V Jornadas de Ecografía de la semFYC

9 y 10 de febrero de 2024

Comunicaciones: Casos clínicos

«Doctor, ¿qué va a pasar con mi niña?» (póster)

Ámbito del caso

Atención Primaria

Motivos de consulta

Mujer de 36 años gestante de 38 semanas, con embarazo natural, que refiere que presenta un bulto indoloro en mama derecha desde hace unos días que se notó mientras se duchaba.

Historia clínica

Enfoque individual

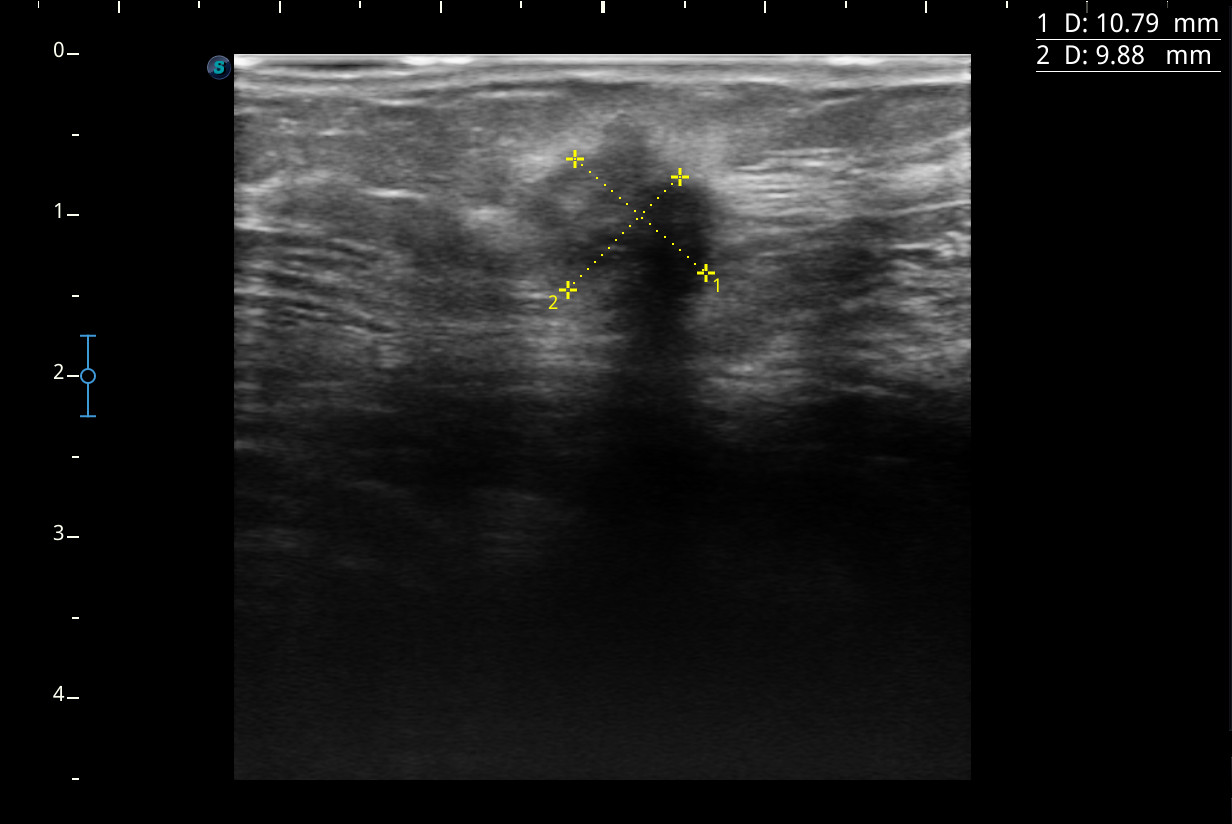
No antecedentes de interés. No traumatismo previo ni sobrecarga muscular importante. En la EF se palpa un nódulo de unos 2 cm aprox. de diámetro, molesto pero indoloro al tacto, algo duro y dudosamente adherido a planos profundos, en el CSE de la mama derecha. No bultos en axilas ni en la mama contralateral. Se realiza ecografía de mama.

