V Jornadas de Ecografía de la semFYC

9 y 10 de febrero de 2024

Comunicaciones: Casos clínicos

«Doctor, orino oscuro» (póster)

Ámbito del caso

Atencion Primaria.

Motivos de consulta

Hombre de 89 años que consulta por episodio de hematuria franca con discreta disuria hace unos dias. Episodio previo por el que no consultó hace unos meses.

Historia clínica

Enfoque individual

Antecedentes personales: HTA, no diabetes, no dislipemia. Adenoma de prostata. NO cirugias.
Exploracion Física: consciente y orientado, no impresiona de gravedad. Auscultacion cardiaca y pulmonar sin alteraciones. Abdomen blando y depresible, no doloroso, no se palpan masas ni megalias. No edemas.
Se realiza ecografia clínica en consulta.

Hallazgos ecográficos

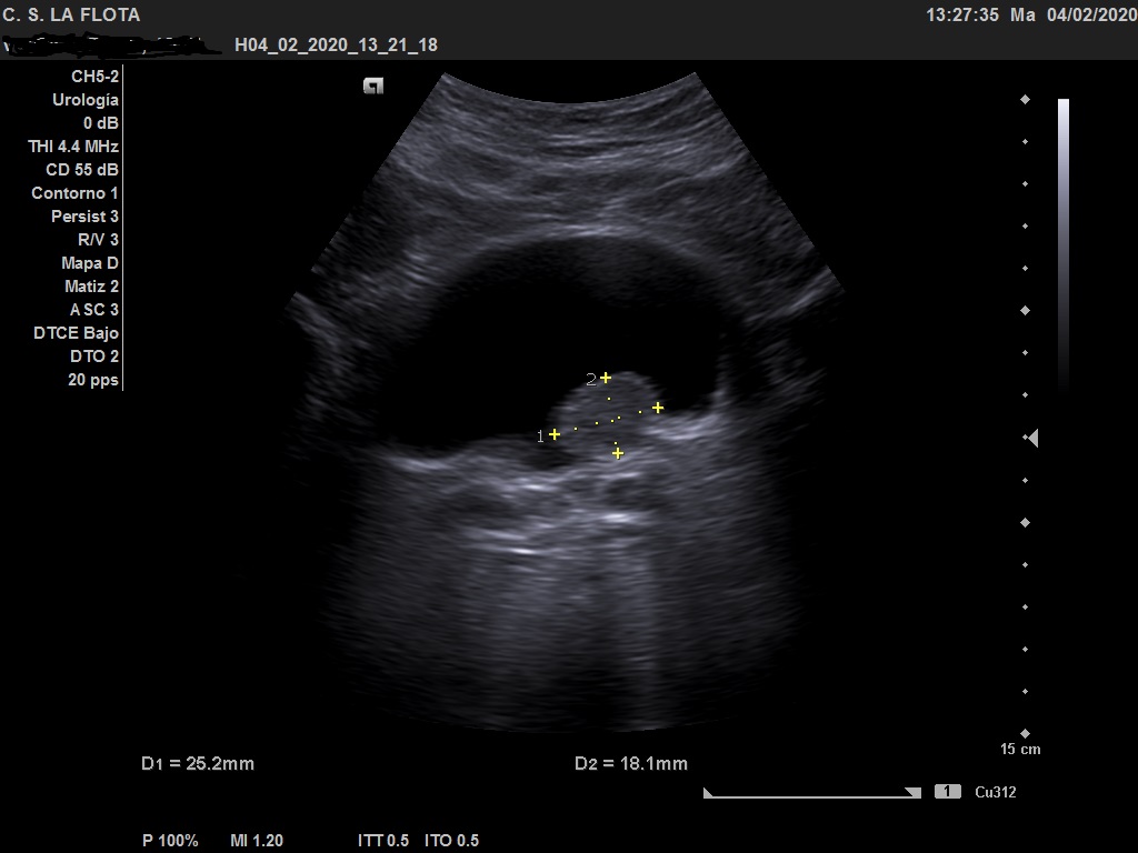
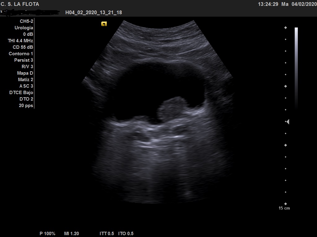
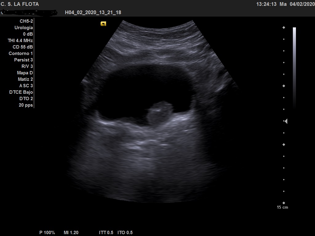
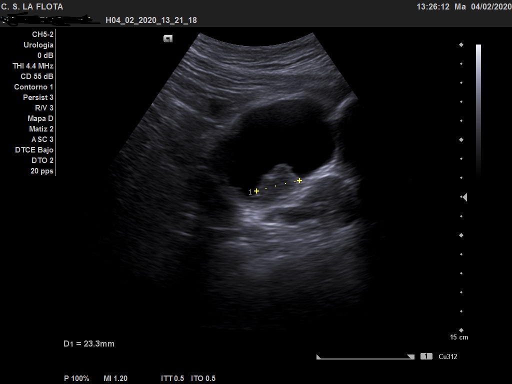
Ecografía clínica: riñones de tamaño y morfología normal, con buena diferenciación corticomedular y sin dilatacion de vias. En vejiga lesión polipoidea  de 25*18 mml.
Ante los hallazgos ecográficos se derivó al paciente a urología con copia de las imágenes. En urología solicitan cistoscopia sin precisar más pruebas de imagen.

Pruebas complementarias

  • Citología: celularidad urotelial atípica.
  • Cistoscopia con hallazgo de estenosis de la uretra bulbar y una lesión de unos 2-3 cm, de superficie papilar en vertiente vesical de cuello. 
  • Anatomía patología confirmó un carcinoma urotelial papilar de alto grado musculo invasivo pT2.
  • TAC torax y abdomen: sin evidencia de metastasis.

Juicio clínico, diagnóstico diferencial, identificación de problemas

Juicio Clínico: Carcinoma Urotelial de alto grado.

Tratamiento y planes de actuación

Tratamiento: resección transuretral de lesión vesical y resección de lóbulo medio próstatico.

Evolución

A los 6 meses presentó recidiva vesical, pero se desestimó reintervención. Consultó en urgencias posteriormente por hematuria fluctuante con anemia severa. A los dos años presentó un deterioro cognitivo y falleció.

Conclusiones (y aplicabilidad para la Medicina de Familia)

Desde la primera consulta del paciente en Atención Primaria hasta la intervención quirúrgica realizada por el servicio de urología transcurrieron aproximadamente 50 días. Este caso subraya la importancia de la formación en ecografía clínica en Atención Primaria, ya que llevarla a cabo en el Centro de Salud, permitió un rápido diagnóstico e inicio de tratamiento. La ecografía clínica desempeñó un papel crucial al evitar retrasos que podrían haberse producido si se hubiera optado por realizar una ecografía urológica reglada. Nuestra demora actual en ecografía ronda los 6 meses.
 
 
 
 

Comunicaciones y ponencias semFYC: 2026; Comunicaciones: Casos clínicos. ISSN: 2339-9333

Autores

Fernandez Perez, Pablo Ireno
CS Vistalegre/ La Flota. Murcia
Moya Correas, Juan
CS Vistalegre/ La Flota. Murcia
Medina Arce, Irene
CS Vistalegre/ La Flota. Murcia