X Jornadas de Actualización en Medicina de Urgencias y VI Jornadas de Ecografía de la semFYC
6-7-8 de febrero de 2025
Enfoque individual: antecedentes personales, anamnesis, exploración, pruebas complementarias, etc.
Antecedentes personales:
Exfumador. HTA. DL. DM2. Miocardiopatía isquémica crónica
Historial actual:
Hombre de 76 años que acude por cuadro de dolor en pie derecho, intenso y de aparición brusca que impide la deambulación, asociando aumento de volumen del mismo de una semana de evolución. Niega fiebre. Niega traumatismo o herida previos. Acude a Urgencias al inicio del cuadro, siendo diagnosticado de celulitis e iniciando antibioterapia con amoxicilina/clavulánico. Tras cumplir el tratamiento sin evidenciar mejoría acude de nuevo a Urgencias.
Exploración física:
Tº: 36,5 °C; TA: 124/74 mmHg; FC: 79 lpm; SatO2: 96%.
MID: edema en tobillo con empastamiento local: dolor a la palpación en tobillo, con aumento de la temperatura y eritema local. Pulsos pedios, poplíteos y femorales bilaterales y simétricos.
Pruebas complementarias:
Análisis de sangre: Destaca proteína C reactiva en torno a 6 mg/dl, iones en rango, resto sin alteraciones.
Ecografía venosa Doppler de MID: No signos de TVP aguda.
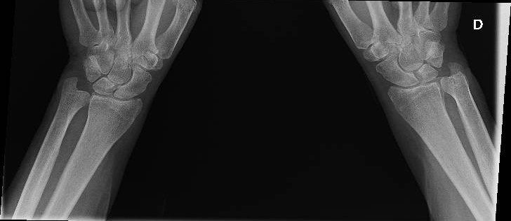
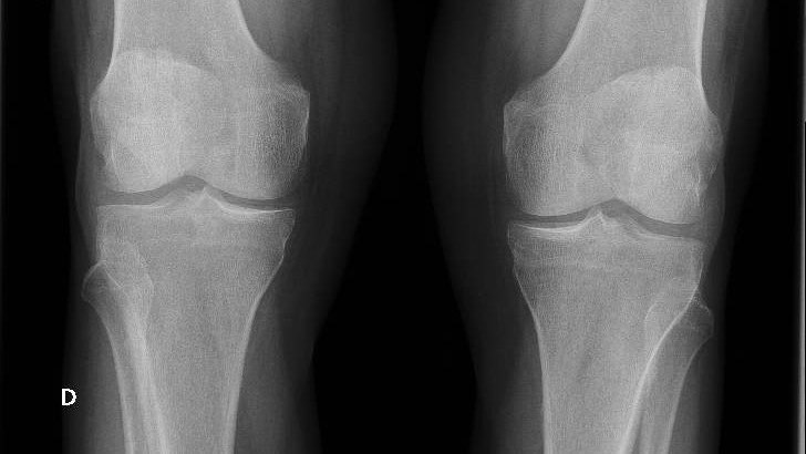
Radiografía de rodillas y manos: signos de condrocalcinosis.
Radiografía de ambos pies: sin líneas de fractura ni otras lesiones óseas.
Juicio clínico, diagnóstico diferencial, identificación de problemas
Dada la falta de respuesta a la antibioterapia, se realizó una ecografía descartándose TVP. Ante la posibilidad de que el cuadro se tratara de un brote de artritis, se solicitaron cifras de ácido úrico que fueron normales, se realizó estudio de radiografía simple de rodillas y muñecas donde se evidenciaron datos de condrocalcinosis, haciendo probable el diagnóstico de enfermedad por depósito de pirofosfatos.
Tratamiento y planes de actuación
Prednisona 10 mg en desayuno durante 5 días y luego suspender. Colchicina 0,5 mg cada 12 horas hasta la resolución de los síntomas.
Evolución
Gran mejoría clínica con corrección de los signos inflamatorios, pudiendo de nuevo deambular.
Ante la falta de respuesta a un tratamiento antibiótico en los casos de celulitis, siempre ha de plantearse un correcto diagnóstico diferencial descartando patología grave, como una TVP, pero sin olvidar aquellas que pueden ser menos graves, pero con gran carga sintomática para nuestros pacientes, como una artritis microcristalina.


