5, 6 y 7 de febrero de 2026
Hombre de 17 años de origen magrebí que acude al servicio de urgencias refiriendo tumefacción en axila izquierda de dos semanas de evolución, que no mejora a pesar de amoxicilina/ácido clavulánico, mupirocina, ibuprofeno y estreptodornasa/estreptoquinasa.
Enfoque individual
Niega antecedentes personales de interés y tratamiento crónico.
Exploración física: Buen estado general. Tª 37,1 ºC. Tumoración de 4-5 cm en axila izquierda con foco fluctuante, eritema de tejido adyacente caliente y doloroso al tacto que produce impotencia funcional.
Analítica sanguínea: leucocitos 11,82 x 103/uL, PCR 6,81 mg/dL y fibrinógeno 678 mg/dl.
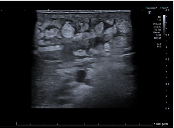
Ecografía de partes blandas de axila izquierda: Piel engrosada con aspecto hipoecogénico y heterogéneo. Tejido celular subcutáneo con cambios inflamatorios y edema, que simula imagen en forma de nubes. Colección de 13x36 mm en tejido celular subcutáneo con márgenes irregulares, contenido ecogénico fluctuante con trazos hiperecogénicos periféricos. Vasos regionales permeables sin signos de trombosis. Hallazgos compatibles con absceso subcutáneo y celulitis.
Juicio clínico, diagnóstico diferencial, identificación de problemas
Juicio diagnóstico: celulitis axilar con absceso subcutáneo
Diagnóstico diferencial: absceso, celulitis, hidrosadenitis supurativa, linfadenitis bacteriana, trombosis
Tratamiento y planes de actuación
Durante su estancia en urgencias se administra analgesia intravenosa y se realiza interconsulta a cirugía general para valoración de drenaje de absceso.
Se decide dar el alta al paciente con clindamicina, ciprofloxacino, dexketoprofeno y medidas locales.
Evolución
Se explican signos de alarma por los que volver a consultar e importancia de seguimiento por parte de su médico de atención primaria.
Si no presenta mejoría valorar realización de serologías y derivar a medicina infecciosa para ampliar estudio etiológico.
La ecografía es una herramienta efectiva y accesible desde atención primaria para el diagnóstico de patología de partes blandas ya que permite hacer un diagnóstico diferencial entre abscesos, adenopatías, hidradenitis supurativa y quistes, entre otros.
En el caso de colecciones permite identificar sus características: el tipo de contenido (sólido/líquido), el contorno, la vascularización y la presencia de septos o tabiques. Por otro lado, mejora la toma de decisiones terapéuticas y aumenta la seguridad del drenaje, en caso de ser preciso, al servir de guía durante el procedimiento permitiendo evitar estructuras vasculares y nerviosas.