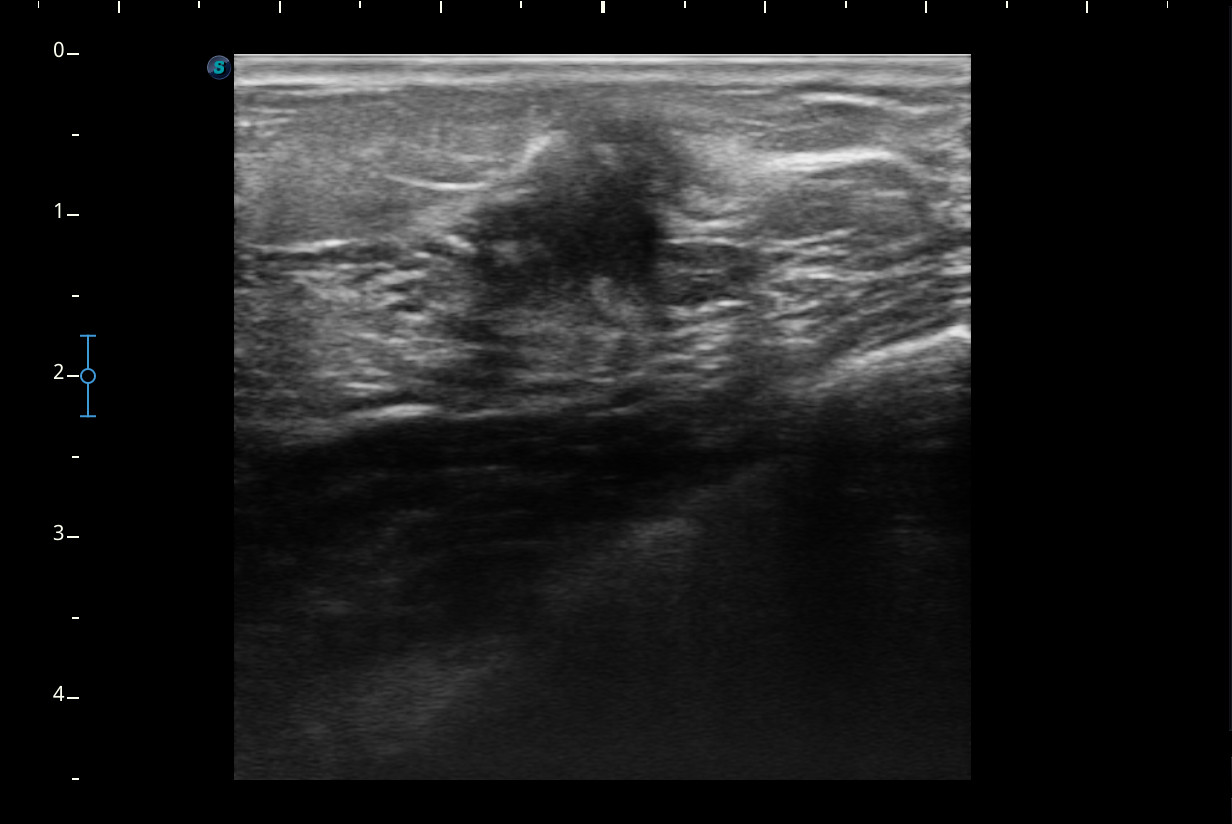
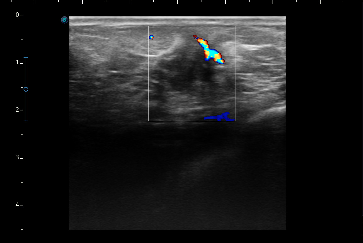
Hallazgos ecográficos

Se visualiza un nódulo mal delimitado, de bordes irregulares y algo espiculados, con captación doppler color sobre todo en periferia y posibles focos centrales de necrosis, compatible con posible neoplasia.

Pruebas complementarias

Biopsia del nódulo, se confirmó la sospecha de neoplasia.

Juicio clínico, diagnóstico diferencial, identificación de problemas

Nódulo mamario con sospecha de malignidad.

Tratamiento y planes de actuación

La mujer se encuentra embarazada de 38 semanas y evidentemente preocupada por el estado del bebé ante la posibilidad diagnóstica, se remite urgente a la unidad de mama del hospital de referencia, donde indican ingreso hospitalario esa misma mañana ante la sospecha de neoplasia de mama que se confirma posteriormente. Se programa parto e intervención de la mama para el día siguiente.

Evolución

Hoy día aún continúa con tratamiento con quimioterapia. Pero el bebé está sano y creciendo.

Conclusiones (y aplicabilidad para la Medicina de Familia)

Ante la sospecha clínica de un nódulo mamario posiblemente maligno, siempre debe realizarse una prueba de imagen (mamografía, ecografía...). Dada la posibilidad de realizarla en la consulta y en este caso al estar la paciente embarazada, es la prueba idónea. La sospecha de malignidad reforzada con la ecografía, permitió una actuación rápida en este caso.
 
 
 
 

Comunicaciones y ponencias semFYC: 2026; Comunicaciones: Casos clínicos. ISSN: 2339-9333

Autores

Sanchez Ruiz, Juan Manuel
CS Cuenca 2. Cuenca