X Jornadas de Actualización en Medicina de Urgencias y VI Jornadas de Ecografía de la semFYC
6-7-8 de febrero de 2025
Urgencias Hospitalarias.
Dolor abdominal de 5 h de evolución.
Enfoque individual: antecedentes personales, anamnesis, exploración, pruebas complementarias, etc.
Mujer de 40 años que acude al servicio de urgencias por dolor abdominal de 4-5 h de evolución. Dolor iniciado esa mañana, con náuseas y algún vómito aislado junto a una deposición diarreica.
Afebril. Sin convivientes con síntomas infecciosos. Sin estigmas de sangrado. Dolor no controlado a pesar de toma de Paracetamol 1 g en domicilio.
Exploración física:
Buen estado general. Consciente y orientada. Normoihdratada y normoperfundida. Eupneica en reposo.
A.C: rítmica sin soplos.
A.P: Buena ventilación bilateral, mvc.
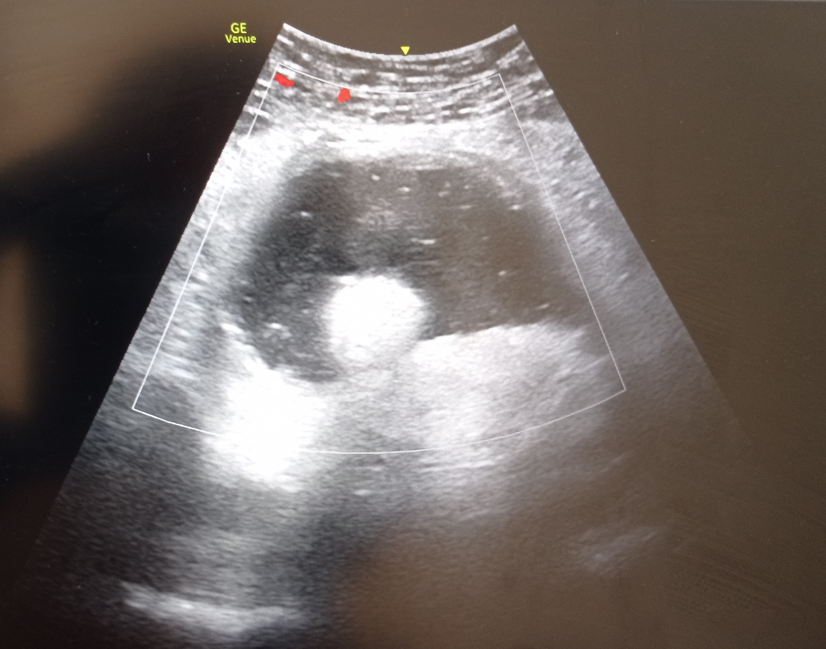
En urgencias, administramos analgesia de primer escalón. Tras 3 h de evolución, se decide realizar ecografía abdominal a pie de cama por persistencia del dolor viendo una imagen sugestiva de masa adyacente a ovario derecho que no conseguimos visualizar.
Pruebas complementarias:
AS: sin alteraciones.
Tras realización de TAC abdominopélvico describen teratoma torsionado de ovario derecho.
Juicio clínico, diagnóstico diferencial, identificación de problemas
Teratoma torsionado de ovario derecho.
Tratamiento y planes de actuación.
Se realizó ingreso a cargo del Servicio de Ginecología para intervención quirúrgica urgente.
Evolución
Favorable.
La ecografía clínica en este caso, ayudó a buscar el origen del dolor en un abdomen agudo tras identificar una exploración ecográfica abdominal anormal y necesidad de ampliar el estudio.

