V Jornadas de Ecografía de la semFYC

9 y 10 de febrero de 2024

Comunicaciones: Casos clínicos

«Doctor, me han vuelto a mandar aquí» (oral)

Ámbito del caso

Atención Primaria

Motivos de consulta

Mujer de 52 años que acude por dolor, edema y enrojecimiento de brazo derecho desde hace 5 días.

Historia clínica

Enfoque individual

No antecedentes personales de interés. Niega traumatismo previo ni sobreesfuerzos. En la EF se palpa zona empastada en cara interna del brazo derecho, eritematosa, edematosa y dolorosa. Se realiza ecografía del brazo en el punto de atención.

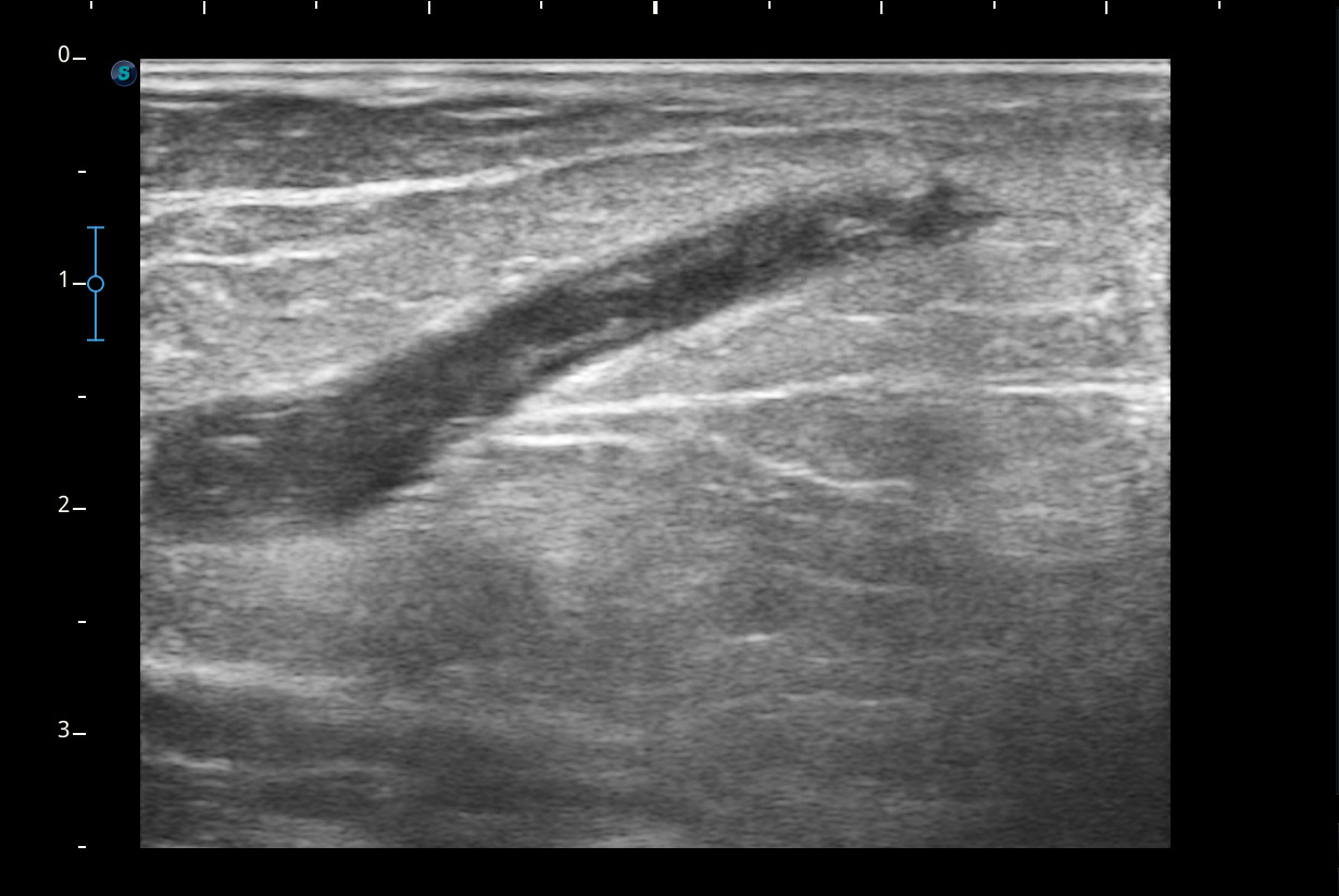
Hallazgos ecográficos

Se visualiza congestión del tejido subcutáneo del brazo y ocupación de la luz de la vena basílica del brazo por un trombo.

Pruebas complementarias

Radiografía normal realizada en el SUH.

Juicio clínico, diagnóstico diferencial, identificación de problemas

Diagnóstico: trombosis venosa de la vena basílica del brazo derecho. Concordancia con el hospital en el segundo tiempo que acude la paciente.

Tratamiento y planes de actuación

Se remitió a urgencias pero le realizan solamente radiografía del brazo y acude de nuevo a consulta. Nos ponemos en contacto con el SUH y realizan ecografía Doppler.

Evolución

Tras el tratamiento pautado con heparina, se remite a consulta de trombosis. Actualmente recuperada totalmente.

Conclusiones (y aplicabilidad para la Medicina de Familia)

Ante la sospecha clínica de trombosis venosa, la prueba de la que dispone el médico de familia es la ecografía, llegando al diagnóstico en un primer tiempo, permitiendo manejar y orientar al paciente correctamente.
 
 
 
 

Comunicaciones y ponencias semFYC: 2026; Comunicaciones: Casos clínicos. ISSN: 2339-9333

Autores

Sanchez Ruiz, Juan Manuel
CS Cuenca 2. Cuenca
Rosende Tuya, Alicia
CS Honrubia. Cuenca