V Jornadas de Ecografía de la semFYC

9 y 10 de febrero de 2024

Comunicaciones: Casos clínicos

«Doctora, me duele la garganta: enfisema subcutáneo» (oral)

Ámbito del caso

Atención Primaria, urgencias, planta.

Motivos de consulta

Odinofagia y cervicalgia tras 1 vómito mientras jugaba a football. 

Historia clínica

Enfoque individual

Varón de 19 años, delgado, sin antecedentes de interes. 

El dia anterior a consultar, presentó 1 vomito mientras jugaba a football tras lo cual refiere odinofagia y cervicalgia sin otros sintomas. No fiebre, no clínica digestiva, no clínica respiratoria.  

Exploración: orofaringe normal, no adenopatías, crepita en zona cervical izda. 

Cardiopulmonar: rítmico, no soplos, buena ventilación. 

Abdomen: anodino. 

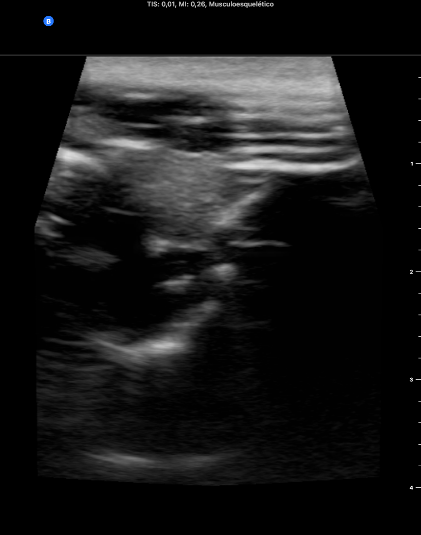
Hallazgos ecográficos

Ecoscopia: líneas A artefactuales a nivel de zona cervical izda. que borra la anatomina del tiroides y vasos cervicales. Anatomía cervical derecha normal. Ventana pulmonar sin neumotórax en modo M. Ventana cardíaca en eje paraesternal corto borrado por líneas A que no permiten valoracion correcta. Abdomen sin líquido libre ni líneas A.

Pruebas complementarias

Radiografía: enfisema subcutáneo a nivel cervical bilateral, no neumotórax ni neumoperitoneo ni neumomediastino objetivable. 

Aunque presentaba estabilidad clinica y hemodinamica y excelente estado general se derivó a urgencias:

TAC: neumomediastino anterior, medio y posterior. Enfisema subcutáneo cervical izdo. Posible perforación esofágica tras ingesta de contraste. No neumotórax ni neumoperitoneo. 

Gastroscopia: normal

Juicio clínico, diagnóstico diferencial, identificación de problemas

Diagnóstico diferencia en consulta (ídem en urgencias): 

  • Neumotórax. 
  • Neumomediastino. 
  • Neumoperitoneo. 
  • Bulla rota. 
  • Perforación viscera hueca.

Tratamiento y planes de actuación

En urgencias se decide ingreso para observación donde pasa en total 72 h siendo finalmente dado de alta sin mas exploraciones. 

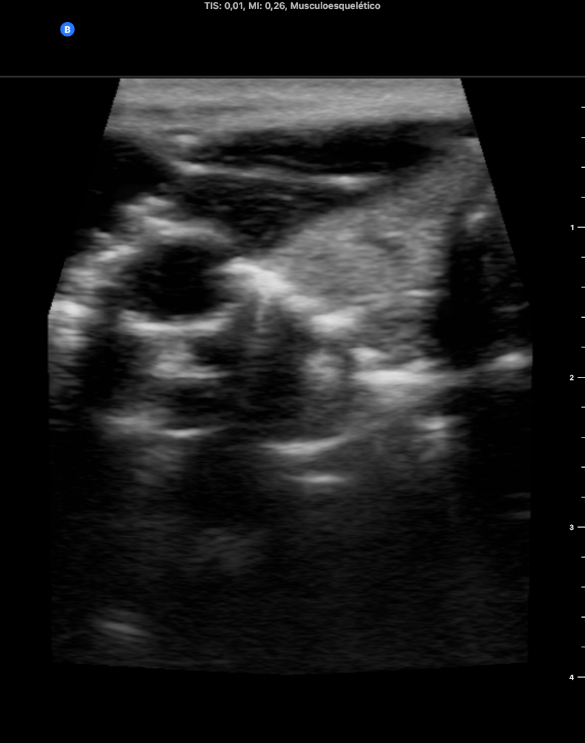
Evolución

Ecoscopia tras 1 semana del diagnóstico ecoscópico normal a todos los niveles anatomicos (cervical, pulmonar, cardíaco, abdominal). 

Conclusiones (y aplicabilidad para la Medicina de Familia)

La ecoscópia permitió el diagnóstico inmediato, si bien no fue capaz de determinar la extensión siendo preciso radiografía convencional, TAC, para determinar causa y alcance y, finalmente, gastrocopia que fue normal.
Nos permitió a su vez realizar seguimiento demostrando resolución total del cuadro despareciendo las lineas A halladas al momento del diagnóstico.
 
 
 
 

Comunicaciones y ponencias semFYC: 2026; Comunicaciones: Casos clínicos. ISSN: 2339-9333

Autores

Cuberia Palenzuela, Maite
CS Trapagaran
Gangoiti Axpe, Iñigo
CS Trapagaran
Argote Achalandabaso, Jon
CS Trapagaran