X Jornadas de Actualización en Medicina de Urgencias y VI Jornadas de Ecografía de la semFYC
6-7-8 de febrero de 2025
Atención Primaria.
Parestesias, dolor y pérdida de fuerza a los dos meses tras cirugía de liberación del nervio mediano por síndrome del túnel carpiano.
Antecedentes personales relevantes, anamnesis, exploración física y lugar que ocupa en ella la ecografía
DM, HTA, dislipemia. Exploración física: hipoestesia de MSI desde el codo hasta la mano, pérdida de fuerza en mano izquierda. La ecografía permite valorar el estado del nervio mediano y los tendones a nivel de la muñeca.
Descripción de los hallazgos ecográficos y las imágenes más relevantes para la resolución del caso
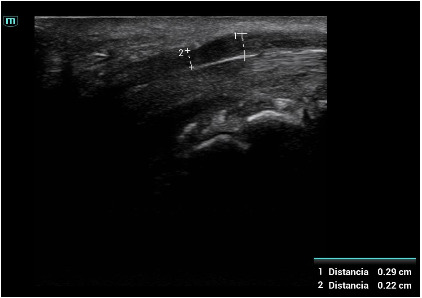
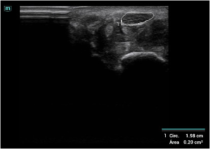
Signos de compresión del nervio mediano: área del nervio mediano 0,11 cc (> 9 patológico) con imagen en reloj de arena en la entrada del túnel del carpo.
Otras pruebas complementarias realizadas (si existen)
EMG, RNM.
Juicio clínico, diagnóstico diferencial, concordancia con el hospital (en su caso)
Tras una primera intervención se identifica fracaso de la cirugía.
Decisiones adoptadas: tratamiento, planes de actuación
Se deriva de nuevo a traumatología con sospecha de fracaso de la cirugía. Solicitan EMG y RMN comprobándose dicho fracaso y se realiza reintervención.
Evolución y seguimiento
Se sigue clínica y ecográficamente a la paciente en consulta. Se comprueba mediante ecografía la liberación del nervio mediano con la segunda intervención, acompañada de la ausencia de sintomatología en la paciente.
Mediante la ecografía en Atención Primaria es posible observar un atrapamiento del nervio mediano, tanto en un primer diagnóstico como en caso de una falta de efectividad de una cirugía acelerando los tiempos de espera.



