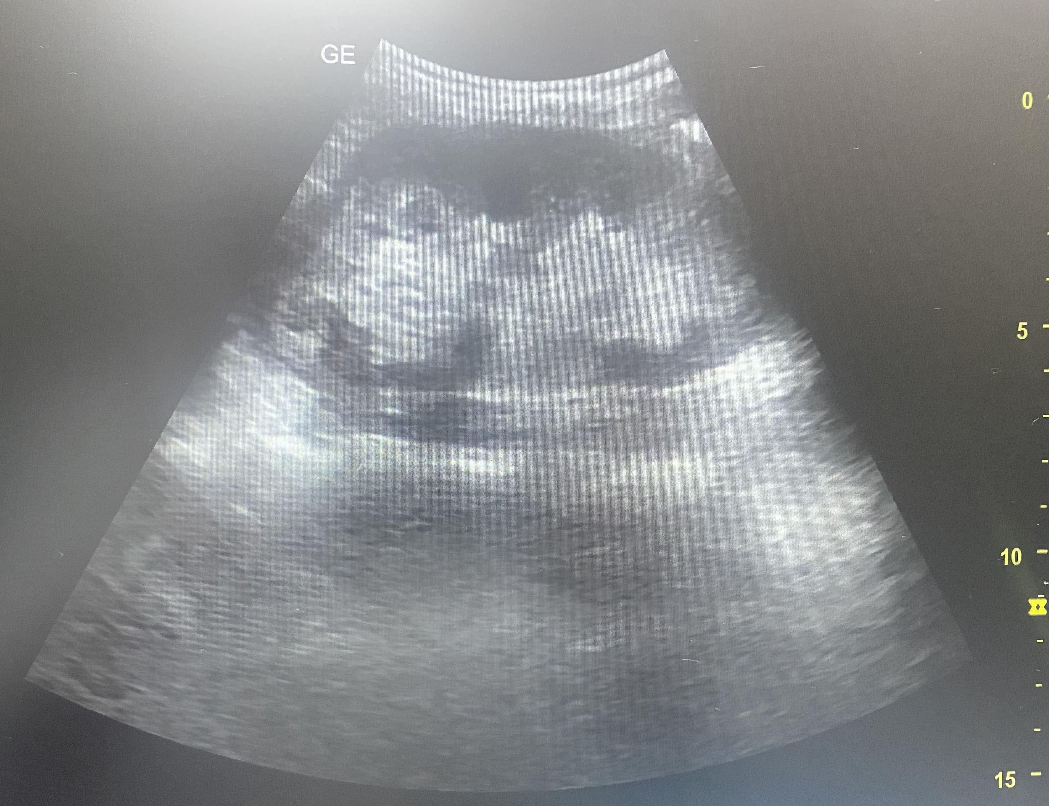
Hallazgos ecográficos

Vemos contenido anecogénico poco limpio bajo cúpulas diafragmáticas sobre todo en ambos flancos. Hígado con vasos portales muy birrefringentes. Riñón izquierdo algo desestructurado pero con difícil ventana.

Pruebas complementarias

Se realiza radiografía de tórax visualizando imagen de neumoperitoneo.

Juicio clínico, diagnóstico diferencial, identificación de problemas

El diagnóstico diferencial del paciente habría que haberlo planteado en relación a peritonitis de causa infecciosa, perforación intestinal o gástrica antes que lesión de órgano sólido. En cualquier caso la anamnesis fue fundamental ya que el dolor fue súbito con antecedentes de toma de antiinflamatorios en paciente fumadora.

Tratamiento y planes de actuación

La paciente ingresa en observación para tratamiento analgésico y preparación para cirugía urgente. En la analítica no presentaba leucocitosis pero sí reactantes de fase aguda elevados. Previa a la cirugía se realiza TAC abdominal con objeto de localizar la posible perforación que aparecía en antro gástrico y en la cirugía se objetiva el líquido ascítico purulento compatible con las imágenes captadas en ecografía.

Evolución

La paciente ha evolucionado bien tras la cirugía.

Conclusiones (y aplicabilidad para la Medicina de Familia)

La ecografía clínica viene a complementar la sospecha diagnóstica del paciente y en este caso además, nos ayuda a alertar sobre las complicaciones y la gravedad de la paciente. Con una ecografía clínica y una radiografía simple la paciente estaba ya diagnosticada y orientada. En este caso la paciente ya se encontraba en el hospital pero si estamos en domicilio o centro de salud también ayuda en la prealerta al centro de referencia.

 


Comunicaciones y ponencias semFYC: 2026; Comunicaciones: Casos clínicos. ISSN: 2339-9333

Autores

Ortega Hidalgo, Esperanza Macarena
AGS Norte de Huelva. Minas De Riotinto
Fernandez Burgos, Selene
AGS Norte de Huelva. Minas De Riotinto
Carbajo Martín, Laura
AGS Norte de Huelva. Minas De Riotinto